Suppr超能文献

单光子金属伪影减少技术在检测嵌顿胶囊内镜中的应用

Use of single photon metal artefact reduction in the detection of an impacted capsule endoscope.

作者信息

Zhou Kevin Z, Khor Robert, Lau Kenneth K

机构信息

Department of Diagnostic Imaging, Monash Medical Centre, Monash Health, Melbourne, VIC, Australia.

School of Clinical Sciences, Faculty of Medicine, Nursing and Health Sciences, Monash University, Clayton, VIC, Australia.

出版信息

BJR Case Rep. 2017 Aug 4;3(4):20170050. doi: 10.1259/bjrcr.20170050. eCollection 2017.

Abstract

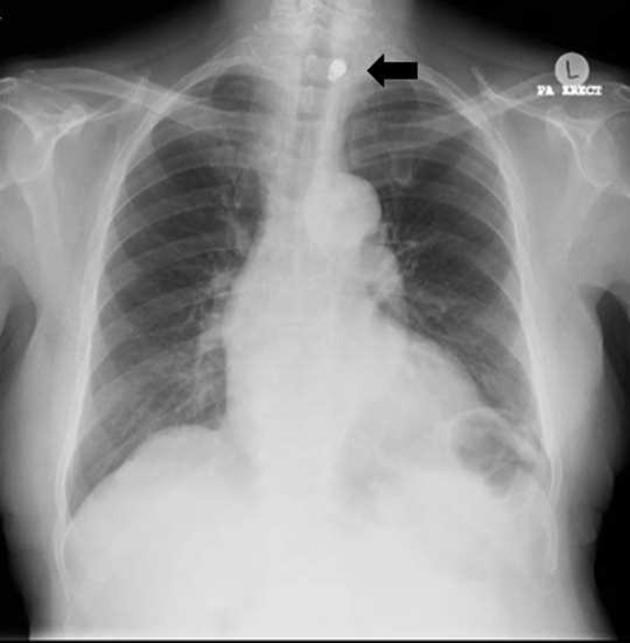
Wireless capsule endoscopy was introduced over a decade ago and is now a widely used tool in the investigation of gastrointestinal pathologies. Despite its ubiquity, the full profile of indications, contraindications and complications is still being developed. Metal artefact reduction is a software technique which can significantly reduce the artefact produced by metallic objects on CT scans. This case exemplifies a rare but noteworthy complication of capsule endoscopy and highlights a novel application of metal artefact reduction.

摘要

无线胶囊内镜在十多年前就已问世,如今已成为胃肠道疾病检查中广泛使用的工具。尽管其应用广泛,但关于其适应症、禁忌症和并发症的全貌仍在不断完善中。金属伪影减少是一种软件技术,可显著减少CT扫描中金属物体产生的伪影。本病例例证了胶囊内镜一种罕见但值得注意的并发症,并突出了金属伪影减少的一种新应用。

https://cdn.ncbi.nlm.nih.gov/pmc/blobs/2fef/6159178/9dce9468c311/bjrcr.20170050.g001.jpg

文献AI研究员

20分钟写一篇综述,助力文献阅读效率提升50倍。

立即体验

用中文搜PubMed

大模型驱动的PubMed中文搜索引擎

马上搜索

文档翻译

学术文献翻译模型,支持多种主流文档格式。

立即体验