• 文献检索
  • 文档翻译
  • 深度研究
  • 学术资讯
  • Suppr Zotero 插件Zotero 插件
  • 邀请有礼
  • 套餐&价格
  • 历史记录
应用&插件
Suppr Zotero 插件Zotero 插件浏览器插件Mac 客户端Windows 客户端微信小程序
定价
高级版会员购买积分包购买API积分包
服务
文献检索文档翻译深度研究API 文档MCP 服务
关于我们
关于 Suppr公司介绍联系我们用户协议隐私条款
关注我们

Suppr 超能文献

核心技术专利:CN118964589B侵权必究
粤ICP备2023148730 号-1Suppr @ 2026

文献检索

告别复杂PubMed语法,用中文像聊天一样搜索,搜遍4000万医学文献。AI智能推荐,让科研检索更轻松。

立即免费搜索

文件翻译

保留排版,准确专业,支持PDF/Word/PPT等文件格式,支持 12+语言互译。

免费翻译文档

深度研究

AI帮你快速写综述,25分钟生成高质量综述,智能提取关键信息,辅助科研写作。

立即免费体验

大网膜恶性神经鞘瘤与“网膜血管蒂征”

Malignant nerve sheath tumour of omentum and the "omental vascular pedicle sign".

作者信息

Chauhan Udit, Udiya Alok Kumar, Prabhu Shailesh M, Shetty Gurucharan S

机构信息

Department of Radiodiagnosis, Lady Hardinge Medical College, New Delhi, India.

出版信息

BJR Case Rep. 2016 Jan 15;2(2):20150037. doi: 10.1259/bjrcr.20150037. eCollection 2016.

DOI:10.1259/bjrcr.20150037
PMID:30363546
原文链接:https://pmc.ncbi.nlm.nih.gov/articles/PMC6180867/
Abstract

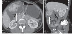
Primary malignant peripheral nerve sheath tumour (MPNST) is an uncommon malignant tumour that arises from the peripheral nerves. Most of these tumours arise in the regions of the trunk, head and neck, or extremities and are rarely seen in the abdomen. In this report, we describe a case of MPNST of the greater omentum, which, to the best of our knowledge, is only the second case reported in the literature. MPNST is an uncommon tumour that can show local invasion and has a high risk of recurrence. We also discuss the utility of "omental vascular pedicle sign" to help establish the omental origin of intra-abdominal masses.

摘要

原发性恶性外周神经鞘瘤(MPNST)是一种罕见的起源于外周神经的恶性肿瘤。这些肿瘤大多发生于躯干、头颈部或四肢,很少见于腹部。在本报告中,我们描述了一例大网膜MPNST,据我们所知,这是文献中报道的第二例。MPNST是一种罕见的肿瘤,可表现为局部浸润且复发风险高。我们还讨论了“网膜血管蒂征”在帮助确定腹腔内肿块网膜起源方面的作用。

https://cdn.ncbi.nlm.nih.gov/pmc/blobs/cbc8/6180867/8766b731a59d/bjrcr.20150037.g003.jpg
https://cdn.ncbi.nlm.nih.gov/pmc/blobs/cbc8/6180867/00b48586b73d/bjrcr.20150037.g001.jpg
https://cdn.ncbi.nlm.nih.gov/pmc/blobs/cbc8/6180867/41472895f667/bjrcr.20150037.g002.jpg
https://cdn.ncbi.nlm.nih.gov/pmc/blobs/cbc8/6180867/8766b731a59d/bjrcr.20150037.g003.jpg
https://cdn.ncbi.nlm.nih.gov/pmc/blobs/cbc8/6180867/00b48586b73d/bjrcr.20150037.g001.jpg
https://cdn.ncbi.nlm.nih.gov/pmc/blobs/cbc8/6180867/41472895f667/bjrcr.20150037.g002.jpg
https://cdn.ncbi.nlm.nih.gov/pmc/blobs/cbc8/6180867/8766b731a59d/bjrcr.20150037.g003.jpg

