Suppr超能文献

新型 EML4-ALK 变异肺腺癌患者的艾乐替尼治疗反应。

Alectinib treatment response in lung adenocarcinoma patient with novel EML4-ALK variant.

机构信息

Department of Respiratory Medicine, Peking Union Medical College Hospital, Chinese Academy of Medical Sciences & Peking Union Medical College, Beijing, China.

Department of Internal Medicine, Peking Union Medical College Hospital, Chinese Academy of Medical Sciences & Peking Union Medical College, Beijing, China.

出版信息

Thorac Cancer. 2018 Oct;9(10):1327-1332. doi: 10.1111/1759-7714.12834. Epub 2018 Aug 21.

Abstract

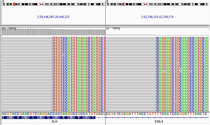
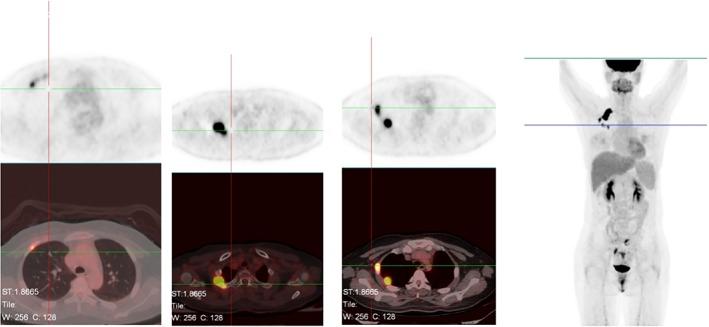
Common gene fusion of the ALK gene is fusion of the ALK tyrosine kinase area and the 5'end of EML4. Seventeen EML4-ALK fusion variants have been reported. Herein, we report a novel EML4-ALK variant detected by next-generation sequencing in a 36-year-old female lung adenocarcinoma patient who experienced disease progression after six months of alectinib treatment. Second generation sequencing revealed an EML4-ALK fusion variant in which intron 19 of EML4 was fused to exon 20 of ALK. This is the first case of EML4-ALK (E19: A20) fusion to be reported. Alectinib may show unsatisfactory therapeutic effects for this kind of ALK fusion.

摘要

ALK 基因的常见基因融合是 ALK 酪氨酸激酶区域和 EML4 的 5'端融合。已经报道了十七种 EML4-ALK 融合变体。在此,我们报告了一例通过下一代测序检测到的新的 EML4-ALK 变体,该变体存在于一名 36 岁的女性肺腺癌患者中,该患者在接受阿来替尼治疗六个月后出现疾病进展。二代测序显示 EML4 的内含子 19 与 ALK 的外显子 20 融合。这是首例报道的 EML4-ALK(E19:A20)融合。阿来替尼可能对这种 ALK 融合显示出不理想的治疗效果。

https://cdn.ncbi.nlm.nih.gov/pmc/blobs/0c06/6166076/7380f1422ae3/TCA-9-1327-g001.jpg

相似文献

1
Alectinib treatment response in lung adenocarcinoma patient with novel EML4-ALK variant.
Thorac Cancer. 2018 Oct;9(10):1327-1332. doi: 10.1111/1759-7714.12834. Epub 2018 Aug 21.
3
Lung adenocarcinoma harboring complex EML4-ALK fusion and BRAF V600E co-mutation responded to alectinib.
Medicine (Baltimore). 2022 Oct 7;101(40):e30913. doi: 10.1097/MD.0000000000030913.
6
Identification of a EML4-ALK exon 19 fusion variant in lung adenocarcinoma and alectinib resistance.
Lung Cancer. 2021 Oct;160:32-35. doi: 10.1016/j.lungcan.2021.07.020. Epub 2021 Aug 6.

引用本文的文献

本文引用的文献

1
Impact of EML4-ALK Variant on Resistance Mechanisms and Clinical Outcomes in ALK-Positive Lung Cancer.
J Clin Oncol. 2018 Apr 20;36(12):1199-1206. doi: 10.1200/JCO.2017.76.2294. Epub 2018 Jan 26.
2
EML4-ALK Variants: Biological and Molecular Properties, and the Implications for Patients.
Cancers (Basel). 2017 Sep 5;9(9):118. doi: 10.3390/cancers9090118.
4
Cancer Statistics, 2017.
CA Cancer J Clin. 2017 Jan;67(1):7-30. doi: 10.3322/caac.21387. Epub 2017 Jan 5.
5
Molecular Mechanisms of Resistance to First- and Second-Generation ALK Inhibitors in ALK-Rearranged Lung Cancer.
Cancer Discov. 2016 Oct;6(10):1118-1133. doi: 10.1158/2159-8290.CD-16-0596. Epub 2016 Jul 18.
6
Scientific Advances in Lung Cancer 2015.
J Thorac Oncol. 2016 May;11(5):613-638. doi: 10.1016/j.jtho.2016.03.012. Epub 2016 Mar 22.
7
Second- and third-generation ALK inhibitors for non-small cell lung cancer.
J Hematol Oncol. 2016 Mar 8;9:19. doi: 10.1186/s13045-016-0251-8.
9
The ALK inhibitor ceritinib overcomes crizotinib resistance in non-small cell lung cancer.
Cancer Discov. 2014 Jun;4(6):662-673. doi: 10.1158/2159-8290.CD-13-0846. Epub 2014 Mar 27.
10
A novel EML4-ALK variant: exon 6 of EML4 fused to exon 19 of ALK.
J Thorac Oncol. 2012 Jul;7(7):1198-9. doi: 10.1097/JTO.0b013e3182598af3.

文献AI研究员

20分钟写一篇综述,助力文献阅读效率提升50倍。

立即体验

用中文搜PubMed

大模型驱动的PubMed中文搜索引擎

马上搜索

文档翻译

学术文献翻译模型,支持多种主流文档格式。

立即体验