Suppr超能文献

巴氏腺原发性小细胞神经内分泌癌:一例报告。

Primary small cell neuroendocrine carcinoma of the Bartholin's gland: A case report.

作者信息

Wu Jiang-Chun, Xi Mei-Li, Wang Yan-Qiu, Tang Wen-Bin, Zhang Yu-Qin

机构信息

Department of Obstetrics and Gynecology, Zhongshan Hospital, Fudan University, Shanghai 200032, P.R. China.

Department of Pathology, Zhongshan Hospital, Fudan University, Shanghai 200032, P.R. China.

出版信息

Oncol Lett. 2018 Oct;16(4):4434-4438. doi: 10.3892/ol.2018.9231. Epub 2018 Jul 30.

Abstract

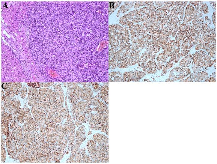
Primary carcinoma of the Bartholin's gland (BG) is a rare malignancy. There are extremely rare cases of small cell neuroendocrine carcinoma (SCNC) of the BG reported in the English literature. A postmenopausal female presented with a 1-month history of increasing pain and swelling on the left vulva consistent with spontaneously bleeding. Pathology identified SCNC that arose in BG. The patient was treated with a radical wide local excision and bilateral inguinal lymph node dissection followed by six courses of chemotherapy. One month after primary treatment, without any pelvic recurrence or abnormal tumor markers indications, distant metastasis of the liver was diagnosed and VI hepatic lobectomy was performed. The patient maintained regular adjuvant chemotherapy every month under outpatient surveillance and has no local recurrence or distant metastasis.

摘要

巴氏腺原发性癌是一种罕见的恶性肿瘤。英文文献中报道的巴氏腺小细胞神经内分泌癌(SCNC)病例极其罕见。一名绝经后女性,有1个月的左侧外阴疼痛和肿胀加剧病史,伴有自发出血。病理检查确诊为巴氏腺来源的SCNC。患者接受了根治性广泛局部切除及双侧腹股沟淋巴结清扫术,随后进行了六个疗程的化疗。初次治疗1个月后,在无盆腔复发或肿瘤标志物异常指征的情况下,诊断为肝脏远处转移,并进行了Ⅵ段肝叶切除术。患者在门诊监测下每月定期接受辅助化疗,无局部复发或远处转移。

https://cdn.ncbi.nlm.nih.gov/pmc/blobs/c2b7/6126345/9a90ee6a6a65/ol-16-04-4434-g00.jpg

文献检索

告别复杂PubMed语法,用中文像聊天一样搜索,搜遍4000万医学文献。AI智能推荐,让科研检索更轻松。

立即免费搜索

文件翻译

保留排版,准确专业,支持PDF/Word/PPT等文件格式,支持 12+语言互译。

免费翻译文档

深度研究

AI帮你快速写综述,25分钟生成高质量综述,智能提取关键信息,辅助科研写作。

立即免费体验