Suppr超能文献

使用同一根PRECICE髓内钉进行连续两次肢体延长:技术说明

Two consecutive limb lengthenings with the same PRECICE nail: a technical note.

作者信息

Couto André, Freitas Joana, Alegrete Nuno, Coutinho Jorge, Costa Gilberto

机构信息

Orthopaedic and Traumatology, Centro Hospitalar de São João, Alameda Prof. Hernâni Monteiro, 4200-319, Porto, Portugal.

出版信息

Strategies Trauma Limb Reconstr. 2018 Nov;13(3):199-204. doi: 10.1007/s11751-018-0317-y. Epub 2018 Sep 19.

Abstract

PURPOSE

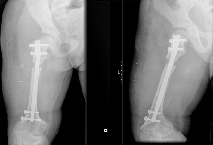
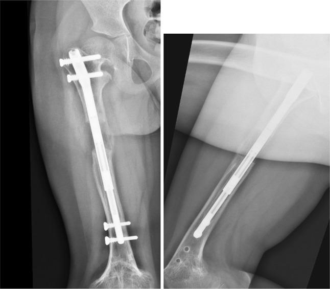
The most significant advance in our time about limb lengthening is the magnetic lengthening nail, as the first reports appeared to show good results with accurate lengthening rates and good regenerate bone formation. The described complication rate is generally low. They avoid external fixation elements, and are activated transcutaneously, so the patient's pain and discomfort are reduced and the rehabilitation is faster and more effective. The aim of authors is to describe a special technical issue of the PRECICE system: the nail can be extended inside the patient limb (after the osteotomy), but it also can be retracted inside the limb after achieving the bone union.

METHODS

The authors present a case in which the limb lengthening has been performed in consecutive lengthening periods using the same nail. The nail was extended and retracted by altering the settings on the external remote control as well as accurately setting the rate of distraction.

RESULTS

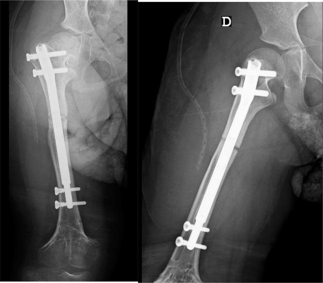
After two consecutive femoral lengthening with the same PRECICE nail, the patient no longer has a significant lower limb length discrepancy and patient satisfaction was high. During this clinical case, we were not confronted with any type of complications.

CONCLUSION

This technique utilizes the principles and advantages of lengthening over an magnetic lengthening nail, avoids the necessity of nail removal and minimizes the complication rates and the overall time for complete recovery.

LEVEL OF EVIDENCE

Level IV.

摘要

目的

我们这个时代肢体延长领域最重大的进展是磁性延长钉,最初的报告似乎显示其在延长率精确且新生骨形成良好方面取得了良好效果。所描述的并发症发生率通常较低。它们避免了外固定元件,且通过经皮激活,因此减轻了患者的疼痛和不适,康复过程更快且更有效。作者的目的是描述PRECICE系统的一个特殊技术问题:钉子在截骨术后可在患者肢体内部延长,但在骨愈合后也可在肢体内部回缩。

方法

作者呈现了一个病例,其中使用同一根钉子在连续的延长阶段进行肢体延长。通过改变外部遥控器的设置以及精确设定牵张速率来使钉子延长和回缩。

结果

使用同一根PRECICE钉子连续两次进行股骨延长后,患者双下肢长度差异不再显著,患者满意度较高。在这个临床病例过程中,我们未遇到任何类型的并发症。

结论

该技术利用了磁性延长钉延长的原理和优势,避免了取钉的必要性,将并发症发生率和完全恢复的总时间降至最低。

证据级别

四级。

https://cdn.ncbi.nlm.nih.gov/pmc/blobs/cc29/6249150/bf9970ddb1a8/11751_2018_317_Fig1_HTML.jpg

文献AI研究员

20分钟写一篇综述,助力文献阅读效率提升50倍。

立即体验

用中文搜PubMed

大模型驱动的PubMed中文搜索引擎

马上搜索

文档翻译

学术文献翻译模型,支持多种主流文档格式。

立即体验