Suppr超能文献

负责骨替代材料成功与失败的细胞机制。

Cellular Mechanisms Responsible for Success and Failure of Bone Substitute Materials.

机构信息

Department of Orthopedics, University Medical Center Hamburg-Eppendorf, 20246 Hamburg, Germany.

Department of Oral and Maxillofacial Surgery, University Medical Center Hamburg-Eppendorf, 20246 Hamburg, Germany.

出版信息

Int J Mol Sci. 2018 Sep 23;19(10):2893. doi: 10.3390/ijms19102893.

Abstract

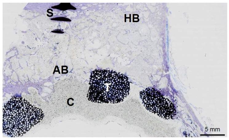
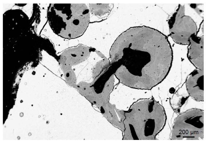
Bone grafts, i.e., autologous, allogeneic or synthetic bone substitute materials play an increasing role in reconstructive orthopedic surgery. While the indications and materials differ, it is important to understand the cellular mechanisms regarding their integration and remodeling, which are discussed in this review article. Osteoconductivity describes the new bone growth on the graft, while osteoinductivity represents the differentiation of undifferentiated cells into bone forming osteoblasts. The best case is that both mechanisms are accompanied by osteogenesis, i.e., bone modeling and remodeling of the graft material. Graft incorporation is mediated by a number of molecular pathways that signal the differentiation and activity of osteoblasts and osteoclasts (e.g., parathyroid hormone (PTH) and receptor activator of nuclear factor κβ ligand (RANKL), respectively). Direct contact of the graft and host bone as well as the presence of a mechanical load are a prerequisite for the successful function of bone grafts. Interestingly, while bone substitutes show good to excellent clinical outcomes, their histological incorporation has certain limits that are not yet completely understood. For instance, clinical studies have shown contrasting results regarding the complete or incomplete resorption and remodeling of allografts and synthetic grafts. In this context, a foreign body response can lead to complete material degradation via phagocytosis, however it may also cause a fibrotic reaction to the bone substitute. Finally, the success of bone graft incorporation is also limited by other factors, including the bone remodeling capacities of the host, the material itself (e.g., inadequate resorption, toxicity) and the surgical technique or preparation of the graft.

摘要

骨移植物,即自体、同种异体或合成的骨替代材料,在矫形骨科重建中发挥着越来越重要的作用。虽然适应证和材料不同,但理解其整合和重塑的细胞机制很重要,这在本文综述中进行了讨论。成骨能力描述了移植物上的新骨生长,而成骨诱导则代表未分化细胞分化为成骨细胞。最佳情况是这两种机制都伴随着骨生成,即移植物的骨建模和重塑。移植物的整合是由许多分子途径介导的,这些途径信号传递了成骨细胞和破骨细胞的分化和活性(例如,甲状旁腺激素(PTH)和核因子κβ配体受体激活剂(RANKL),分别)。移植物和宿主骨的直接接触以及机械负荷的存在是骨移植物成功功能的先决条件。有趣的是,虽然骨替代物具有良好到优异的临床结果,但它们的组织学整合具有一定的限制,这些限制尚未完全理解。例如,临床研究表明同种异体移植物和合成移植物的完全或不完全吸收和重塑的结果存在差异。在这种情况下,异物反应可能通过吞噬作用导致完全的材料降解,但也可能导致对骨替代物的纤维反应。最后,骨移植物整合的成功也受到其他因素的限制,包括宿主的骨重塑能力、材料本身(例如,吸收不足、毒性)以及移植物的手术技术或准备。

https://cdn.ncbi.nlm.nih.gov/pmc/blobs/7b62/6213546/c675b78fc9ec/ijms-19-02893-g001.jpg

文献AI研究员

20分钟写一篇综述,助力文献阅读效率提升50倍。

立即体验

用中文搜PubMed

大模型驱动的PubMed中文搜索引擎

马上搜索

文档翻译

学术文献翻译模型,支持多种主流文档格式。

立即体验