Suppr超能文献

胃远端切除术后食管裂孔疝伴全胃脱垂至纵隔:一例报告

Hiatal hernia involving prolapse of the entire stomach into the mediastinum after distal gastrectomy: a case report.

作者信息

Konno-Kumagai Takuro, Takeyama Daisuke, Nakano Toru, Sakurai Tadashi, Taniyama Yusuke, Heishi Takahiro, Sato Chiaki, Kamei Takashi

机构信息

Division of Advanced Surgical Science and Technology, Graduate School of Medicine, University of Tohoku, 1-1 Seiryo-machi, Aoba-ku, Sendai, Miyagi, 980-8574, Japan.

出版信息

Surg Case Rep. 2018 Aug 13;4(1):93. doi: 10.1186/s40792-018-0503-7.

Abstract

BACKGROUND

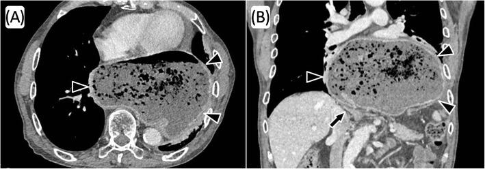
Prolapse of a small part of the proximal stomach through the hiatus into the mediastinum is relatively common. Hiatal hernia involving the postoperative stomach has been reported previously, but the degree of hernia was not so severe, and hiatal hernia involving the prolapse of the entire stomach following gastrectomy into the mediastinum has never been reported. We describe a very rare case of large hiatal hernia involving the entire postoperative stomach.

CASE PRESENTATION

A 79-year-old man with a history of distal gastrectomy for submucosal benign tumor 40 years ago was referred to our hospital because of dysphagia and weight loss. Computed tomography revealed prolapse of the entire postoperative stomach into the mediastinum, and a radical operation was performed. There was a strong adhesion in the hernial sac of the mediastinum, but only little adhesion due to a previous open surgery in the abdominal cavity was present. After the stomach was pulled into the abdominal cavity, suture cruroplasty and Toupet fundoplication without dissection of the short gastric artery were performed. The patient experienced postoperative paralytic ileus, but the rest of the postoperative course was uneventful and the symptom of dysphagia improved.

CONCLUSIONS

We presented a very rare large hiatal hernia involving the entire postoperative stomach. Toupet fundoplication preserving the short gastric artery could be one of the optimal surgeries to prevent postoperative regurgitation of the remnant stomach.

摘要

背景

近端胃的一小部分通过裂孔脱垂至纵隔相对常见。既往有关于术后胃发生食管裂孔疝的报道,但疝的程度并不严重,而胃切除术后整个胃脱垂至纵隔的食管裂孔疝从未见报道。我们描述了一例非常罕见的涉及整个术后胃的巨大食管裂孔疝病例。

病例介绍

一名79岁男性,40年前因黏膜下良性肿瘤行远端胃切除术,因吞咽困难和体重减轻转诊至我院。计算机断层扫描显示整个术后胃脱垂至纵隔,遂行根治性手术。纵隔疝囊内粘连严重,但因既往腹腔开放手术导致的腹腔内粘连较少。将胃拉回腹腔后,在不切断胃短动脉的情况下进行了缝合膈肌成形术和Toupet胃底折叠术。患者术后出现麻痹性肠梗阻,但术后其余过程顺利,吞咽困难症状改善。

结论

我们报道了一例非常罕见的涉及整个术后胃的巨大食管裂孔疝。保留胃短动脉的Toupet胃底折叠术可能是预防残胃术后反流的最佳手术方式之一。

https://cdn.ncbi.nlm.nih.gov/pmc/blobs/3e53/6089854/e7827f29cf8e/40792_2018_503_Fig1_HTML.jpg

文献AI研究员

20分钟写一篇综述,助力文献阅读效率提升50倍。

立即体验

用中文搜PubMed

大模型驱动的PubMed中文搜索引擎

马上搜索

文档翻译

学术文献翻译模型,支持多种主流文档格式。

立即体验