• 文献检索
  • 文档翻译
  • 深度研究
  • 学术资讯
  • Suppr Zotero 插件Zotero 插件
  • 邀请有礼
  • 套餐&价格
  • 历史记录
应用&插件
Suppr Zotero 插件Zotero 插件浏览器插件Mac 客户端Windows 客户端微信小程序
定价
高级版会员购买积分包购买API积分包
服务
文献检索文档翻译深度研究API 文档MCP 服务
关于我们
关于 Suppr公司介绍联系我们用户协议隐私条款
关注我们

Suppr 超能文献

核心技术专利:CN118964589B侵权必究
粤ICP备2023148730 号-1Suppr @ 2026

文献检索

告别复杂PubMed语法,用中文像聊天一样搜索,搜遍4000万医学文献。AI智能推荐,让科研检索更轻松。

立即免费搜索

文件翻译

保留排版,准确专业,支持PDF/Word/PPT等文件格式,支持 12+语言互译。

免费翻译文档

深度研究

AI帮你快速写综述,25分钟生成高质量综述,智能提取关键信息,辅助科研写作。

立即免费体验

环孢素 A 通过抑制线粒体 DNA 减轻脂多糖诱导的急性肺损伤。

Attenuation of Lipopolysaccharide-Induced Acute Lung Injury by Cyclosporine-A via Suppression of Mitochondrial DNA.

机构信息

Department of Cardiovascular Surgery, West China Hospital/West China School of Medicine, Sichuan University, Chengdu, Sichuan, China (mainland).

Department of Radiology, West China Hospital/West China School of Medicine, Sichuan University, Chengdu, Sichuan, China (mainland).

出版信息

Med Sci Monit. 2018 Oct 27;24:7682-7688. doi: 10.12659/MSM.909909.

DOI:10.12659/MSM.909909
PMID:30367813
原文链接:https://pmc.ncbi.nlm.nih.gov/articles/PMC6216435/
Abstract

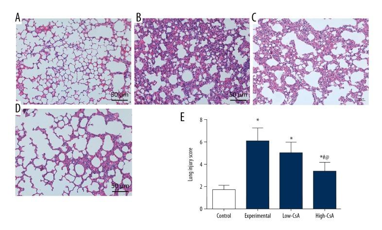
BACKGROUND Lipopolysaccharide (LPS) is generally associated with sepsis, which causes multiple system injuries and systemic inflammatory response. Mitochondrial DNA (mtDNA) is of great importance in mediation of inflammation. The aim of this study was to investigate the protective profiles of Cyclosporine-A (CsA) in LPS-induced acute lung injury (ALI) and systemic inflammation by the inhibition of mtDNA and Toll-like receptor. MATERIAL AND METHODS Twenty-four C57BL/6 mice were randomly assigned to 4 groups: a sham group (n=6); an experiment group (ALI induced through intraperitoneal injection of 10 mg/ml LPS, n=6); a low-CsA group (injection of 2.5 mg/kg of CsA 15 min after injection of LPS, n=6); and a high-CsA group (injection of 25 mg/kg of CsA 15 min after injection of LPS, n=6). Lung tissue, bronchoalveolar lavage fluid (BALF), and blood samples were collected at 6 h for further analyses. RESULTS CsA treatment significantly attenuated LPS-induced lung histopathological changes (P<.05), myeloperoxidase (MPO) activity (P<.05) and lung wet-to-dry weight ratio (P<.05). In addition, injection of CsA decreased total cells (P<.05), neutrophils (P<.05), and total protein (P<.05) in BALF and inflammatory mediators, including tumor necrosis factor-a (TNF-a, P<.05) and interleukin-6 (IL-6, P<.05) in a dose-dependent manner. A significant decrease in mtDNA was observed in the CsA group when compared with controls (P<.05). Furthermore, we demonstrated that there was a significant difference between the high-CsA group and low-CsA group in lung injury score (P<.05), mtDNA (P<.05), and MPO (P<.05). CONCLUSIONS The evidence from this study suggests that CsA attenuated lung inflammation after LPS injection, and the protective mechanism may at least in part involve decreasing the release of inflammatory cytokines and mtDNA.

