Suppr超能文献

Lin28A/Rho 相关卷曲螺旋蛋白激酶 2 的相互作用加速了卵巢癌的恶性转化。

The interaction of Lin28A/Rho associated coiled-coil containing protein kinase2 accelerates the malignancy of ovarian cancer.

机构信息

Hunan Provincial Tumor Hospital and the Affiliated Tumor Hospital of Xiangya School of Medicine, School of Basic Medical Science, Central South University, Changsha, Hunan, China.

Human Reproduction Center, Shenzhen Hospital of Hongkong University, Haiyuan 1 Road, Futian, Shenzhen, China.

出版信息

Oncogene. 2019 Feb;38(9):1381-1397. doi: 10.1038/s41388-018-0512-9. Epub 2018 Sep 28.

Abstract

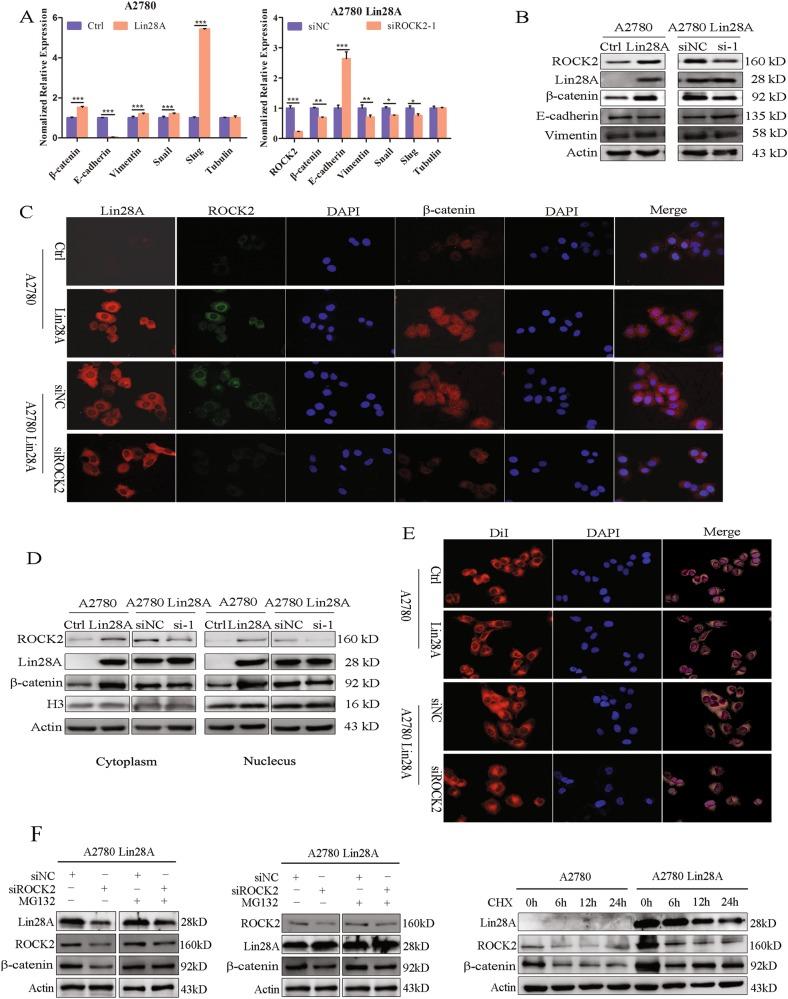
Ovarian cancer (OC) is the leading cause of death among women with gynecologic malignant diseases, however, the molecular mechanism of ovarian cancer is not well defined. Previous studies have found that RNA binding protein Lin28A is a key factor of maintain the pluripotency of stem cells, and it is positively correlated with the degree of several cancers (breast, prostate, liver cancer, etc). Our previous study shows that Lin28A is highly expressed in OC tissues and is involved in the regulation of OC cell biological behavior. In this study, we confirmed that high expression of Lin28A promoted the survival, invasion, metastasis, and inhibited the apoptosis of OC cells. Lin28A interacts with Rho associated coiled-coil containing protein kinase2 (ROCK2) but not ROCK1 and upregulates the expression of ROCK2 in OC cells. The binding sites of each other were identified by truncated mutations and Immuno-precipitaion (IP) assay. After knock down of ROCK2 in cells with high expression of Lin28A, the survival, invasion, metastasis was significantly inhibited and early apoptosis was increased in OC cells and OC xenograft in nude mice. Our experimental data also showed that knock down of ROCK2 but not ROCK1 inhibited the invasion by decreasing the expression of N-cadherin, Slug, β-catenin and increasing ZO-1 expression. Simultaneously, knock down of ROCK2 induced cell apoptosis by increasing cleaved Caspase-9,cleaved Caspase-7, and cleaved Caspase-3. Taken together, Lin28A regulated the biological behaviors in OC cells through ROCK2 and the interaction of Lin28A/ROCK2 may be a new target for diagnosis and gene therapy of OC.

摘要

卵巢癌(OC)是妇科恶性肿瘤患者死亡的主要原因,但卵巢癌的分子机制尚不清楚。先前的研究发现,RNA 结合蛋白 Lin28A 是维持干细胞多能性的关键因素,它与几种癌症(乳腺癌、前列腺癌、肝癌等)的严重程度呈正相关。我们之前的研究表明,Lin28A 在 OC 组织中高表达,并参与 OC 细胞生物学行为的调控。在本研究中,我们证实高表达的 Lin28A 促进 OC 细胞的存活、侵袭、转移,并抑制 OC 细胞的凋亡。Lin28A 与 Rho 相关卷曲螺旋蛋白激酶 2(ROCK2)相互作用,但不与 ROCK1 相互作用,并在上皮性卵巢癌细胞中上调 ROCK2 的表达。通过截短突变和免疫沉淀(IP)实验鉴定了彼此的结合位点。在 Lin28A 高表达的细胞中敲低 ROCK2 后,OC 细胞的存活、侵袭和转移明显受到抑制,早期凋亡增加,OC 裸鼠异种移植瘤也出现这种情况。我们的实验数据还表明,敲低 ROCK2 而不是 ROCK1 通过降低 N-钙黏蛋白、Slug、β-catenin 的表达和增加 ZO-1 的表达来抑制侵袭。同时,敲低 ROCK2 通过增加 cleaved Caspase-9、cleaved Caspase-7 和 cleaved Caspase-3 诱导细胞凋亡。综上所述,Lin28A 通过 ROCK2 调节 OC 细胞的生物学行为,Lin28A/ROCK2 的相互作用可能成为 OC 诊断和基因治疗的新靶点。

https://cdn.ncbi.nlm.nih.gov/pmc/blobs/1d9d/6372474/25f888bfdfd8/41388_2018_512_Fig1_HTML.jpg

文献AI研究员

20分钟写一篇综述,助力文献阅读效率提升50倍。

立即体验

用中文搜PubMed

大模型驱动的PubMed中文搜索引擎

马上搜索

文档翻译

学术文献翻译模型,支持多种主流文档格式。

立即体验