Suppr超能文献

女性下生殖道浅表性肌成纤维细胞瘤及其MRI特征描述

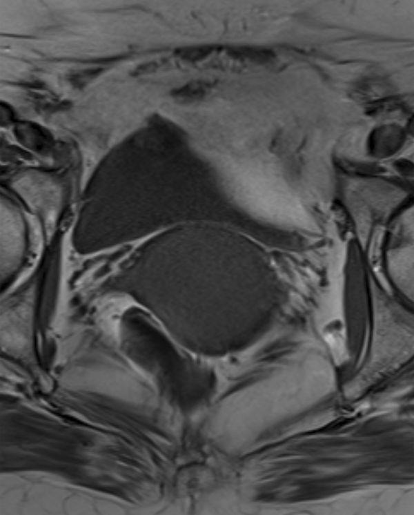
Superficial myofibroblastoma of the lower female genital tract with description of the MRI features.

作者信息

Smith Sarah Ann, Doyle Victoria, Rutherford Elizabeth, Elliot Victoria, Blaquiere Richard Murray

机构信息

Department of Radiology, University Hospital Southampton NHS Foundation Trust, Southampton, UK.

Department of Pathology, University Hospital Southampton NHS Foundation Trust, Southampton, UK.

出版信息

BJR Case Rep. 2016 Sep 2;3(1):20160052. doi: 10.1259/bjrcr.20160052. eCollection 2017.

Abstract

Superficial myofibroblastomas of the lower female genital tract are an unusual type of benign mesenchymal tumour. To the authors' knowledge, there has been no previous imaging description of a superficial myofibroblastoma in the literature. Here, we describe a case that presented with symptoms consistent with vaginal prolapse. However, a mass was palpable on clinical examination with unusual features on MRI. Following surgery, the histopathological features were considered consistent with superficial myofibroblastoma. By presenting the MRI and histological findings, we aim to raise awareness about this lesion so that it may be considered in the differential diagnosis of a vaginal mass.

摘要

女性下生殖道浅表肌成纤维细胞瘤是一种罕见的良性间叶性肿瘤。据作者所知,此前文献中尚无关于浅表肌成纤维细胞瘤的影像学描述。在此,我们描述一例表现出与阴道脱垂相符症状的病例。然而,临床检查可触及肿物,MRI表现具有异常特征。手术后,组织病理学特征被认为符合浅表肌成纤维细胞瘤。通过展示MRI和组织学检查结果,我们旨在提高对该病变的认识,以便在阴道肿物的鉴别诊断中考虑到它。

https://cdn.ncbi.nlm.nih.gov/pmc/blobs/52f1/6159299/340975a201ac/bjrcr.20160052.g001.jpg

相似文献

1
Superficial myofibroblastoma of the lower female genital tract with description of the MRI features.
BJR Case Rep. 2016 Sep 2;3(1):20160052. doi: 10.1259/bjrcr.20160052. eCollection 2017.
2
Superficial myofibroblastoma of the vagina with a stalk: case report of a rare vaginal tumor with notable radiological findings.
Radiol Case Rep. 2021 Oct 2;16(12):3690-3694. doi: 10.1016/j.radcr.2021.08.064. eCollection 2021 Dec.
3
Superficial myofibroblastoma of the genital tract: a case report of the imaging findings.
BJR Case Rep. 2018 Aug 11;5(1):20180057. doi: 10.1259/bjrcr.20180057. eCollection 2019 Feb.
4
Case report: Superficial cervicovaginal myofibroblastoma of the cervix with endometrial carcinoma.
Front Med (Lausanne). 2023 Apr 4;10:1160273. doi: 10.3389/fmed.2023.1160273. eCollection 2023.
5
6
Cervical superficial myofibroblastoma: Case report and review of the literature.
SAGE Open Med Case Rep. 2017 Sep 4;5:2050313X17726936. doi: 10.1177/2050313X17726936. eCollection 2017.
9
A giant superficial myofibroblastoma involving the vagina and pelvis: A case report and review of the literature.
Radiol Case Rep. 2023 Mar 7;18(5):1862-1867. doi: 10.1016/j.radcr.2023.02.018. eCollection 2023 May.

引用本文的文献

1
A giant superficial myofibroblastoma involving the vagina and pelvis: A case report and review of the literature.
Radiol Case Rep. 2023 Mar 7;18(5):1862-1867. doi: 10.1016/j.radcr.2023.02.018. eCollection 2023 May.
2
3
Superficial myofibroblastoma of the vagina with a stalk: case report of a rare vaginal tumor with notable radiological findings.
Radiol Case Rep. 2021 Oct 2;16(12):3690-3694. doi: 10.1016/j.radcr.2021.08.064. eCollection 2021 Dec.

本文引用的文献

2
Large paravaginal angiomyofibroblastoma: magnetic resonance imaging findings.
Jpn J Radiol. 2011 Feb;29(2):152-5. doi: 10.1007/s11604-010-0512-3. Epub 2011 Feb 27.
3
Angiomyofibroblastoma of the spermatic cord: a case report.
J Med Case Rep. 2010 Mar 4;4:79. doi: 10.1186/1752-1947-4-79.
4
Recent developments in vulvovaginal pathology.
Histopathology. 2009 Jan;54(2):156-73. doi: 10.1111/j.1365-2559.2008.03098.x.
5
MR imaging features of vaginal malignancies.
Radiographics. 2008 Jan-Feb;28(1):49-63; quiz 322. doi: 10.1148/rg.281075065.
6
Superficial cervico-vaginal myofibroblastoma: a report of five cases.
Pathology. 2005 Apr;37(2):144-8. doi: 10.1080/00313020500058284.
8
Synovial sarcoma in pediatric patients.
AJR Am J Roentgenol. 2002 Sep;179(3):797-801. doi: 10.2214/ajr.179.3.1790797.
9
MR imaging of uterine sarcomas.
AJR Am J Roentgenol. 2001 Dec;177(6):1307-11. doi: 10.2214/ajr.177.6.1771307.

文献AI研究员

20分钟写一篇综述,助力文献阅读效率提升50倍。

立即体验

用中文搜PubMed

大模型驱动的PubMed中文搜索引擎

马上搜索

文档翻译

学术文献翻译模型,支持多种主流文档格式。

立即体验