摘要

背景

脂多糖(LPS)通常与败血症有关,败血症会导致多系统损伤和全身炎症反应。线粒体 DNA(mtDNA)在炎症调节中非常重要。本研究旨在通过抑制 mtDNA 和 Toll 样受体来研究环孢素 A(CsA)对 LPS 诱导的急性肺损伤(ALI)和全身炎症的保护作用。

材料和方法

将 24 只 C57BL/6 小鼠随机分为 4 组:假手术组(n=6);实验组(腹腔注射 10mg/ml LPS 诱导 ALI,n=6);低 CsA 组(LPS 注射后 15 分钟注射 2.5mg/kg CsA,n=6);高 CsA 组(LPS 注射后 15 分钟注射 25mg/kg CsA,n=6)。6 小时后收集肺组织、支气管肺泡灌洗液(BALF)和血液样本进行进一步分析。

结果

CsA 治疗显著减轻 LPS 诱导的肺组织病理学变化(P<.05)、髓过氧化物酶(MPO)活性(P<.05)和肺湿重/干重比(P<.05)。此外,CsA 注射可降低 BALF 中的总细胞数(P<.05)、中性粒细胞数(P<.05)和总蛋白含量(P<.05),并呈剂量依赖性降低炎症介质肿瘤坏死因子-α(TNF-α,P<.05)和白细胞介素-6(IL-6,P<.05)。与对照组相比,CsA 组 mtDNA 显著减少(P<.05)。此外,我们发现高 CsA 组与低 CsA 组在肺损伤评分(P<.05)、mtDNA(P<.05)和 MPO(P<.05)方面存在显著差异。

结论

本研究表明,CsA 减轻 LPS 注射后的肺炎症,其保护机制至少部分涉及减少炎症细胞因子和 mtDNA 的释放。

https://cdn.ncbi.nlm.nih.gov/pmc/blobs/8a51/6216435/440c6d497bd8/medscimonit-24-7682-g005.jpg
https://cdn.ncbi.nlm.nih.gov/pmc/blobs/8a51/6216435/09ecee6cfe19/medscimonit-24-7682-g001.jpg
https://cdn.ncbi.nlm.nih.gov/pmc/blobs/8a51/6216435/cbfb256bf961/medscimonit-24-7682-g002.jpg
https://cdn.ncbi.nlm.nih.gov/pmc/blobs/8a51/6216435/42cdfd92f9c9/medscimonit-24-7682-g003.jpg
https://cdn.ncbi.nlm.nih.gov/pmc/blobs/8a51/6216435/f1d7c8ada6ed/medscimonit-24-7682-g004.jpg
https://cdn.ncbi.nlm.nih.gov/pmc/blobs/8a51/6216435/440c6d497bd8/medscimonit-24-7682-g005.jpg
https://cdn.ncbi.nlm.nih.gov/pmc/blobs/8a51/6216435/09ecee6cfe19/medscimonit-24-7682-g001.jpg
https://cdn.ncbi.nlm.nih.gov/pmc/blobs/8a51/6216435/cbfb256bf961/medscimonit-24-7682-g002.jpg
https://cdn.ncbi.nlm.nih.gov/pmc/blobs/8a51/6216435/42cdfd92f9c9/medscimonit-24-7682-g003.jpg
https://cdn.ncbi.nlm.nih.gov/pmc/blobs/8a51/6216435/f1d7c8ada6ed/medscimonit-24-7682-g004.jpg
https://cdn.ncbi.nlm.nih.gov/pmc/blobs/8a51/6216435/440c6d497bd8/medscimonit-24-7682-g005.jpg

