Suppr超能文献

高与低衰减阈值用于确定磨玻璃密度结节的实性成分。

High versus low attenuation thresholds to determine the solid component of ground-glass opacity nodules.

机构信息

Department of Radiology and the Research Institute of Radiological Science, Gangnam Severance Hospital, Yonsei University college of Medicine, Seoul, Republic of Korea.

Department of Thoracic and Cardiovascular Surgery, Gangnam Severance Hospital, Yonsei University college of Medicine, Seoul, Republic of Korea.

出版信息

PLoS One. 2018 Oct 18;13(10):e0205490. doi: 10.1371/journal.pone.0205490. eCollection 2018.

Abstract

OBJECTIVES

To evaluate and compare the diagnostic accuracy of high versus low attenuation thresholds for determining the solid component of ground-glass opacity nodules (GGNs) for the differential diagnosis of adenocarcinoma in situ (AIS) from minimally invasive adenocarcinoma (MIA) and invasive adenocarcinoma (IA).

METHODS

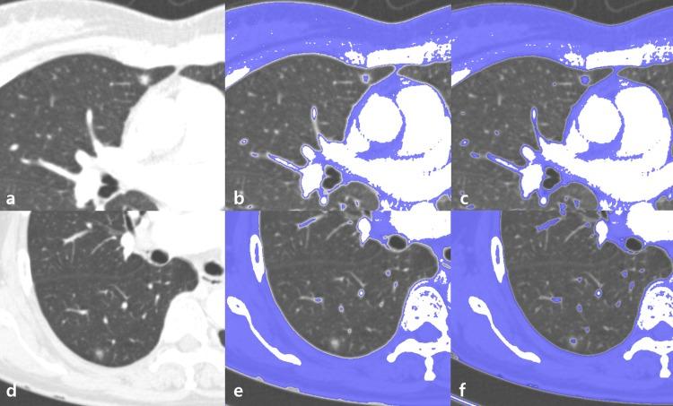
Eighty-six pathologically confirmed GGNs < 3 cm observed in 86 patients (27 male, 59 female; mean age, 59.3 ± 11.0 years) between January 2013 and December 2015 were retrospectively included. The solid component of each GGN was defined using two different attenuation thresholds: high (-160 Hounsfield units [HU]) and low (-400 HU). According to the presence or absence of solid portions, each GGN was categorized as a pure GGN or part-solid GGN. Solid components were regarded as indicators of invasive foci, suggesting MIA or IA.

RESULTS

Among the 86 GGNs, there were 57 cases of IA, 19 of MIA, and 10 of AIS. Using the high attenuation threshold, 44 were categorized as pure GGNs and 42 as part-solid GGNs. Using the low attenuation threshold, 13 were categorized as pure GGNs and 73 as part-solid GGNs. The sensitivity, specificity, positive predictive value, negative predictive value, and diagnostic accuracy for the invasive focus were 55.2%, 100%, 100%, 22.7%, and 60.4%, respectively, for the high attenuation threshold, and 93.4%, 80%, 97.2%, 61.5%, and 91.8%, respectively, for the low attenuation threshold.

CONCLUSION

The low attenuation threshold was better than the conventional high attenuation threshold for determining the solid components of GGNs, which indicate invasive foci.

摘要

目的

评估和比较高衰减阈值与低衰减阈值在确定磨玻璃密度结节(GGN)实性成分方面的诊断准确性,以鉴别原位腺癌(AIS)、微浸润腺癌(MIA)和浸润性腺癌(IA)。

方法

回顾性纳入 2013 年 1 月至 2015 年 12 月期间 86 例患者(男 27 例,女 59 例;平均年龄 59.3±11.0 岁)共 86 个经病理证实的直径<3cm 的 GGN。使用两种不同的衰减阈值(-160 亨氏单位[HU]和-400 HU)来定义 GGN 的实性成分。根据是否存在实性部分,每个 GGN 分为纯 GGN 或部分实性 GGN。实性成分被视为浸润灶的指标,提示为 MIA 或 IA。

结果

在 86 个 GGN 中,IA 有 57 例,MIA 有 19 例,AIS 有 10 例。使用高衰减阈值,44 个 GGN 被归类为纯 GGN,42 个为部分实性 GGN。使用低衰减阈值,13 个 GGN 被归类为纯 GGN,73 个为部分实性 GGN。高衰减阈值时,用于确定浸润灶的敏感性、特异性、阳性预测值、阴性预测值和诊断准确性分别为 55.2%、100%、100%、22.7%和 60.4%;低衰减阈值时,分别为 93.4%、80%、97.2%、61.5%和 91.8%。

结论

低衰减阈值优于传统的高衰减阈值,用于确定 GGN 的实性成分,这些成分提示为浸润灶。

https://cdn.ncbi.nlm.nih.gov/pmc/blobs/8e3d/6193644/6ea171b31635/pone.0205490.g001.jpg

文献AI研究员

20分钟写一篇综述,助力文献阅读效率提升50倍。

立即体验

用中文搜PubMed

大模型驱动的PubMed中文搜索引擎

马上搜索

文档翻译

学术文献翻译模型,支持多种主流文档格式。

立即体验