Suppr超能文献

Primary Giant Cerebral Hydatid Cyst in an 8-year-old Girl.

作者信息

Alomari Mashael S, Almutairi Mohammed K, Alali Hamza M, Elwir Jamal S, Alola Sulaiman A, Alfattoh Nora I, Alharthy Nesrin A, Azzubi Moutasem A

机构信息

Departments of Pediatric Emergency, Pediatric Neurosurgery and Pediatric Infectious Diseases at King Abdullah Specialist Children Hospital in King Abdulaziz Medical City, KSA, Riyadh.

出版信息

Asian J Neurosurg. 2018 Jul-Sep;13(3):800-802. doi: 10.4103/ajns.AJNS_240_16.

Abstract

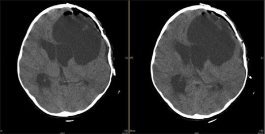
Echinococcosis, also called hydatid disease, is a parasitic disease that passes from animals to humans. Literature reports suggest very rare cases of cerebral hydatid cysts. Brain involvement with hydatid disease occurs in 1%-2% of all infections. In this report, we aim to emphasize the presentation of such an isolated primary cerebral hydatid cyst, discuss its radiological features, Emergency department management, inpatient medical management, referral to neurosurgery, consequent operative procedures, postoperative care, and outcome.

摘要
https://cdn.ncbi.nlm.nih.gov/pmc/blobs/c32a/6159100/44dbf29eaee4/AJNS-13-800-g001.jpg

文献AI研究员

20分钟写一篇综述,助力文献阅读效率提升50倍。

立即体验

用中文搜PubMed

大模型驱动的PubMed中文搜索引擎

马上搜索

文档翻译

学术文献翻译模型,支持多种主流文档格式。

立即体验