相似文献

1
Malignant nerve sheath tumour of omentum and the "omental vascular pedicle sign".大网膜恶性神经鞘瘤与“网膜血管蒂征”
BJR Case Rep. 2016 Jan 15;2(2):20150037. doi: 10.1259/bjrcr.20150037. eCollection 2016.
2
Malignant peripheral nerve sheath tumor arising from the greater omentum: case report.来源于大网膜的恶性外周神经鞘瘤:病例报告。
World J Surg Oncol. 2011 Mar 21;9:33. doi: 10.1186/1477-7819-9-33.
3
Omental caking: a rare manifestation of malignant peripheral nerve sheath tumour.网膜饼状增厚:恶性外周神经鞘瘤的一种罕见表现。
J Coll Physicians Surg Pak. 2010 Aug;20(8):554-5.
4
Omental vascular pedicle sign: multidetector CT finding useful for diagnosis of an omental mass.大网膜血管蒂征:多排 CT 对大网膜肿块的诊断有帮助。
Eur J Radiol. 2012 Feb;81(2):e166-9. doi: 10.1016/j.ejrad.2011.01.043. Epub 2011 Feb 2.
5
A distal ileum malignant peripheral nerve sheath tumour after abdominal radiation therapy: case report of a rare tumour.腹部放射治疗后发生的回肠远端恶性外周神经鞘瘤:1例罕见肿瘤病例报告
Int Cancer Conf J. 2023 Aug 10;13(1):1-5. doi: 10.1007/s13691-023-00625-7. eCollection 2024 Jan.
6
Malignant Peripheral Nerve Sheath Tumour of Small Intestine Presenting as Ileo-Ileal Intussusception - A Rare Tumour with Unusual Complication.表现为回肠-回肠套叠的小肠恶性外周神经鞘瘤——一种伴有罕见并发症的罕见肿瘤。
J Clin Diagn Res. 2015 May;9(5):XD03-XD04. doi: 10.7860/JCDR/2015/13318.5933. Epub 2015 May 1.
7
[Malignant peripheral nerve sheath tumour of the infra-orbital nerve].[眶下神经恶性外周神经鞘瘤]
Neurocirugia (Astur). 2014 Sep-Oct;25(5):240-3. doi: 10.1016/j.neucir.2014.02.002. Epub 2014 Jun 13.
8
Breast metastases from a malignant peripheral nerve sheath tumor of the kidney: An unusual presentation.肾恶性外周神经鞘瘤的乳腺转移:一种不寻常的表现。
Urol Ann. 2016 Jul-Sep;8(3):387-90. doi: 10.4103/0974-7796.184878.
9
Peripheral nerve sheath tumours--a short series with some uncommon variants.周围神经鞘瘤——一组包含一些罕见变异型的简短病例系列。
Indian J Pathol Microbiol. 2003 Apr;46(2):204-6.
10
Malignant peripheral nerve sheath tumor of intracranial nerve: a case series review.颅内神经恶性外周神经鞘瘤:病例系列回顾
Auris Nasus Larynx. 2010 Oct;37(5):539-45. doi: 10.1016/j.anl.2010.02.009.

引用本文的文献

1
Omental mass combined with indirect inguinal hernia leads to a scrotal mass: A case report.网膜肿物合并腹股沟斜疝导致阴囊肿物:一例报告
World J Clin Cases. 2021 Sep 16;9(26):7850-7856. doi: 10.12998/wjcc.v9.i26.7850.

本文引用的文献

1
Vanished kidney by pheripheral nerve seath tumor: a rare case report.周围神经鞘瘤致肾脏消失:一例罕见病例报告
Nephrourol Mon. 2013 Jul 1;5(3):843-6. doi: 10.5812/numonthly.8029. Epub 2013 May 25.
2
Malignant schwannoma of anterior abdominal wall: report of a case.腹壁恶性神经鞘瘤:一例报告
J Clin Med Res. 2009 Oct;1(4):233-6. doi: 10.4021/jocmr2009.09.1264. Epub 2009 Oct 16.
3
Malignant peripheral nerve sheath tumor arising from the greater omentum: case report.来源于大网膜的恶性外周神经鞘瘤:病例报告。
World J Surg Oncol. 2011 Mar 21;9:33. doi: 10.1186/1477-7819-9-33.
4
Omental vascular pedicle sign: multidetector CT finding useful for diagnosis of an omental mass.大网膜血管蒂征:多排 CT 对大网膜肿块的诊断有帮助。
Eur J Radiol. 2012 Feb;81(2):e166-9. doi: 10.1016/j.ejrad.2011.01.043. Epub 2011 Feb 2.
5
Omental caking: a rare manifestation of malignant peripheral nerve sheath tumour.网膜饼状增厚:恶性外周神经鞘瘤的一种罕见表现。
J Coll Physicians Surg Pak. 2010 Aug;20(8):554-5.
6
Anterior abdominal wall malignant peripheral nerve sheath tumor in an infant.
J Pediatr Surg. 2001 Dec;36(12):1866-8. doi: 10.1053/jpsu.2001.28875.
7
The greater omentum. Anatomy, embryology, and surgical applications.大网膜。解剖学、胚胎学及外科应用。
Surg Clin North Am. 2000 Feb;80(1):275-93, xii. doi: 10.1016/s0039-6109(05)70406-0.
8
The greater omentum.大网膜
AJR Am J Roentgenol. 1997 Mar;168(3):683-7. doi: 10.2214/ajr.168.3.9057515.