Suppr超能文献

丹麦成年人群中牙科学对成骨不全症的观点。

The dental perspective on osteogenesis imperfecta in a Danish adult population.

作者信息

Thuesen Kirstine Juhl, Gjørup Hans, Hald Jannie Dahl, Schmidt Malene, Harsløf Torben, Langdahl Bente, Haubek Dorte

机构信息

Section for Pediatric Dentistry, Department of Dentistry and Oral Health, Health, Aarhus University, Vennelyst Boulevard 9, 8000, Aarhus C, Denmark.

Center for Oral Health in Rare Diseases, Department of Maxillofacial Surgery, Aarhus University Hospital, Noerrebrogade 44, 8000, Aarhus C, Denmark.

出版信息

BMC Oral Health. 2018 Oct 24;18(1):175. doi: 10.1186/s12903-018-0639-7.

Abstract

BACKGROUND

To report on dental characteristics and treatment load in Danish adult patients with osteogenesis imperfecta (OI).

METHODS

Oral examination of 73 patients with OI was performed and OI type I, III, and IV were represented by 75.3%, 8.2%, and 16.4%, respectively. Patients were diagnosed as having dentinogenesis imperfecta (DI) if they had clinical and radiological signs of DI. In the data analysis, mild OI (type I) was compared to moderate-severe OI (type III and IV).

RESULTS

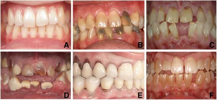
Discoloration of teeth was prevalent in patients with moderate-severe compared to mild OI (83.3% vs. 5.5%, p < 0.001). Cervical constriction and pulpal obliteration were frequent findings in patients with moderate-severe OI (61.1% and 88.9%, respectively), whereas pulp stones and taurodontism were diagnosed in patients with mild OI only (29.1% and 9.1%, respectively). DI was found in 24.7% of OI patients and considerably more frequent in patients with moderate-severe (94.4%) compared to mild OI (1.8%) (p < 0.001). The number of teeth with artificial crowns was significantly higher in patients with moderate-severe OI than in patients with mild OI (median 1.5, range 0-23 vs. median 0, range 0-14) (p < 0.001). The number of teeth with fillings in patients with mild OI was significantly higher than in patients with moderate-severe OI (mean 9.7, SD 5.1, median 9.0, range 1-21 vs. mean 5.0, SD 4.4, median 4.0, range 0-16) (p < 0.001).

CONCLUSIONS

One fourth of patients with OI had DI, and the vast majority of them had moderate-severe OI. Whereas discoloration of teeth, cervical constriction and pulp obliteration were frequent findings in patients with moderate-severe OI, pulp stones and taurodontism were found in patients with mild OI only. In patients with moderate-severe OI, the dental treatment load was dominated by prosthetic treatment, whereas restorative treatment with fillings was more prevalent in patients with mild OI.

摘要

背景

报告丹麦成年成骨不全症(OI)患者的牙齿特征和治疗负担。

方法

对73例OI患者进行口腔检查,其中I型、III型和IV型OI分别占75.3%、8.2%和16.4%。如果患者有牙本质发育不全(DI)的临床和放射学体征,则诊断为患有DI。在数据分析中,将轻度OI(I型)与中度至重度OI(III型和IV型)进行比较。

结果

与轻度OI患者相比,中度至重度OI患者牙齿变色更为普遍(83.3%对5.5%,p < 0.001)。中度至重度OI患者经常出现颈部缩窄和牙髓闭锁(分别为61.1%和88.9%),而牙髓石和牛牙症仅在轻度OI患者中诊断出(分别为29.1%和9.1%)。24.7%的OI患者患有DI,与轻度OI患者(1.8%)相比,中度至重度OI患者中DI更为常见(94.4%)(p < 0.001)。中度至重度OI患者有人造冠的牙齿数量明显高于轻度OI患者(中位数1.5,范围0 - 23对中位数0,范围0 - 14)(p < 0.001)。轻度OI患者有补牙的牙齿数量明显高于中度至重度OI患者(均值9.7,标准差5.1,中位数9.0,范围1 - 21对均值5.0,标准差4.4,中位数4.0,范围0 - 16)(p < 0.001)。

结论

四分之一的OI患者患有DI,其中绝大多数为中度至重度OI。中度至重度OI患者经常出现牙齿变色、颈部缩窄和牙髓闭锁,而牙髓石和牛牙症仅在轻度OI患者中发现。在中度至重度OI患者中,牙科治疗负担以修复治疗为主,而在轻度OI患者中,补牙的修复治疗更为普遍。

https://cdn.ncbi.nlm.nih.gov/pmc/blobs/0baa/6201594/03a7cca732ed/12903_2018_639_Fig1_HTML.jpg

文献AI研究员

20分钟写一篇综述,助力文献阅读效率提升50倍。

立即体验

用中文搜PubMed

大模型驱动的PubMed中文搜索引擎

马上搜索

文档翻译

学术文献翻译模型,支持多种主流文档格式。

立即体验