Suppr超能文献

颈动脉内膜切除术后对扭曲颈内动脉进行血管内重建。

Endovascular reconstruction for a kinked internal carotid artery after carotid endarterectomy.

作者信息

Horio Yoshinobu, Takemoto Koichiro, Sakamoto Seisaburo, Inoue Tooru

机构信息

Department of Neurosurgery, Sasebo Chuo Hospital, 15 Yamatocho, Sasebo City, Nagasaki, 857-1195, Japan.

Department of Neurosurgery, Faculty of Medicine, Fukuoka University, Nanakuma 7-45-1, Jonan Ward, Fukuoka, Japan.

出版信息

Surg Neurol Int. 2018 Jul 13;9:135. doi: 10.4103/sni.sni_431_17. eCollection 2018.

Abstract

BACKGROUND

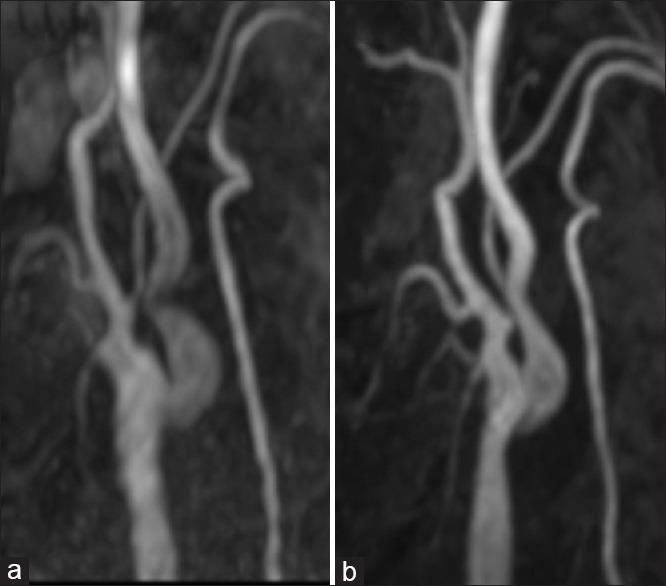
Although different surgical techniques have been reported for repairing kinked stenosis of the internal carotid artery (ICA) after carotid endarterectomy (CEA), there are no reports using endovascular reconstruction. We present the details of a case successfully treated by carotid artery stenting (CAS).

CASE DESCRIPTION

A 73-year-old female was referred to our department with fugacious amaurosis and transient sensory disturbance in the left upper limb due to moderate stenosis of the right ICA that was treated by CEA 28 days after admission. However, postoperative angiography and carotid Doppler revealed a kinked ICA with a high-flow velocity that was not present intraoperatively. After 3 months, she had suffered transient ischemic attacks that were refractory to medical treatment, so we performed CAS to prevent future events. The kinked ICA was immediately resolved by stenting and there was no restenosis at a follow-up angiogram 19 months later.

CONCLUSIONS

This case shows that CAS could be a potential therapeutic option for the management of symptomatic kinking stenosis of the ICA after CEA.

摘要

背景

尽管已有不同的手术技术用于修复颈动脉内膜剥脱术(CEA)后颈内动脉(ICA)的扭结性狭窄,但尚无血管内重建的相关报道。我们介绍了一例通过颈动脉支架置入术(CAS)成功治疗的病例细节。

病例描述

一名73岁女性因右ICA中度狭窄入住我院,伴有短暂性黑矇及左上肢短暂性感觉障碍,入院28天后接受CEA治疗。然而,术后血管造影及颈动脉多普勒检查显示ICA扭结且血流速度高,术中未见此情况。3个月后,她出现药物治疗无效的短暂性脑缺血发作,因此我们进行了CAS以预防未来事件。通过支架置入术,扭结的ICA立即得到解决,19个月后的随访血管造影显示无再狭窄。

结论

该病例表明,CAS可能是CEA后有症状的ICA扭结性狭窄治疗的一种潜在选择。

https://cdn.ncbi.nlm.nih.gov/pmc/blobs/d963/6057169/f6c431f6b56d/SNI-9-135-g001.jpg

文献AI研究员

20分钟写一篇综述,助力文献阅读效率提升50倍。

立即体验

用中文搜PubMed

大模型驱动的PubMed中文搜索引擎

马上搜索

文档翻译

学术文献翻译模型,支持多种主流文档格式。

立即体验