• 文献检索
  • 文档翻译
  • 深度研究
  • 学术资讯
  • Suppr Zotero 插件Zotero 插件
  • 邀请有礼
  • 套餐&价格
  • 历史记录
应用&插件
Suppr Zotero 插件Zotero 插件浏览器插件Mac 客户端Windows 客户端微信小程序
定价
高级版会员购买积分包购买API积分包
服务
文献检索文档翻译深度研究API 文档MCP 服务
关于我们
关于 Suppr公司介绍联系我们用户协议隐私条款
关注我们

Suppr 超能文献

核心技术专利:CN118964589B侵权必究
粤ICP备2023148730 号-1Suppr @ 2026

文献检索

告别复杂PubMed语法,用中文像聊天一样搜索,搜遍4000万医学文献。AI智能推荐,让科研检索更轻松。

立即免费搜索

文件翻译

保留排版,准确专业,支持PDF/Word/PPT等文件格式,支持 12+语言互译。

免费翻译文档

深度研究

AI帮你快速写综述,25分钟生成高质量综述,智能提取关键信息,辅助科研写作。

立即免费体验

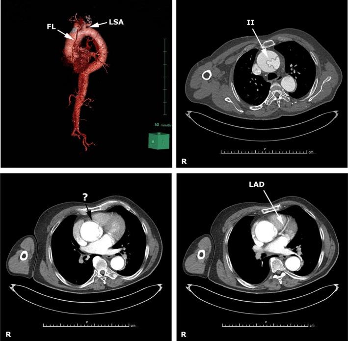
心房颤动,一种伴有疑似内膜-内膜套叠的急性斯坦福A型主动脉夹层的附带现象。

Atrial fibrillation, an epiphenomenon of acute Stanford type-A aortic dissection with suspected intimo-intimal intussusception.

作者信息

Ciulla Michele M, Vivona Patrizia, Lemos Alessandro, Sozzi Fabiola, Cioffi Ugo, Testori Alberto

机构信息

Laboratory of Clinical Informatics and Cardiovascular Imaging Department of Clinical Sciences and Community Health University of Milan Milan Italy.

Cardiovascular Diseases Unit Fondazione IRCCS Cà Granda Ospedale Maggiore Policlinico Milan Italy.

出版信息

Clin Case Rep. 2018 Jul 23;6(9):1791-1794. doi: 10.1002/ccr3.1701. eCollection 2018 Sep.

DOI:10.1002/ccr3.1701
PMID:30214765
原文链接:https://pmc.ncbi.nlm.nih.gov/articles/PMC6132104/
Abstract

Supraventricular arrhythmias can sometimes be "only" epiphenomena appearing during acute hypoxia, pneumonia, pulmonary embolism, and thrombosis. Indeed, atrial fibrillation is not rare in acute aortic dissection as it is estimated in about one half of patients and may be secondary to a perfusion deficit of the sinoatrial node artery.

摘要

室上性心律失常有时可能只是急性缺氧、肺炎、肺栓塞和血栓形成期间出现的“单纯”附带现象。事实上,急性主动脉夹层中房颤并不少见,据估计约一半患者会出现,且可能继发于窦房结动脉灌注不足。

https://cdn.ncbi.nlm.nih.gov/pmc/blobs/0ea0/6132104/ab836206b150/CCR3-6-1791-g002.jpg
https://cdn.ncbi.nlm.nih.gov/pmc/blobs/0ea0/6132104/c6bc05b9f17c/CCR3-6-1791-g001.jpg
https://cdn.ncbi.nlm.nih.gov/pmc/blobs/0ea0/6132104/ab836206b150/CCR3-6-1791-g002.jpg
https://cdn.ncbi.nlm.nih.gov/pmc/blobs/0ea0/6132104/c6bc05b9f17c/CCR3-6-1791-g001.jpg
https://cdn.ncbi.nlm.nih.gov/pmc/blobs/0ea0/6132104/ab836206b150/CCR3-6-1791-g002.jpg

