Suppr超能文献

一名成年男性的症状性尾肠重复囊肿(直肠后囊性错构瘤)病例。

A case of symptomatic tailgut duplication cyst(retro-rectal cystic hamartoma) in an adult male.

作者信息

Sarkar Koushik, Kabiraj Pranay, Deoghuria Debasis, Bardhan Jayati

机构信息

Department of Radiodiagnosis, Bankura Sammilani MedicalCollege, Bankura, West Bengal.

出版信息

BJR Case Rep. 2017 Jun 22;3(4):20150422. doi: 10.1259/bjrcr.20150422. eCollection 2017.

Abstract

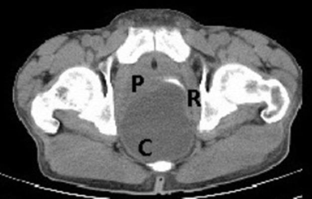
Tailgut duplication cyst (retro-rectal cystic hamartoma) is a rare congenital developmental lesion arising from post-natal primitive gut remnants. Tailgut cysts are found more commonly in middle-aged females. It may be asymptomatic or symptomatic in complicated cases. Major differentials include epidermoid cyst, dermoid cyst and anterior meningocele. Unfortunately no radiological sign can specifically diagnose it and surgical resection and histopathology remain the cornerstone for diagnosis. Here we present a case of symptomatic tailgut duplication cyst in an adult male.

摘要

尾肠重复囊肿(直肠后囊性错构瘤)是一种罕见的先天性发育性病变,由出生后原始肠管残余物引起。尾肠囊肿在中年女性中更为常见。它可能无症状,也可能在复杂病例中有症状。主要鉴别诊断包括表皮样囊肿、皮样囊肿和前脑膨出。不幸的是,没有影像学征象能特异性诊断该病,手术切除和组织病理学检查仍是诊断的基石。在此,我们报告一例成年男性有症状的尾肠重复囊肿病例。

https://cdn.ncbi.nlm.nih.gov/pmc/blobs/d0ea/6159174/4adf9f0af934/bjrcr.20150422.g001.jpg

相似文献

1
A case of symptomatic tailgut duplication cyst(retro-rectal cystic hamartoma) in an adult male.
BJR Case Rep. 2017 Jun 22;3(4):20150422. doi: 10.1259/bjrcr.20150422. eCollection 2017.
3
A Rare Presentation of Lower Back Swelling as Tailgut Cyst.
Niger J Surg. 2016 Jul-Dec;22(2):134-137. doi: 10.4103/1117-6806.189023.
4
A rare malformation of the alimentary tract, tailgut cyst : a case report.
Acta Gastroenterol Belg. 2018 Oct-Dec;81(4):528-530.
5
Retrorectal cyst hamartoma (tailgut cyst) with malignant transformation.
Gynecol Oncol. 2007 Apr;105(1):266-8. doi: 10.1016/j.ygyno.2007.01.008. Epub 2007 Feb 15.
7
Tailgut cyst: report of three cases and review of the literature.
Acta Chir Belg. 2019 Apr;119(2):110-117. doi: 10.1080/00015458.2017.1353758. Epub 2019 Feb 18.
8
Tailgut cyst associated with a carcinoid tumor: case report and review of the literature.
Histol Histopathol. 2005 Oct;20(4):1065-9. doi: 10.14670/HH-20.1065.
9
Cystic lesions of the retrorectal space.
Histopathology. 2023 Jan;82(2):232-241. doi: 10.1111/his.14769. Epub 2022 Aug 24.
10
Giant presacral tailgut cyst mimicking rectal duplication in a girl: report of a pediatric case.
European J Pediatr Surg Rep. 2013 Jun;1(1):51-3. doi: 10.1055/s-0033-1337112. Epub 2013 Mar 8.

引用本文的文献

1
Malignant transformation of tailgut cyst to squamous cell carcinoma, a rare case with poor outcome.
Clin Case Rep. 2023 Feb 5;11(2):e6893. doi: 10.1002/ccr3.6893. eCollection 2023 Feb.
2
Tailgut Cysts with Malignant Transformation: Features, Diagnosis, and Treatment.
Med Sci Monit. 2020 Jan 11;26:e919803. doi: 10.12659/MSM.919803.

本文引用的文献

1
Retrorectal cyst-hamartomas and sacral dysplasia: MR appearance.
AJNR Am J Neuroradiol. 1998 Jun-Jul;19(6):1043-5.
2
Tailgut cyst with malignancy: MR imaging findings.
AJR Am J Roentgenol. 1998 Jun;170(6):1488-90. doi: 10.2214/ajr.170.6.9609159.
3
Parasacrococcygeal approach for the resection of retrorectal developmental cysts.
Dis Colon Rectum. 1985 Nov;28(11):855-8. doi: 10.1007/BF02555492.
5
Rectal duplications.
J Pediatr Surg. 1990 Sep;25(9):980-4. doi: 10.1016/0022-3468(90)90242-2.

文献AI研究员

20分钟写一篇综述,助力文献阅读效率提升50倍。

立即体验

用中文搜PubMed

大模型驱动的PubMed中文搜索引擎

马上搜索

文档翻译

学术文献翻译模型,支持多种主流文档格式。

立即体验