Suppr超能文献

犊牛结膜肌纤维瘤中牛乳头瘤病毒2型DNA的检测

Detection of bovine papillomavirus type 2 DNA in calf conjunctival myofibroblastoma.

作者信息

Hatama Shinichi, Murakami Kenji, Yamamoto Shinji, Kadota Koichi

机构信息

National Institute of Animal Health, National Agriculture and Research Organization, 3-1-5 Kannondai, Tsukuba, Ibaraki 305-0856, Japan.

Nakasorachi NOSAI, 1-5-14 Omachi, Takikawa, Hokkaido 073-0022, Japan.

出版信息

J Vet Med Sci. 2018 Nov 1;80(10):1544-1548. doi: 10.1292/jvms.18-0341. Epub 2018 Aug 30.

Abstract

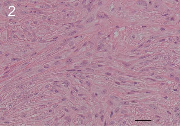
An 8-month-old male Japanese Black calf was referred for the evaluation of a slow-growing conjunctival mass in the right eye. A superficial keratectomy was performed followed by recurrence on two occasions. No metastases were found in surrounding tissues. Histological, immunohistochemical, and ultrastructural investigation revealed that both the primary and the recurrent lesions were benign, conjunctival, myofibroblastomas. Interestingly, bovine papillomavirus type 2 (BPV-2) DNA was detected in both myofibroblastoma lesions. Archival bovine myofibroblastomas from the vulva and neck were also analyzed for papillomaviral genomes. BPV-2 DNA was also amplified from these lesions. To the best of our knowledge, this is the first report describing a potential causal relationship between BPV-2 infection and conjunctival myofibroblastoma.

摘要

一头8个月大的日本黑牛犊因右眼结膜肿物生长缓慢前来就诊。进行了浅表角膜切除术,随后肿物复发了两次。在周围组织中未发现转移。组织学、免疫组织化学和超微结构研究表明,原发性和复发性病变均为良性结膜肌成纤维细胞瘤。有趣的是,在两个肌成纤维细胞瘤病变中均检测到牛乳头瘤病毒2型(BPV-2)DNA。还对外阴和颈部的存档牛肌成纤维细胞瘤进行了乳头瘤病毒基因组分析。这些病变中也扩增出了BPV-2 DNA。据我们所知,这是第一份描述BPV-2感染与结膜肌成纤维细胞瘤之间潜在因果关系的报告。

https://cdn.ncbi.nlm.nih.gov/pmc/blobs/b1e4/6207528/aae28633009a/jvms-80-1544-g001.jpg

文献AI研究员

20分钟写一篇综述,助力文献阅读效率提升50倍。

立即体验

用中文搜PubMed

大模型驱动的PubMed中文搜索引擎

马上搜索

文档翻译

学术文献翻译模型,支持多种主流文档格式。

立即体验