Tan Sukmawati Tansil, Ghaznawie Mahmud, Heenan Peter J, Dosan Ricky
Department of Dermatovenereology, Faculty of Medicine, Tarumanagara University, Jakarta, Indonesia.
Department of Pathology, Faculty of Medicine, Hasanuddin University, Makassar, Indonesia.
J Oncol. 2018 Sep 26;2018:3098940. doi: 10.1155/2018/3098940. eCollection 2018.
BCC is currently the most common type of skin cancer in humans. Although having a low-grade malignancy and metastatic potential, BCC is locally aggressive and destructive. Despite numerous studies, the origin of BCC, whether arising from the follicular or interfollicular layer, remains controversial.
This study aims to evaluate whether BCC arises from the follicular or interfollicular layer by using immunohistochemical staining.
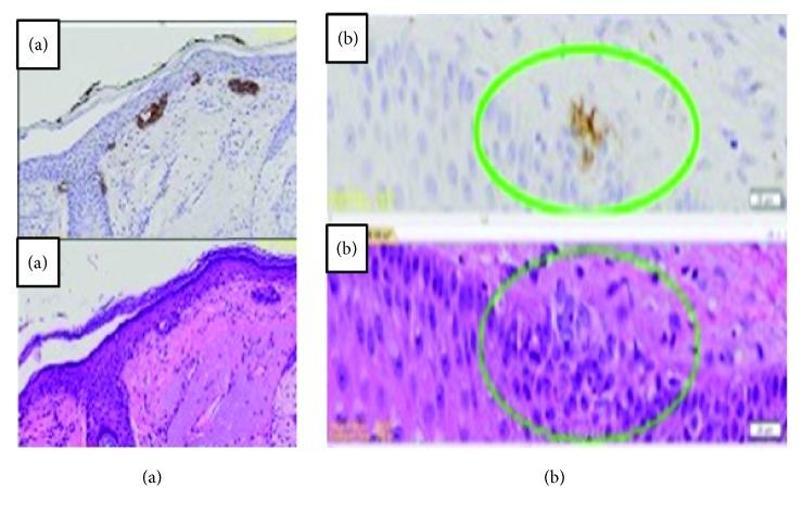
Twenty-three specimens of superficial and nodular BCC at its very early stage were examined. The samples were immunohistochemically stained using BerEP4 antibody. The stained specimens were then examined and scored by 2 independent observers.
BerEP4 was found to be strongly positive in all BCC lesions, including a very early lesions budding off the basal layer of the epidermis.
This study confirmed that the origin site of BCC is basal layer of epidermis. This finding suggests that BCC arises from the interfollicular epidermis.
基底细胞癌(BCC)是目前人类最常见的皮肤癌类型。尽管其恶性程度低且转移潜能有限,但BCC具有局部侵袭性和破坏性。尽管进行了大量研究,但BCC的起源,无论是来自毛囊层还是毛囊间层,仍存在争议。
本研究旨在通过免疫组织化学染色评估BCC是起源于毛囊层还是毛囊间层。
检查了23例极早期浅表性和结节性BCC标本。使用BerEP4抗体对样本进行免疫组织化学染色。然后由2名独立观察者对染色标本进行检查和评分。
发现BerEP4在所有BCC病变中均呈强阳性,包括从表皮基底层萌出的极早期病变。
本研究证实BCC的起源部位是表皮基底层。这一发现表明BCC起源于毛囊间表皮。