• 文献检索
  • 文档翻译
  • 深度研究
  • 学术资讯
  • Suppr Zotero 插件Zotero 插件
  • 邀请有礼
  • 套餐&价格
  • 历史记录
应用&插件
Suppr Zotero 插件Zotero 插件浏览器插件Mac 客户端Windows 客户端微信小程序
定价
高级版会员购买积分包购买API积分包
服务
文献检索文档翻译深度研究API 文档MCP 服务
关于我们
关于 Suppr公司介绍联系我们用户协议隐私条款
关注我们

Suppr 超能文献

核心技术专利:CN118964589B侵权必究
粤ICP备2023148730 号-1Suppr @ 2026

文献检索

告别复杂PubMed语法,用中文像聊天一样搜索,搜遍4000万医学文献。AI智能推荐,让科研检索更轻松。

立即免费搜索

文件翻译

保留排版,准确专业,支持PDF/Word/PPT等文件格式,支持 12+语言互译。

免费翻译文档

深度研究

AI帮你快速写综述,25分钟生成高质量综述,智能提取关键信息,辅助科研写作。

立即免费体验

卵巢巨大非典型平滑肌瘤1例报告

One case report of giant atypical leiomyoma of the ovary.

作者信息

Wang Qiu-Man, Zhao Ye, Ma Ying, Yao Li-Ting, Han Xiao

机构信息

First Clinical Medical College, Shanxi Medical University.

Department of Gynecology, First Hospital of Shanxi Medical University,Taiyuan, China.

出版信息

Medicine (Baltimore). 2018 Oct;97(40):e12526. doi: 10.1097/MD.0000000000012526.

DOI:10.1097/MD.0000000000012526
PMID:30290610
原文链接:https://pmc.ncbi.nlm.nih.gov/articles/PMC6200496/
Abstract

RATIONALE

Ovarian leiomyoma is a rare ovarian tumor that occurs in 20-65 year-old women, and is mostly misdiagnosed as malignant tumor. In most reports on this type of tumor, ovarian myoma has a benign histology. Herein,we describe a case of ovarian atypical leiomyoma.

PATIENT CONCERNS

The patient is a 58-year-old woman. At the age of 40 years old, the patient underwent hysterectomy due to "hysteromyoma" and secondary anemia. The patient was admitted to our hospital due to palpation of lower abdominal mass and abdominal distention.

DIAGNOSES

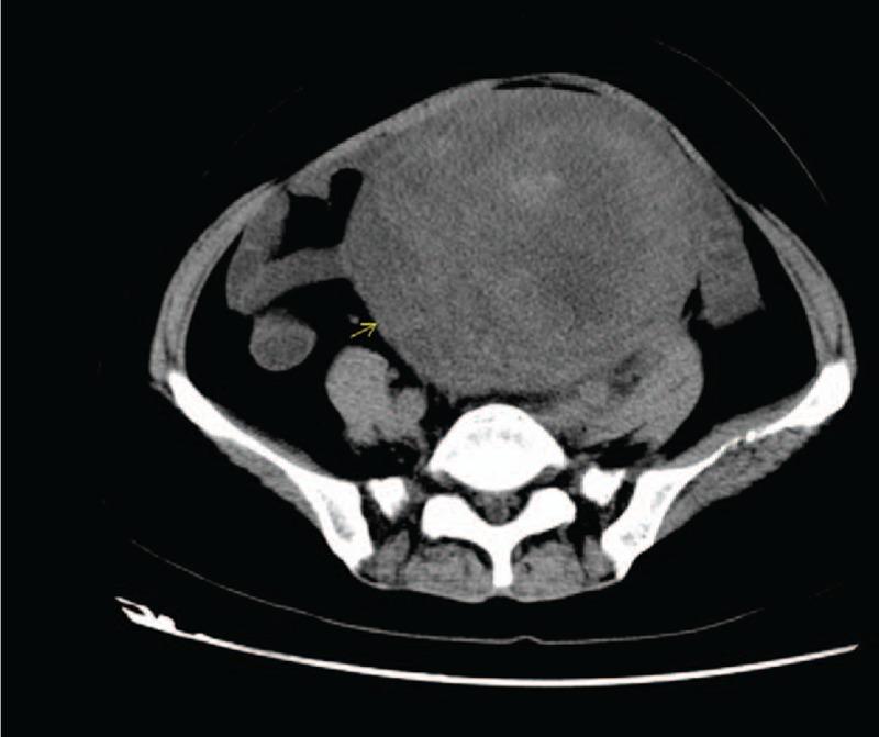
A mass was revealed at the left uterine appendage by pelvic ultrasound and CT.Pathology and immunohistochemistry confirmed the diagnosis of the left ovarian atypical leiomyoma.

INTERVENTIONS

Pelvic cavity resection and right adnexectomy were performed during laparotomy for the patient.

OUTCOMES

Without radiotherapy or chemotherapy, there were no signs of tumor recurrence in a 9-month follow-up period.

