Suppr超能文献

颧上颌区域骨纤维异常增殖症病灶剜除术后的长期预后

Long-term outcomes after core extirpation of fibrous dysplasia of the zygomaticomaxillary region.

作者信息

Park Joseph Kyu-Hyung, Lee Se Yeon, Kim Jong-Ho, Kim Baek-Kyu

机构信息

Department of Plastic and Reconstructive Surgery, Seoul National University Bundang Hospital, Seoul National University College of Medicine, Seongnam, Korea.

出版信息

Arch Craniofac Surg. 2023 Apr;24(2):59-65. doi: 10.7181/acfs.2023.00038. Epub 2023 Apr 20.

Abstract

BACKGROUND

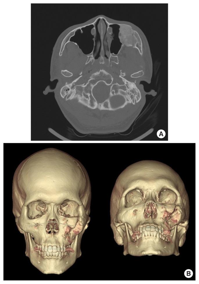
Fibrous dysplasia (FD) is a localized bone disorder in which fibro-osseous tissue replaces the normal bone structure. Patients with craniofacial FD often present with gradual swelling, deformity, and compromised vision or hearing. We previously introduced "the core extirpation method," a novel surgical technique that is minimally invasive like traditional bone shaving but has longer-lasting effects. This study presents the long-term outcomes of our core extirpation method.

METHODS

We conducted a retrospective analysis of patients who underwent core extirpation for FD of the zygomaticomaxillary region from 2012 through 2021. Computed tomography (CT) scans were performed 6 to 12 months before the operation, immediately before and after the operation, and during follow-up visits. We performed all operations using the upper gingivobuccal approach, and we extirpated the core of the lesion while preserving the cortical structures of the zygoma and the maxilla to maintain symmetrical facial contour.

RESULTS

In 12 patients with lesions in the growth phase, anteroposterior/mediolateral (AP/ML) length discrepancies and the volume increased between preoperative and immediate postoperative CT scans. All patients' immediate postoperative AP/ML discrepancies were stable up to 12-17 months postoperatively. Postoperative volume showed continuous lesion growth; the median volume growth rate was 0.61 cc per month.

CONCLUSION

In this article, we present our experiences managing FD using the minimally invasive core extirpation technique, which entails small expected blood loss and can be performed as day surgery. It provides similar cosmetic outcomes as traditional bone shaving but with longer-lasting results. Although there are some limitations with the study's retrospective nature and small sample size, our 4-year follow-up results show promising results of the core extirpation method in well-indicated patients.

摘要

背景

骨纤维异常增殖症(FD)是一种局限性骨疾病,其中纤维骨性组织取代了正常的骨结构。颅面部FD患者常表现为逐渐肿胀、畸形以及视力或听力受损。我们之前介绍了“核心摘除术”,这是一种新型手术技术,它像传统的骨削除术一样微创,但效果更持久。本研究展示了我们核心摘除术的长期疗效。

方法

我们对2012年至2021年因颧上颌区域FD接受核心摘除术的患者进行了回顾性分析。在手术前6至12个月、手术前后即刻以及随访期间进行了计算机断层扫描(CT)。我们均采用上牙龈颊侧入路进行所有手术,在保留颧骨和上颌骨皮质结构的同时摘除病变核心,以保持面部轮廓对称。

结果

12例处于生长阶段病变的患者,术前和术后即刻CT扫描之间,前后径/内外径(AP/ML)长度差异和体积增加。所有患者术后即刻的AP/ML差异在术后12 - 17个月内保持稳定。术后体积显示病变持续生长;体积增长中位数为每月0.61立方厘米。

结论

在本文中,我们展示了使用微创核心摘除术治疗FD的经验,该技术预计失血量少,可作为日间手术进行。它提供了与传统骨削除术相似的美容效果,但效果更持久。尽管该研究的回顾性性质和小样本量存在一些局限性,但我们的4年随访结果显示,核心摘除术在选择恰当的患者中取得了令人满意的结果。

https://cdn.ncbi.nlm.nih.gov/pmc/blobs/ff41/10165236/c5aaec9ce046/acfs-2023-00038f1.jpg

文献AI研究员

20分钟写一篇综述,助力文献阅读效率提升50倍。

立即体验

用中文搜PubMed

大模型驱动的PubMed中文搜索引擎

马上搜索

文档翻译

学术文献翻译模型,支持多种主流文档格式。

立即体验