Suppr超能文献

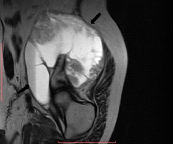
右侧髂骨翼巨大软骨黏液样纤维瘤伴广泛软组织浸润。

Huge chondromyxoid fibroma of the right iliac wing with tremendous soft tissue extensions.

作者信息

Ali Hosameldeen Mostafa

机构信息

Department of Radiology, Benha University, Benha, Egypt.

出版信息

BJR Case Rep. 2017 Oct 21;4(1):20170014. doi: 10.1259/bjrcr.20170014. eCollection 2018.

Abstract

This report describes a huge chondromyxoid fibroma (CMF) that developed in the right iliac crest and wing. The tumour is rare, perhaps the rarest of all bone tumours, and its occurrence in the iliac crest and wing of a 63-year-old male is extraordinarily uncommon. The patient complained of gradual onset of right groin pain over a period of more than 2 years and low back pain and tender swelling of the right gluteal region over a period of another 1 year. Conventional radiography of the lumbar spine and pelvis revealed a large osteolytic lesion of the right iliac crest and wing associated with mild levoscoliosis. MRI of the pelvis revealed a huge well-defined lesion arising from the right iliac crest and wing and extending to the right paraspinal region, false pelvis and right gluteal region and displacing rather than invading the surrounding structures. The patient underwent surgery, and the mass was totally removed. The clinical manifestations, imaging findings and surgical treatment of the lesion are discussed.

摘要

本报告描述了一例发生于右髂嵴和髂骨翼的巨大软骨黏液样纤维瘤(CMF)。该肿瘤较为罕见,可能是所有骨肿瘤中最罕见的,其发生在一名63岁男性的髂嵴和髂骨翼极为少见。患者诉说在超过2年的时间里右腹股沟疼痛逐渐出现,在另外1年的时间里出现下背部疼痛以及右臀区域压痛性肿胀。腰椎和骨盆的传统X线摄影显示右髂嵴和髂骨翼有一个大的溶骨性病变,伴有轻度左旋脊柱侧弯。骨盆MRI显示一个巨大的边界清晰的病变,起源于右髂嵴和髂骨翼,延伸至右椎旁区域、假骨盆和右臀区域,推移而非侵犯周围结构。患者接受了手术,肿物被完全切除。本文讨论了该病变的临床表现、影像学表现及手术治疗。

https://cdn.ncbi.nlm.nih.gov/pmc/blobs/4174/6159151/c78c3f22ad40/bjrcr.20170014.g001.jpg

相似文献

1
Huge chondromyxoid fibroma of the right iliac wing with tremendous soft tissue extensions.
BJR Case Rep. 2017 Oct 21;4(1):20170014. doi: 10.1259/bjrcr.20170014. eCollection 2018.
3
Benign Chondromyxoid Fibroma of the Iliac Crest.
J Orthop Sports Phys Ther. 2018 Feb;48(2):122. doi: 10.2519/jospt.2018.7551.
4
Desmoplastic fibroma of the ilium.
Int J Surg Case Rep. 2013;4(10):875-8. doi: 10.1016/j.ijscr.2013.06.016. Epub 2013 Jul 17.
5
Eruption of a venous malformation through an iliac bone harvesting site after trauma.
Arch Plast Surg. 2018 Nov;45(6):588-592. doi: 10.5999/aps.2017.01550. Epub 2018 Nov 15.
6
Spinal chondromyxoid fibroma of C2.
J Clin Neurosci. 2006 Jan;13(1):140-6. doi: 10.1016/j.jocn.2005.03.022.
9
Chondromyxoid fibroma of bone presenting as chronic back pain.
J Manipulative Physiol Ther. 1998 Oct;21(8):564-7.
10
Chondromyxoid fibroma of the sacrum: A case report and literature review.
Surg Neurol Int. 2016 May 17;7(Suppl 13):S370-4. doi: 10.4103/2152-7806.182547. eCollection 2016.

引用本文的文献

1
Chondromyxoid fibroma of the iliac bone: a brief radiological review.
BMJ Case Rep. 2022 Nov 29;15(11):e251363. doi: 10.1136/bcr-2022-251363.

本文引用的文献

2
Clinical usefulness of thallium-201 scintigraphy and magnetic resonance imaging in the diagnosis of chondromyxoid fibroma.
Ann Nucl Med. 2008 Apr;22(3):221-4. doi: 10.1007/s12149-007-0102-3. Epub 2008 May 23.
3
Chondromyxoid fibroma.
J Foot Ankle Surg. 2008 Mar-Apr;47(2):153-9. doi: 10.1053/j.jfas.2007.08.013. Epub 2007 Nov 19.
4
Imaging and differential diagnosis of primary bone tumors and tumor-like lesions of the spine.
Eur J Radiol. 2006 Apr;58(1):48-67. doi: 10.1016/j.ejrad.2005.12.006. Epub 2006 Jan 20.
5
From the archives of the AFIP: imaging of primary chondrosarcoma: radiologic-pathologic correlation.
Radiographics. 2003 Sep-Oct;23(5):1245-78. doi: 10.1148/rg.235035134.
6
Chondromyxoid fibroma of the metacarpal.
Skeletal Radiol. 2001 Dec;30(12):719-21. doi: 10.1007/s002560100428. Epub 2001 Sep 29.
7
Chondromyxoid fibroma of bone.
Arch Orthop Trauma Surg. 2000;120(1-2):42-7. doi: 10.1007/pl00021214.
8
Chondromyxoid fibroma of bone: a clinicopathologic review of 278 cases.
Hum Pathol. 1998 May;29(5):438-46. doi: 10.1016/s0046-8177(98)90058-2.
9
Magnetic resonance imaging of chondromyxoid fibroma of the fibula.
Eur J Radiol. 1994 Aug;18(3):210-1. doi: 10.1016/0720-048x(94)90336-0.
10
Chondromyxoid fibroma. The experience at the Istituto Ortopedico Rizzoli.
J Bone Joint Surg Am. 1983 Feb;65(2):198-204. doi: 10.2106/00004623-198365020-00008.

文献AI研究员

20分钟写一篇综述,助力文献阅读效率提升50倍。

立即体验

用中文搜PubMed

大模型驱动的PubMed中文搜索引擎

马上搜索

文档翻译

学术文献翻译模型,支持多种主流文档格式。

立即体验