Kord Valeshabad Ali, Acostamadiedo Jennifer, Xiao Lekui, Mar Winnie, Xie Karen L
Department of Radiology, University of Illinois at Chicago, USA.
Division of Interventional Radiology, University of Illinois at Chicago, USA.
Case Rep Gastrointest Med. 2018 Aug 19;2018:7589451. doi: 10.1155/2018/7589451. eCollection 2018.
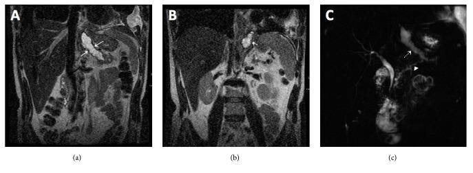
A 49-year-old male with history of chronic alcohol-induced pancreatitis presented with one month of worsening left pleuritic chest pain and shortness of breath. Chest radiograph demonstrated bilateral pleural effusions. Thoracentesis revealed increased amylase in the pleural fluid. Computed tomography (CT) and magnetic resonance cholangiopancreatography (MRCP) showed a fistula tract between the left pleural cavity and pancreas which was confirmed on endoscopic retrograde cholangiopancreatography (ERCP). Patient was treated with placement of a pancreatic stent with complete resolution of the fistula tract approximately in 9 weeks. A systematic literature search was performed on reported cases with pancreaticopleural fistula (PPF) who underwent early therapeutic endoscopy within the last 10 years. Imaging modalities, particularly CT and MRCP, play essential role in prompt preprocedural diagnosis of PPF. Early therapeutic ERCP is an effective and relatively safe treatment option for PPF, so invasive surgery may be avoided.
一名49岁男性,有慢性酒精性胰腺炎病史,出现左胸痛伴胸膜炎性疼痛加重及气短1个月。胸部X线片显示双侧胸腔积液。胸腔穿刺术显示胸腔积液中淀粉酶升高。计算机断层扫描(CT)和磁共振胰胆管造影(MRCP)显示左胸腔与胰腺之间存在瘘管,经内镜逆行胰胆管造影(ERCP)得以证实。患者接受了胰腺支架置入治疗,瘘管在约9周内完全消失。对过去10年内接受早期治疗性内镜检查的胰胸膜瘘(PPF)报告病例进行了系统的文献检索。影像学检查方法,尤其是CT和MRCP,在PPF术前快速诊断中起重要作用。早期治疗性ERCP是PPF一种有效且相对安全的治疗选择,因此可避免进行侵入性手术。