Suppr超能文献

胰十二指肠切除术后胰空肠吻合口支架移位导致的骨髓炎

Osteomyelitis as a Result of Pancreaticojejunostomy Stent Migration after Whipple Procedure.

作者信息

Munis Assad, Solomon Brad, Mazulis Andrew, Laurie Timothy

机构信息

Department of Internal Medicine, Advocate Lutheran General Hospital, Park Ridge, IL.

Division of Gastroenterology, Advocate Lutheran General Hospital, Park Ridge, IL.

出版信息

ACG Case Rep J. 2018 Sep 26;5:e67. doi: 10.14309/crj.2018.67. eCollection 2018.

Abstract

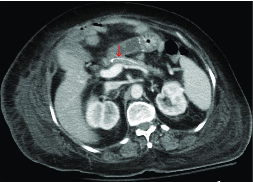
Pancreaticoduodenectomy, or Whipple procedure, is a high-risk surgical procedure commonly performed for tumors of the pancreatic head. The pancreatico-enteric anastomosis is an important component of this procedure. The maturation and adequate healing of this anastomotic site is critical to decrease the risk of postoperative pancreatic fistulas. The use of stents can help in the healing of this anastomotic site. We present a patient with pancreatic adenocarcinoma who underwent pancreaticoduodenectomy, and presented with progressively worsening lumbar pain 7 years later. The patient was found to have osteomyelitis as a complication from an entero-spinal fistula secondary to a migrated pediatric feeding tube that was placed at the pancreaticojejunal anastomosis.

摘要

胰十二指肠切除术,即惠普尔手术,是一种常用于治疗胰头肿瘤的高风险外科手术。胰肠吻合术是该手术的重要组成部分。此吻合口部位的成熟和充分愈合对于降低术后胰瘘风险至关重要。使用支架有助于该吻合口部位的愈合。我们报告一例患有胰腺腺癌的患者,其接受了胰十二指肠切除术,7年后出现进行性加重的腰痛。该患者被发现患有骨髓炎,这是由于放置在胰空肠吻合口处的儿童喂养管移位继发肠-脊柱瘘引起的并发症。

https://cdn.ncbi.nlm.nih.gov/pmc/blobs/d7a7/6160612/2065f860e15e/CG-CGCR180058F001.jpg

文献检索

告别复杂PubMed语法,用中文像聊天一样搜索,搜遍4000万医学文献。AI智能推荐,让科研检索更轻松。

立即免费搜索

文件翻译

保留排版,准确专业,支持PDF/Word/PPT等文件格式,支持 12+语言互译。

免费翻译文档

深度研究

AI帮你快速写综述,25分钟生成高质量综述,智能提取关键信息,辅助科研写作。

立即免费体验