Suppr超能文献

酸橙皮提取物和富含黄烷酮的二氧化硅纳米颗粒对丙烯酰胺诱导的肝毒性的治疗活性。

Therapeutic activity of sour orange albedo extract and abundant flavanones loaded silica nanoparticles against acrylamide-induced hepatotoxicity.

作者信息

Rizk M Z, Abo-El-Matty D M, Aly H F, Abd-Alla H I, Saleh S M, Younis E A, Elnahrawy A M, Haroun A A

机构信息

Therapeutic Chemistry Department, National Research Centre, Dokki12622, Giza, Egypt.

Biochemistry Department, Faculty of Pharmacy, Suez Canal University, Ismalia, Egypt.

出版信息

Toxicol Rep. 2018 Sep 9;5:929-942. doi: 10.1016/j.toxrep.2018.08.021. eCollection 2018.

Abstract

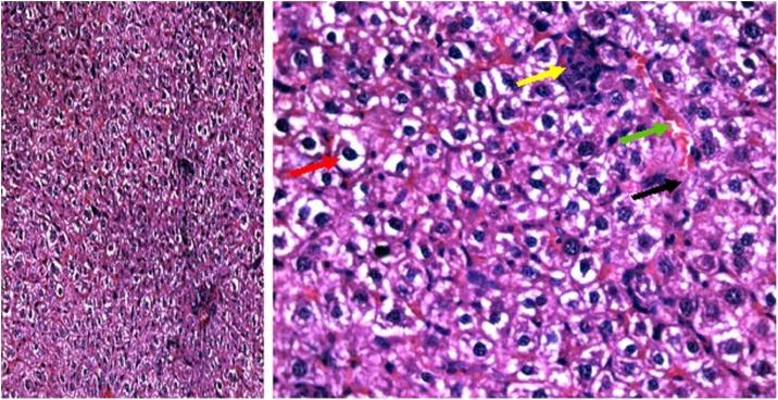
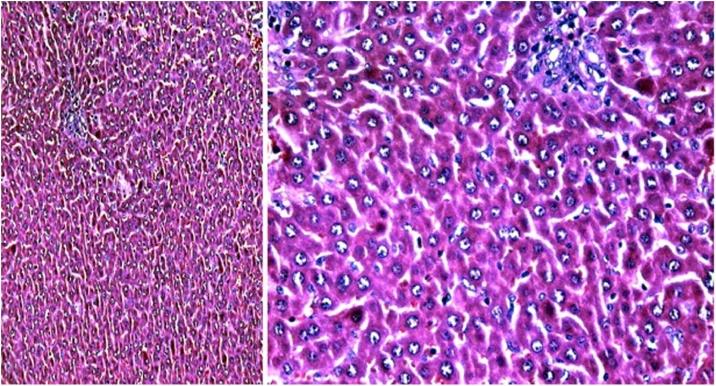
The current research aims to demonstrate the therapeutic effect of sour orange albedo extract (SOAE) and two flavanones loaded-tetraethylorthosilicate (TEOS) using sol-gel technique, in adose100 mg/kg body weight taken orally or45 days against acrylamide (ACR)toxicity in rats. This was achieved through measuring the activities of specific biochemical parameters related to liver functions in tissue of ACR intoxicated rats as compared to normal one. Liver functions included alanine and aspartate aminotransferases, antioxidants and oxidative stress biomarkers; superoxide dismutase, catalase, glutathione and lipid peroxide (malondialdehyde, MDA). Moreover, histological examination of liver was performed to confirm the biochemical findings. The present results clearly indicated disturbances in all biochemical parameters, such as increase in the liver function enzyme activities and MDA level. Results of ATPase enzyme activities revealed significant decrease in ACR intoxicated rats and liver biomarker enzymes declared significant decrease. On the other hand, treatment of intoxicated rats with the previous different nano-particles natural product demonstrated improvement in all biochemical parameters under investigation.

摘要

当前的研究旨在证明酸橙皮提取物(SOAE)和两种负载黄酮的原硅酸四乙酯(TEOS)(采用溶胶-凝胶技术制备)在以100毫克/千克体重口服给药45天的情况下,对大鼠丙烯酰胺(ACR)毒性的治疗效果。这是通过测量与正常大鼠相比,ACR中毒大鼠组织中与肝功能相关的特定生化参数的活性来实现的。肝功能包括丙氨酸和天冬氨酸转氨酶、抗氧化剂和氧化应激生物标志物;超氧化物歧化酶、过氧化氢酶、谷胱甘肽和脂质过氧化物(丙二醛,MDA)。此外,还进行了肝脏组织学检查以证实生化结果。目前的结果清楚地表明所有生化参数都出现了紊乱,如肝功能酶活性和MDA水平升高。ATP酶活性结果显示ACR中毒大鼠显著降低,肝脏生物标志物酶也显著降低。另一方面,用先前不同的纳米颗粒天然产物治疗中毒大鼠,结果显示所研究的所有生化参数都有所改善。

https://cdn.ncbi.nlm.nih.gov/pmc/blobs/f07f/6170219/284a0a368738/ga1.jpg

文献AI研究员

20分钟写一篇综述,助力文献阅读效率提升50倍。

立即体验

用中文搜PubMed

大模型驱动的PubMed中文搜索引擎

马上搜索

文档翻译

学术文献翻译模型,支持多种主流文档格式。

立即体验