相似文献

1
Attenuation of Lipopolysaccharide-Induced Acute Lung Injury by Cyclosporine-A via Suppression of Mitochondrial DNA.环孢素 A 通过抑制线粒体 DNA 减轻脂多糖诱导的急性肺损伤。
Med Sci Monit. 2018 Oct 27;24:7682-7688. doi: 10.12659/MSM.909909.
2
Intra-Peritoneal Administration of Mitochondrial DNA Provokes Acute Lung Injury and Systemic Inflammation via Toll-Like Receptor 9.腹腔内注射线粒体DNA通过Toll样受体9引发急性肺损伤和全身炎症。
Int J Mol Sci. 2016 Aug 30;17(9):1425. doi: 10.3390/ijms17091425.
3
Mitochondrial DNA-Induced Inflammatory Responses and Lung Injury in Thermal Injury Murine Model: Protective Effect of Cyclosporine-A.线粒体DNA诱导的热损伤小鼠模型中的炎症反应及肺损伤:环孢素A的保护作用
J Burn Care Res. 2019 Apr 26;40(3):355-360. doi: 10.1093/jbcr/irz029.
4
[The effect of recombinant interleukin-10/Fc fusion protein on lipopolysaccharide-induced acute lung injury in mice].重组白细胞介素-10/Fc融合蛋白对脂多糖诱导的小鼠急性肺损伤的影响
Zhongguo Wei Zhong Bing Ji Jiu Yi Xue. 2008 Aug;20(8):461-4.
5
Preventive and therapeutic effects of Danhong injection on lipopolysaccharide induced acute lung injury in mice.丹红注射液对脂多糖诱导的小鼠急性肺损伤的防治作用。
J Ethnopharmacol. 2013 Aug 26;149(1):352-9. doi: 10.1016/j.jep.2013.06.048. Epub 2013 Jul 9.
6
The total alkaloids of Aconitum tanguticum protect against lipopolysaccharide-induced acute lung injury in rats.唐古特大黄的总生物碱可预防脂多糖诱导的大鼠急性肺损伤。
J Ethnopharmacol. 2014 Sep 29;155(3):1483-91. doi: 10.1016/j.jep.2014.07.041. Epub 2014 Aug 4.
7
Taraxacum officinale protects against lipopolysaccharide-induced acute lung injury in mice.蒲公英可防治脂多糖诱导的小鼠急性肺损伤。
J Ethnopharmacol. 2010 Jul 20;130(2):392-7. doi: 10.1016/j.jep.2010.05.029. Epub 2010 May 25.
8
Kegan Liyan oral liquid ameliorates lipopolysaccharide-induced acute lung injury through inhibition of TLR4-mediated NF-κB signaling pathway and MMP-9 expression.克甘利咽口服液通过抑制TLR4介导的NF-κB信号通路和MMP-9表达改善脂多糖诱导的急性肺损伤。
J Ethnopharmacol. 2016 Jun 20;186:91-102. doi: 10.1016/j.jep.2016.03.057. Epub 2016 Mar 30.
9
Anti-inflammatory effects of water extract of Taraxacum mongolicum hand.-Mazz on lipopolysaccharide-induced inflammation in acute lung injury by suppressing PI3K/Akt/mTOR signaling pathway.蒲公英水提取物通过抑制PI3K/Akt/mTOR信号通路对脂多糖诱导的急性肺损伤炎症的抗炎作用。
J Ethnopharmacol. 2015 Jun 20;168:349-55. doi: 10.1016/j.jep.2015.03.068. Epub 2015 Apr 8.
10
[Effect of Xianxiong decoction on acute lung injury mice induced by lipopolysaccharide].[仙芎汤对脂多糖诱导的急性肺损伤小鼠的影响]
Zhongguo Zhong Yao Za Zhi. 2015 Apr;40(7):1362-9.

引用本文的文献

1
Mitochondrial dysfunction in sepsis: mechanisms and therapeutic perspectives.脓毒症中的线粒体功能障碍:机制和治疗观点。
Crit Care. 2024 Sep 3;28(1):292. doi: 10.1186/s13054-024-05069-w.
2
Mitochondrial DNA leakage triggers inflammation in age-related cardiovascular diseases.线粒体DNA泄漏引发与年龄相关的心血管疾病中的炎症。
Front Cell Dev Biol. 2024 Feb 15;12:1287447. doi: 10.3389/fcell.2024.1287447. eCollection 2024.
3
The role of mtDAMPs in the trauma-induced systemic inflammatory response syndrome.线粒体损伤相关分子模式在创伤性全身炎症反应综合征中的作用。

