Suppr超能文献

采用根治性切除及自体颅骨骨移植三维重建治疗颧上颌复合体纤维异常增殖症。

Treatment of fibrous dysplasia of the zygomaticomaxillary complex with radical resection and three-dimensional reconstruction with autologous calvarial bone graft.

作者信息

Ahn Sung Jae, Hong Jong Won, Kim Yong Oock, Lew Dae Hyun, Lee Won Jai

机构信息

Department of Plastic and Reconstructive Surgery, Yonsei University College of Medicine, Seoul, Korea.

Institute for Human Tissue Restoration, Yonsei University College of Medicine, Seoul, Korea.

出版信息

Arch Craniofac Surg. 2018 Sep;19(3):200-204. doi: 10.7181/acfs.2018.00052. Epub 2018 Sep 20.

Abstract

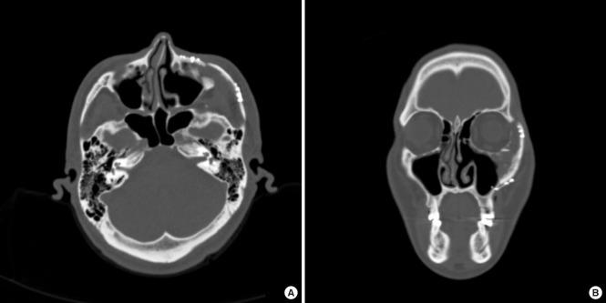
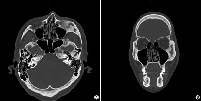
Fibrous dysplasia (FD) is a rare, benign bone disease with abnormal bone maturation and fibroblastic proliferation. Optimal treatment of zone 1 craniofacial FD is radical resection and reconstruction. To achieve of structural, aesthetic, and functional goals, we use three-dimensionally designed calvarial bone graft for reconstruction of zygomatic defect after radical resection of FD. The authors used a rapid-prototyping model for simulation surgery for radical resection and immediate reconstruction. Donor site was selected from parietal bone reflect shape, contour, and size of defect. Then radical resection of lesion and immediate reconstruction was performed as planned. Outcomes were assessed using clinical photographs and computed tomography scans. Successful reconstruction after radical resection was achieved by three-dimensional calvarial bone graft without complications. After a 12-month follow-up, sufficient bone thickness and symmetric soft tissue contour was well-maintained. By considering three-dimensional configuration of zygomaticomaxillary complex, the authors achieved satisfactory structural, aesthetic and functional outcomes without complications.

摘要

骨纤维异常增殖症(FD)是一种罕见的良性骨病,伴有异常的骨成熟和成纤维细胞增殖。颅面部1区FD的最佳治疗方法是根治性切除和重建。为了实现结构、美学和功能目标,我们使用三维设计的颅骨移植来重建FD根治性切除后的颧骨缺损。作者使用快速成型模型进行根治性切除和即刻重建的模拟手术。供骨部位选自顶骨,以反映缺损的形状、轮廓和大小。然后按计划进行病变的根治性切除和即刻重建。使用临床照片和计算机断层扫描评估结果。通过三维颅骨移植成功实现了根治性切除后的重建,且无并发症。经过12个月的随访,充分的骨厚度和对称的软组织轮廓得到了良好维持。通过考虑颧骨上颌复合体的三维结构,作者获得了满意的结构、美学和功能效果,且无并发症。

https://cdn.ncbi.nlm.nih.gov/pmc/blobs/185d/6177671/718909ad5f50/acfs-2018-00052f1.jpg

文献AI研究员

20分钟写一篇综述,助力文献阅读效率提升50倍。

立即体验

用中文搜PubMed

大模型驱动的PubMed中文搜索引擎

马上搜索

文档翻译

学术文献翻译模型,支持多种主流文档格式。

立即体验