LESSONS

When a solid mass appears in ovarian tissues, ovarian leiomyoma should be considered. Patients with this type of tumor are mostly asymptomatic. Preoperative diagnosis was difficult, intraoperative frozen section would be helpful for determining the scope of the surgery, and the correct diagnosis was made by identifying the properties of smooth muscles through postoperative pathology and immunohistochemistry.

摘要

理论依据

卵巢平滑肌瘤是一种罕见的卵巢肿瘤,发生于20至65岁的女性,大多被误诊为恶性肿瘤。在关于这类肿瘤的大多数报告中,卵巢平滑肌瘤具有良性组织学特征。在此,我们描述一例卵巢非典型平滑肌瘤病例。

患者情况

患者为一名58岁女性。40岁时,患者因“子宫肌瘤”及继发性贫血接受了子宫切除术。患者因下腹部肿块触诊及腹胀入院。

诊断

盆腔超声和CT检查显示左侧子宫附件有一肿块。病理及免疫组化确诊为左侧卵巢非典型平滑肌瘤。

干预措施

为患者行剖腹探查术,术中进行盆腔肿物切除及右侧附件切除术。

结果

未进行放疗或化疗,在9个月的随访期内无肿瘤复发迹象。

经验教训

当卵巢组织出现实性肿块时,应考虑卵巢平滑肌瘤。这类肿瘤患者大多无症状。术前诊断困难,术中冰冻切片有助于确定手术范围,术后通过病理及免疫组化鉴定平滑肌特性做出正确诊断。

https://cdn.ncbi.nlm.nih.gov/pmc/blobs/a613/6200496/f6115cb71a51/medi-97-e12526-g004.jpg
https://cdn.ncbi.nlm.nih.gov/pmc/blobs/a613/6200496/72276d8a5925/medi-97-e12526-g001.jpg
https://cdn.ncbi.nlm.nih.gov/pmc/blobs/a613/6200496/a35d8bce838c/medi-97-e12526-g002.jpg
https://cdn.ncbi.nlm.nih.gov/pmc/blobs/a613/6200496/32ad7c960a1f/medi-97-e12526-g003.jpg
https://cdn.ncbi.nlm.nih.gov/pmc/blobs/a613/6200496/f6115cb71a51/medi-97-e12526-g004.jpg
https://cdn.ncbi.nlm.nih.gov/pmc/blobs/a613/6200496/72276d8a5925/medi-97-e12526-g001.jpg
https://cdn.ncbi.nlm.nih.gov/pmc/blobs/a613/6200496/a35d8bce838c/medi-97-e12526-g002.jpg
https://cdn.ncbi.nlm.nih.gov/pmc/blobs/a613/6200496/32ad7c960a1f/medi-97-e12526-g003.jpg
https://cdn.ncbi.nlm.nih.gov/pmc/blobs/a613/6200496/f6115cb71a51/medi-97-e12526-g004.jpg

相似文献

1
One case report of giant atypical leiomyoma of the ovary.卵巢巨大非典型平滑肌瘤1例报告
Medicine (Baltimore). 2018 Oct;97(40):e12526. doi: 10.1097/MD.0000000000012526.
2
Primary leiomyoma of the ovary--a report of 2 resected cases.
Kurume Med J. 2003;50(3-4):169-72. doi: 10.2739/kurumemedj.50.169.
3
Primary ovarian leiomyoma with calcification: A case report.原发性卵巢平滑肌瘤伴钙化:一例报告。
Medicine (Baltimore). 2024 Jul 26;103(30):e39122. doi: 10.1097/MD.0000000000039122.
4
Bizarre presentation of bilateral ovarian leiomyoma: a case report.双侧卵巢平滑肌瘤的罕见表现:一例报告
Tanzan J Health Res. 2013 Oct;15(4):259-61.
5
Leiomyoma of the ovary presenting with Meigs' syndrome.卵巢平滑肌瘤伴梅格斯综合征
J Obstet Gynaecol Res. 2005 Jun;31(3):257-62. doi: 10.1111/j.1447-0756.2005.00285.x.
6
MRI appearance of primary giant ovarian leiomyoma in a hysterectomised woman.子宫切除术后女性原发性巨大卵巢平滑肌瘤的磁共振成像表现
Br J Radiol. 2006 Oct;79(946):e126-8. doi: 10.1259/bjr/54090919.
7
A subserosal, pedunculated, multilocular uterine leiomyoma with ovarian tumor-like morphology and histological architecture of adenomatoid tumors: a case report and review of the literature.一例具有腺瘤样瘤的卵巢肿瘤样形态和组织学结构的浆膜下带蒂多房性子宫平滑肌瘤:病例报告及文献复习
J Med Case Rep. 2016 Dec 20;10(1):352. doi: 10.1186/s13256-016-1167-1.
8
A rare case of acute abdomen: torsionated ovarian myoma.
J Exp Ther Oncol. 2014;10(4):255-7.
9
A case of cystic leiomyoma mimicking an ovarian malignancy.一例酷似卵巢恶性肿瘤的囊性平滑肌瘤病例。
Ann Acad Med Singap. 2004 May;33(3):371-4.
10
Ovarian torsion of mixed epithelial tumor misdiagnosed as a malignancy in postmenopausal woman: A case report.绝经后女性混合性上皮肿瘤卵巢扭转误诊为恶性肿瘤:一例报告
Medicine (Baltimore). 2017 Oct;96(40):e8207. doi: 10.1097/MD.0000000000008207.

