Suppr超能文献

宫颈浅表性肌纤维母细胞瘤:病例报告及文献复习

Cervical superficial myofibroblastoma: Case report and review of the literature.

作者信息

Abdelaziz Mohamed, Eziba Noura, Sharma Suash, Kleven Daniel, Al-Hendy Ayman

机构信息

Department of Obstetrics & Gynecology, Augusta University, Augusta, GA, USA.

Department of Obstetrics and Gynecology, Mansoura Faculty of Medicine, Mansoura University Hospital, Mansoura, Egypt.

出版信息

SAGE Open Med Case Rep. 2017 Sep 4;5:2050313X17726936. doi: 10.1177/2050313X17726936. eCollection 2017.

Abstract

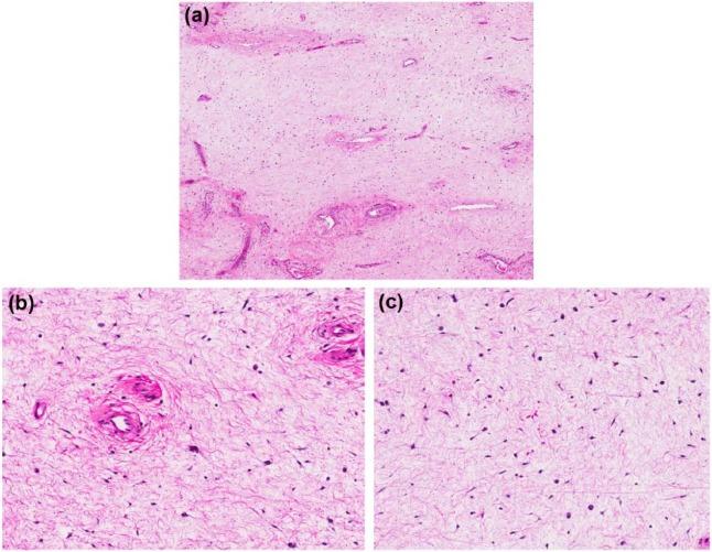
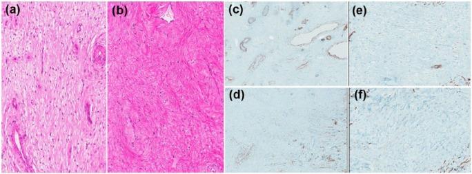
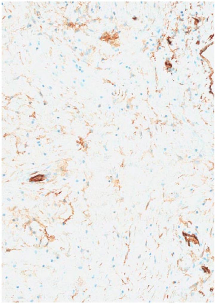
Superficial myofibroblastoma of the lower female genital tract is a rare benign, recently recognized neoplasm that mostly affects the vulvovaginal area. Our report discusses a case of cervical superficial myofibroblastoma of the lower female genital tract in a 45-year-old patient who is presented with menometrorrhagia. On examination, she had multiple uterine fibroids and a circumscribed submucosal mass lesion involving the anterior lip of cervix. At hysterectomy, histopathological examination of the cervical mass revealed a relatively hypocellular tumor consisted of bland spindled and stellate cells. An immunohistochemistry evaluation revealed reactivity for CD34, desmin, and smooth muscle actin. This neoplasm should be included in the differential diagnosis of cervical mass lesions. This tumor also needs to be differentiated from other mesenchymal lesions of lower female genital tract.

摘要

女性下生殖道浅表性肌成纤维细胞瘤是一种罕见的良性肿瘤,最近才被认识,主要累及外阴阴道区域。我们的报告讨论了一例45岁女性下生殖道宫颈浅表性肌成纤维细胞瘤病例,该患者表现为月经过多。检查时,她有多个子宫肌瘤以及一个累及宫颈前唇的局限性黏膜下肿块病变。子宫切除术中,宫颈肿块的组织病理学检查显示为一个细胞相对较少的肿瘤,由温和的梭形细胞和星状细胞组成。免疫组织化学评估显示对CD34、结蛋白和平滑肌肌动蛋白呈阳性反应。该肿瘤应列入宫颈肿块病变的鉴别诊断。此肿瘤还需要与女性下生殖道的其他间质性病变相鉴别。

https://cdn.ncbi.nlm.nih.gov/pmc/blobs/128b/5588789/c1a32488e871/10.1177_2050313X17726936-fig1.jpg

相似文献

1
Cervical superficial myofibroblastoma: Case report and review of the literature.
SAGE Open Med Case Rep. 2017 Sep 4;5:2050313X17726936. doi: 10.1177/2050313X17726936. eCollection 2017.
4
Case report: Superficial cervicovaginal myofibroblastoma of the cervix with endometrial carcinoma.
Front Med (Lausanne). 2023 Apr 4;10:1160273. doi: 10.3389/fmed.2023.1160273. eCollection 2023.
6
Superficial myofibroblastoma of the lower female genital tract: A clinicopathological analysis of 15 cases.
Ann Diagn Pathol. 2022 Oct;60:152010. doi: 10.1016/j.anndiagpath.2022.152010. Epub 2022 Jul 22.
7
Extramammary myofibroblastoma of the oral cavity.
J Cutan Pathol. 2023 Apr;50(4):326-329. doi: 10.1111/cup.14343. Epub 2022 Nov 4.
8
9
Superficial myofibroblastoma of the vagina with a stalk: case report of a rare vaginal tumor with notable radiological findings.
Radiol Case Rep. 2021 Oct 2;16(12):3690-3694. doi: 10.1016/j.radcr.2021.08.064. eCollection 2021 Dec.
10
Superficial myofibroblastoma of the lower female genital tract with description of the MRI features.
BJR Case Rep. 2016 Sep 2;3(1):20160052. doi: 10.1259/bjrcr.20160052. eCollection 2017.

引用本文的文献

1
Cervical Superficial Myofibroblastoma Presenting as a Polyp: A Rare Benign Entity.
J Midlife Health. 2024 Oct-Dec;15(4):306-308. doi: 10.4103/jmh.jmh_159_24. Epub 2025 Jan 2.
2
A giant superficial myofibroblastoma involving the vagina and pelvis: A case report and review of the literature.
Radiol Case Rep. 2023 Mar 7;18(5):1862-1867. doi: 10.1016/j.radcr.2023.02.018. eCollection 2023 May.
3
4
A rare case of vulvar superficial myofibroblastoma associated with ambigous and unusual differential diagnosis.
Gynecol Oncol Rep. 2020 Sep 6;34:100637. doi: 10.1016/j.gore.2020.100637. eCollection 2020 Nov.

本文引用的文献

4
6
Vulvar mammary-type myofibroblastoma: a case report.
J Reprod Med. 2009 Jun;54(6):404-6.
7
Superficial myofibroblastoma of the lower female genital tract: first case report of a pregnant patient.
J Obstet Gynaecol. 2008 Aug;28(6):657-8. doi: 10.1080/01443610802421668.
8
Recent developments in vulvovaginal pathology.
Histopathology. 2009 Jan;54(2):156-73. doi: 10.1111/j.1365-2559.2008.03098.x.
10
Superficial cervico-vaginal myofibroblastoma: a report of five cases.
Pathology. 2005 Apr;37(2):144-8. doi: 10.1080/00313020500058284.

文献AI研究员

20分钟写一篇综述,助力文献阅读效率提升50倍。

立即体验

用中文搜PubMed

大模型驱动的PubMed中文搜索引擎

马上搜索

文档翻译

学术文献翻译模型,支持多种主流文档格式。

立即体验