相似文献

1
Atrial fibrillation, an epiphenomenon of acute Stanford type-A aortic dissection with suspected intimo-intimal intussusception.心房颤动,一种伴有疑似内膜-内膜套叠的急性斯坦福A型主动脉夹层的附带现象。
Clin Case Rep. 2018 Jul 23;6(9):1791-1794. doi: 10.1002/ccr3.1701. eCollection 2018 Sep.
2
Stanford type A acute aortic dissection with proximal intimo-intimal intussusception: a case report and literature review.斯坦福 A 型急性主动脉夹层伴近端内膜-中膜内陷:病例报告及文献复习。
J Cardiothorac Surg. 2021 Jul 28;16(1):201. doi: 10.1186/s13019-021-01581-0.
3
Intimo-Intimal Intussusception due to Stanford Type A Acute Aortic Dissection Presenting as Cerebral Infarction.因斯坦福A型急性主动脉夹层导致的内膜-内膜套叠,表现为脑梗死
Case Rep Emerg Med. 2022 Feb 1;2022:6258504. doi: 10.1155/2022/6258504. eCollection 2022.
4
Valve-sparing aortic root replacement for extremely localized circumferential aortic dissection associated with intimo-intimal intussusception.保留瓣膜的主动脉根部置换术治疗与内膜-内膜套叠相关的极局限性环周主动脉夹层。
Gen Thorac Cardiovasc Surg. 2018 May;66(5):294-298. doi: 10.1007/s11748-017-0806-9. Epub 2017 Aug 5.
5
Circumferential dissection of the ascending aorta "intimo-intimal intussusception".升主动脉的环形剥离术“内膜-内膜套叠”
Ann Vasc Dis. 2012;5(4):466-8. doi: 10.3400/avd.cr.11.00096. Epub 2012 Nov 30.
6
Aortic intimo-intimal intussusception in Stanford type A acute aortic dissection.
Eur Heart J. 2021 Sep 7;42(34):3410. doi: 10.1093/eurheartj/ehaa886.
7
Unusual complication of aortic dissections: intimo-intimal intussusception.主动脉夹层的罕见并发症:内膜-内膜套叠。
Cardiovasc J Afr. 2015 Jul 23;26(4):e15-8. doi: 10.5830/CVJA-2015-029.
8
[Chronic circumferential aortic dissection with intimo-intimal intussusception].
Pathologe. 2004 Mar;25(2):116-9. doi: 10.1007/s00292-003-0665-2.
9
Aortic Intimo-intimal Intussusception: A Pooled Analysis of Published Reports.主动脉内中膜内套叠:已发表报告的汇总分析。
Ann Vasc Surg. 2021 Aug;75:471-478. doi: 10.1016/j.avsg.2021.02.041. Epub 2021 Apr 5.
10
Echocardiographic detection of intimo-intimal intussusception in a patient with acute Stanford type A aortic dissection.超声心动图检测急性A型主动脉夹层患者的内膜-内膜套叠
Ann Card Anaesth. 2015 Apr-Jun;18(2):227-30. doi: 10.4103/0971-9784.154481.

本文引用的文献

1
Diagnostic Accuracy of the Aortic Dissection Detection Risk Score Plus D-Dimer for Acute Aortic Syndromes: The ADvISED Prospective Multicenter Study.主动脉夹层检测风险评分加 D-二聚体对急性主动脉综合征的诊断准确性:ADvISED 前瞻性多中心研究。
Circulation. 2018 Jan 16;137(3):250-258. doi: 10.1161/CIRCULATIONAHA.117.029457. Epub 2017 Oct 13.
2
The revascularization of the atrio-ventricular node artery in a case of right coronary artery occlusion promptly discontinue the atrio-ventricular block.右冠状动脉闭塞病例中房室结动脉的血管重建迅速终止了房室传导阻滞。
Hellenic J Cardiol. 2017 Jan-Feb;58(1):77-79. doi: 10.1016/j.hjc.2017.01.021. Epub 2017 Feb 2.
3
Differential aspects of the disease and treatment of Thoracic Acute Aortic Dissection (TAAD)-the European experience.
胸主动脉急性夹层(TAAD)疾病与治疗的差异方面——欧洲经验
Ann Cardiothorac Surg. 2016 Jul;5(4):360-7. doi: 10.21037/acs.2016.06.05.
4
Acute Stanford Type A Aortic Dissection Mimicking Acute Myocardial Infarction: A Hidden Catastrophe Which Should Prompt Greater Vigilance.酷似急性心肌梗死的急性 Stanford A 型主动脉夹层:一种应引起更高警惕的隐匿性灾难。
Acta Cardiol Sin. 2014 Sep;30(5):493-6.
5
The atherosclerosis of the sinus node artery is associated with an increased history of supra-ventricular arrhythmias: a retrospective study on 541 standard coronary angiograms.窦房结动脉粥样硬化与室上性心律失常病史增加相关:一项对541例标准冠状动脉造影的回顾性研究
PeerJ. 2015 Aug 27;3:e1156. doi: 10.7717/peerj.1156. eCollection 2015.
6
Can the unenhanced phase be eliminated from dual-phase CT angiography for chest pain? Implications for diagnostic accuracy in acute aortic intramural hematoma.能否从胸痛的双期 CT 血管造影中消除未增强期?对急性主动脉壁内血肿诊断准确性的影响。
AJR Am J Roentgenol. 2014 Dec;203(6):1171-80. doi: 10.2214/AJR.13.11915.
7
Is significance of atrial fibrillation in acute aortic dissection underestimated?急性主动脉夹层中心房颤动的重要性是否被低估了?
J Emerg Med. 2009 Aug;37(2):168-70. doi: 10.1016/j.jemermed.2007.11.094. Epub 2008 Jun 13.
8
Acute thrombosis of the sinus node artery: arrhythmological implications.窦房结动脉急性血栓形成:心律失常学意义
Heart. 2003 Feb;89(2):E5. doi: 10.1136/heart.89.2.e5.
9
Diagnosis and management of aortic dissection.主动脉夹层的诊断与管理
Eur Heart J. 2001 Sep;22(18):1642-81. doi: 10.1053/euhj.2001.2782.
10
The International Registry of Acute Aortic Dissection (IRAD): new insights into an old disease.国际急性主动脉夹层注册研究(IRAD):对一种古老疾病的新见解
JAMA. 2000 Feb 16;283(7):897-903. doi: 10.1001/jama.283.7.897.