Suppr超能文献

酷似囊性腹膜后肿块的韧带样型纤维瘤病:病例报告及文献复习

Desmoid-type fibromatosis mimicking cystic retroperitoneal mass: case report and literature review.

作者信息

Lee Kyu-Chong, Lee Jongmee, Kim Baek Hui, Kim Kyeong Ah, Park Cheol Min

机构信息

Department of Radiology, Korea University Guro Hospital, Korea University College of Medicine, 80 Guro-dong, Guro-gu, Seoul, 152-703, South Korea.

Department of Pathology, Korea University Guro Hospital, Korea University College of Medicine, Seoul, South Korea.

出版信息

BMC Med Imaging. 2018 Sep 17;18(1):29. doi: 10.1186/s12880-018-0265-5.

Abstract

BACKGROUND

Retroperitoneal desmoid-type fibromatosis (DF) is an uncommon mesenchymal neoplasm presenting as a firm mass with locally aggressive features. It usually manifests as a well-circumscribed or ill-defined, solid mass on cross-sectional imaging. Cystic changes of DF have been described in the literature in association with prolonged medical treatment or abscess formation. However, spontaneous cystic change is rarely reported.

CASE PRESENTATION

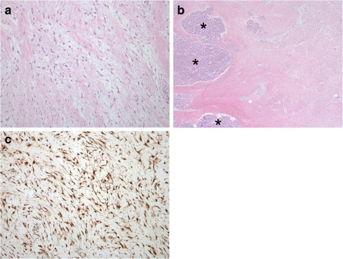
Here we report the case of a 46-year-old patient with a DF mimicked a large cystic tumor in the retroperitoneum. Ultrasonography and computed tomography were performed in order to search for localizations and characteristics of the cystic tumor. Radiological findings showed an oval cystic mass with a relatively thick wall, measuring 18.3 × 12.3 × 21.5 cm in the left upper abdomen. Laparoscopic spleen-preserving distal pancreatectomy was performed and histopathological examination by immunohistochemical study enabled us to diagnose a DF invading the pancreatic parenchyma. The patient remained asymptomatic during an 8-month follow up period.

CONCLUSIONS

We report an extremely rare case of retroperitoneal DF with spontaneous cystic change. DF can manifest as a mainly cystic mass with a thick wall, as in our case, which makes the correct diagnosis difficult. DF should be included in the preoperative differential diagnosis of a cystic retroperitoneal mass, regardless of its rarity.

摘要

背景

腹膜后硬纤维瘤病(DF)是一种罕见的间叶性肿瘤,表现为质地坚硬的肿块,具有局部侵袭性特征。在横断面成像上,它通常表现为边界清晰或不清晰的实性肿块。文献中已描述DF的囊性变与长期治疗或脓肿形成有关。然而,自发性囊性变很少被报道。

病例报告

在此,我们报告一例46岁患者,其腹膜后DF表现为巨大囊性肿瘤。进行了超声检查和计算机断层扫描以寻找囊性肿瘤的定位和特征。影像学检查结果显示左上腹有一个椭圆形囊性肿块,壁相对较厚,大小为18.3×12.3×21.5厘米。实施了保留脾脏的腹腔镜远端胰腺切除术,通过免疫组织化学研究进行的组织病理学检查使我们能够诊断出侵袭胰腺实质的DF。在8个月的随访期内,患者一直无症状。

结论

我们报告了一例极其罕见的伴有自发性囊性变的腹膜后DF病例。如我们的病例所示,DF可表现为主要为壁厚的囊性肿块,这使得正确诊断变得困难。无论DF多么罕见,在术前对囊性腹膜后肿块进行鉴别诊断时都应考虑到它。

https://cdn.ncbi.nlm.nih.gov/pmc/blobs/27d8/6142631/820284fdacd1/12880_2018_265_Fig1_HTML.jpg

文献检索

告别复杂PubMed语法,用中文像聊天一样搜索,搜遍4000万医学文献。AI智能推荐,让科研检索更轻松。

立即免费搜索

文件翻译

保留排版,准确专业,支持PDF/Word/PPT等文件格式,支持 12+语言互译。

免费翻译文档

深度研究

AI帮你快速写综述,25分钟生成高质量综述,智能提取关键信息,辅助科研写作。

立即免费体验