Suppr超能文献

成人化脓性脑脓肿、脑室炎和弥漫性脑膜炎伴致命结局:放射学与病理学相关性

Pyogenic brain abscess, ventriculitis and diffuse meningitis with fatal outcome in an adult: Radiologic-pathologic correlation

作者信息

Mahammedi Abdelkader, Bachir Suha, Purdy Jenna, Larvie Mykol, Buehler Mark

机构信息

Cleveland Clinic, Department of Neuroradiology, Neuroradiology Room L10-407, 9500 Euclid Ave., Cleveland, OH 44195, USA.

University of Toledo, Department of Pathology and Neuroradiology, Toledo, OH, USA.

出版信息

Radiol Case Rep. 2018 May 18;13(5):1063-1068. doi: 10.1016/j.radcr.2018.04.019. eCollection 2018 Oct.

Abstract

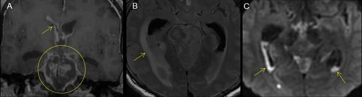
Rupture of brain abscesses with evolution into ventriculitis with meningitis may result in sudden and dramatic worsening of the clinical situation. We present a 57-year-old man with such an event and fatal outcome. Multiple imaging modalities including computed tomography and advanced magnetic resonance imaging were correlated with gross specimen and histologic images. The differential diagnosis of multiple lesions with ring enhancement and prominent perifocal edema includes mainly infectious and neoplastic processes, such as brain abscess, metastasis, and multicentric glioblastoma. Pyogenic ventriculitis is an uncommon manifestation of severe intracranial infection that might be clinically obscure. We discuss the characteristic magnetic resonance findings of brain abscess and its complications, including meningitis and ventriculitis with emphasis on the role of diffusion-weighted and fluid-attenuated inversion recovery imaging.

摘要

脑脓肿破裂并演变为脑室炎合并脑膜炎可能导致临床状况突然急剧恶化。我们报告一名57岁男性发生了这样的事件并导致了致命后果。包括计算机断层扫描和先进磁共振成像在内的多种成像方式与大体标本及组织学图像相关联。具有环形强化和明显灶周水肿的多个病变的鉴别诊断主要包括感染性和肿瘤性病变,如脑脓肿、转移瘤和多中心胶质母细胞瘤。化脓性脑室炎是严重颅内感染的一种不常见表现,在临床上可能难以明确诊断。我们讨论脑脓肿及其并发症(包括脑膜炎和脑室炎)的特征性磁共振表现,重点强调扩散加权成像和液体衰减反转恢复成像的作用。

https://cdn.ncbi.nlm.nih.gov/pmc/blobs/d42b/6137902/62bed0c13740/gr1.jpg

文献AI研究员

20分钟写一篇综述,助力文献阅读效率提升50倍。

立即体验

用中文搜PubMed

大模型驱动的PubMed中文搜索引擎

马上搜索

文档翻译

学术文献翻译模型,支持多种主流文档格式。

立即体验