Department of Clinical and Molecular Medicine, Faculty of Medicine and Health Sciences, Norwegian University of Science and Technology (NTNU), Trondheim, Norway.
Regional Centre for Child and Youth Mental Health and Child Welfare, Department of Mental Health, Faculty of Medicine and Health Sciences, Norwegian University of Science and Technology (NTNU), Trondheim, Norway.
PLoS One. 2018 Oct 18;13(10):e0205846. doi: 10.1371/journal.pone.0205846. eCollection 2018.
Among clinical challenges regarding human meningiomas is their propensity to recur even in cases with benign histology. Reliable biomarkers that can identify these cases are therefore highly desired. ErbB2/HER2 status is important in the medical management of patients with various human malignancies, whereas its clinical relevance in human meningiomas is ambiguous. For this reason, we wanted to investigate the expression of intra- and extracellular domains of ErbB2/HER2 as well as the level of activated receptor in these tumors. Further, we wanted to elucidate any clinicopathological associations to antibody expression and if gene amplification was present.
In total, 186 human meningiomas of all malignancy grades were included in the study, 163 of these were in tissue microarrays (TMA). Antibody expression was assessed by means of immunohistochemistry (IHC) and gene amplification by fluorescence in situ hybridization (FISH).
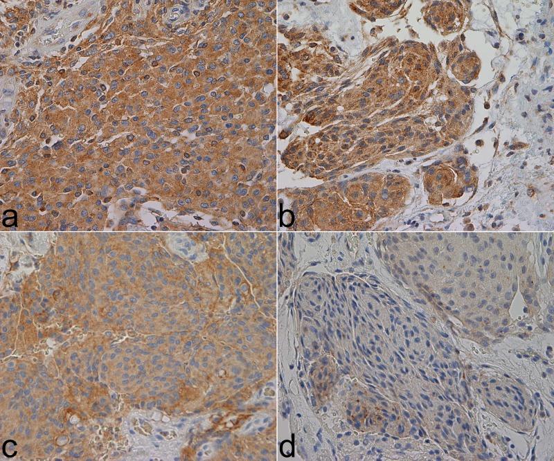
All cases were immunoreactive with antibodies targeting the intracellular domain, whereas about 48% and 11% were positive with antibodies against the extracellular domain and against the activated receptor, respectively. Normal meninges were not immunoreactive. There were no relations to malignancy grade, and only the activated receptor was significantly correlated with increased risk for recurrence or death (time to recurrence: HR 1.568, CI (1.153 to 2.132), p = 0.004). No gene amplification was found.
ErbB2/HER2 is generally upregulated in human meningiomas, but in an activated state only in a few cases. Only the activated receptor is associated with poorer prognosis, a link that needs further investigations.
在人类脑膜瘤的临床挑战中,即使是良性组织学的脑膜瘤也有复发的倾向。因此,非常需要能够识别这些病例的可靠生物标志物。ErbB2/HER2 状态在各种人类恶性肿瘤的治疗管理中很重要,而其在人类脑膜瘤中的临床相关性尚不清楚。出于这个原因,我们想研究 ErbB2/HER2 的细胞内和细胞外结构域的表达以及这些肿瘤中激活受体的水平。此外,我们还想阐明抗体表达与临床病理之间的任何关联,以及是否存在基因扩增。
本研究共纳入 186 例各恶性程度的人类脑膜瘤,其中 163 例为组织微阵列(TMA)。通过免疫组织化学(IHC)评估抗体表达,通过荧光原位杂交(FISH)评估基因扩增。
所有病例均对靶向细胞内结构域的抗体呈免疫反应性,而约 48%和 11%的病例对针对细胞外结构域和激活受体的抗体呈阳性。正常脑膜没有免疫反应性。肿瘤恶性程度与抗体表达之间无相关性,只有激活受体与复发或死亡风险增加显著相关(复发时间:HR 1.568,CI(1.153 至 2.132),p = 0.004)。未发现基因扩增。
ErbB2/HER2 在人类脑膜瘤中普遍上调,但只有少数病例处于激活状态。只有激活受体与预后不良相关,这一关联需要进一步研究。