引用本文的文献

1
Large Myxoid Ovarian Leiomyoma: A Case Report.巨大黏液性卵巢平滑肌瘤:一例报告
Clin Case Rep. 2024 Dec 2;12(12):e9658. doi: 10.1002/ccr3.9658. eCollection 2024 Dec.
2
Case Report: Primary Ovarian Leiomyoma: A Clinical Analysis of Case Series and Literature Review.病例报告:原发性卵巢平滑肌瘤:病例系列临床分析及文献综述
Front Med (Lausanne). 2022 Apr 1;9:822339. doi: 10.3389/fmed.2022.822339. eCollection 2022.
3
Cystic Ovarian Leiomyoma in a Patient with Progressive Abdominal Pain.患者渐进性腹痛的囊性卵巢平滑肌瘤。

本文引用的文献

1
Coexisting leiomyomata peritonealis disseminata and ovarian leiomyoma.并存的腹膜播散性平滑肌瘤和卵巢平滑肌瘤。
J Midlife Health. 2017 Jan-Mar;8(1):45-47. doi: 10.4103/jmh.JMH_96_16.
2
Primary ovarian leiomyoma in a postmenopausal woman: A case report.一名绝经后女性的原发性卵巢平滑肌瘤:病例报告
North Clin Istanb. 2016 Apr 4;3(3):222-224. doi: 10.14744/nci.2015.07379. eCollection 2016.
3
Laparoscopic management of a twisted ovarian leiomyoma in a woman with 10 weeks' gestation: Case report and literature review.妊娠10周女性腹腔镜处理扭转卵巢平滑肌瘤:病例报告及文献复习
Am J Case Rep. 2021 Jun 30;22:e930299. doi: 10.12659/AJCR.930299.
Medicine (Baltimore). 2016 Nov;95(44):e5319. doi: 10.1097/MD.0000000000005319.
4
Torsion of Ovarian Leiomyoma in a Woman With 10 Weeks' Gestation.一名妊娠10周女性的卵巢平滑肌瘤扭转
J Minim Invasive Gynecol. 2015 Nov-Dec;22(6S):S201-S202. doi: 10.1016/j.jmig.2015.08.730. Epub 2015 Oct 15.
5
Gorlin syndrome with an ovarian leiomyoma associated with a PTCH1 second hit.伴有与PTCH1二次打击相关的卵巢平滑肌瘤的戈林综合征。
Am J Med Genet A. 2016 Apr;170A(4):1029-34. doi: 10.1002/ajmg.a.37517. Epub 2016 Jan 18.
6
Primary ovarian leiomyoma in a premenarchal adolescent: first reported case.青春期前少女的原发性卵巢平滑肌瘤:首例报告病例。
J Pediatr Adolesc Gynecol. 2014 Aug;27(4):e87-8. doi: 10.1016/j.jpag.2013.07.011. Epub 2013 Dec 26.
7
The diagnostic and therapeutic approach of a primary bilateral leiomyoma of the ovaries: a case report and a literature review.原发性双侧卵巢平滑肌瘤的诊断和治疗方法:病例报告及文献复习。
Arch Gynecol Obstet. 2011 Jun;283(6):1369-71. doi: 10.1007/s00404-010-1576-0. Epub 2010 Jul 6.
8
Uterine smooth muscle tumors other than the ordinary leiomyomas and leiomyosarcomas: a review of selected variants with emphasis on recent advances and unusual morphology that may cause concern for malignancy.除普通平滑肌瘤和平滑肌肉瘤以外的子宫平滑肌肿瘤:对某些特殊类型的回顾,重点介绍近期的研究进展和可能提示恶性的不常见形态学特征。
Adv Anat Pathol. 2010 Mar;17(2):91-112. doi: 10.1097/PAP.0b013e3181cfb901.
9
Primary ovarian leiomyoma: a rare cause of ovarian tumor in adolescence.原发性卵巢平滑肌瘤:青少年卵巢肿瘤的罕见病因。
J Pediatr Adolesc Gynecol. 2008 Feb;21(1):33-6. doi: 10.1016/j.jpag.2007.07.001.
10
Ovarian leiomyoma in a pregnant woman.一名孕妇的卵巢平滑肌瘤。
Taiwan J Obstet Gynecol. 2007 Sep;46(3):311-3. doi: 10.1016/S1028-4559(08)60044-3.