本文引用的文献

1
Mechanisms of Organ Dysfunction in Sepsis.脓毒症器官功能障碍的发生机制。
Crit Care Clin. 2018 Jan;34(1):63-80. doi: 10.1016/j.ccc.2017.08.003. Epub 2017 Oct 18.
2
Epidemiology and Outcomes.流行病学与结果。
Crit Care Clin. 2018 Jan;34(1):15-27. doi: 10.1016/j.ccc.2017.08.001. Epub 2017 Oct 12.
3
Cyclosporin A indirectly attenuates activation of group 2 innate lymphoid cells in papain-induced lung inflammation.环孢素 A 间接减弱木瓜蛋白酶诱导的肺炎症中 2 型固有淋巴细胞的激活。
Front Immunol. 2023 Jul 18;14:1164187. doi: 10.3389/fimmu.2023.1164187. eCollection 2023.
4
Involvement of oxidative species in cyclosporine-mediated cholestasis.氧化物质在环孢素介导的胆汁淤积中的作用。
Front Pharmacol. 2022 Nov 8;13:1004844. doi: 10.3389/fphar.2022.1004844. eCollection 2022.
5
Role of released mitochondrial DNA in acute lung injury.释放的线粒体 DNA 在急性肺损伤中的作用。
Front Immunol. 2022 Aug 18;13:973089. doi: 10.3389/fimmu.2022.973089. eCollection 2022.
6
Potential biomarkers and targets of mitochondrial dynamics.线粒体动态的潜在生物标志物和靶点。
Clin Transl Med. 2021 Aug;11(8):e529. doi: 10.1002/ctm2.529.
7
Protectin D1 protects against lipopolysaccharide-induced acute lung injury through inhibition of neutrophil infiltration and the formation of neutrophil extracellular traps in lung tissue.保护素D1通过抑制中性粒细胞浸润和肺组织中中性粒细胞胞外陷阱的形成来预防脂多糖诱导的急性肺损伤。
Exp Ther Med. 2021 Oct;22(4):1074. doi: 10.3892/etm.2021.10508. Epub 2021 Jul 28.
8
Cyclosporine A Promotes Bone Remodeling in LPS-Related Inflammation via Inhibiting ROS/ERK Signaling: Studies and .环孢素 A 通过抑制 ROS/ERK 信号通路促进 LPS 相关炎症中的骨重塑:研究与 。
Oxid Med Cell Longev. 2021 Jan 7;2021:8836599. doi: 10.1155/2021/8836599. eCollection 2021.
9
Mitochondrial Dysfunction, Oxidative Stress, and Neuroinflammation: Intertwined Roads to Neurodegeneration.线粒体功能障碍、氧化应激与神经炎症:通往神经退行性变的交织之路
Antioxidants (Basel). 2020 Jul 22;9(8):647. doi: 10.3390/antiox9080647.
10
Cyclosporine A prevents cardiac arrest-induced acute respiratory failure: a post-hoc analysis of the CYRUS trial.环孢素A可预防心脏骤停所致急性呼吸衰竭:CYRUS试验的事后分析
Intensive Care Med. 2020 Jun;46(6):1281-1283. doi: 10.1007/s00134-020-06043-0. Epub 2020 Apr 21.
Cell Immunol. 2018 Jan;323:33-40. doi: 10.1016/j.cellimm.2017.10.010. Epub 2017 Oct 27.
4
Exotoxins and endotoxins: Inducers of inflammatory cytokines.外毒素和内毒素:炎性细胞因子的诱导剂。
Toxicon. 2018 Jul;149:45-53. doi: 10.1016/j.toxicon.2017.10.016. Epub 2017 Oct 19.
5
Prevention of Cyclophilin D-Mediated mPTP Opening Using Cyclosporine-A Alleviates the Elevation of Necroptosis, Autophagy and Apoptosis-Related Markers Following Global Cerebral Ischemia-Reperfusion.使用环孢素A预防亲环素D介导的线粒体通透性转换孔开放可减轻全脑缺血再灌注后坏死性凋亡、自噬和凋亡相关标志物的升高。
J Mol Neurosci. 2017 Jan;61(1):52-60. doi: 10.1007/s12031-016-0843-3. Epub 2016 Sep 23.
6
Intra-Peritoneal Administration of Mitochondrial DNA Provokes Acute Lung Injury and Systemic Inflammation via Toll-Like Receptor 9.腹腔内注射线粒体DNA通过Toll样受体9引发急性肺损伤和全身炎症。
Int J Mol Sci. 2016 Aug 30;17(9):1425. doi: 10.3390/ijms17091425.
7
The Third International Consensus Definitions for Sepsis and Septic Shock (Sepsis-3).《脓毒症及脓毒性休克第三次国际共识定义(脓毒症-3)》
JAMA. 2016 Feb 23;315(8):801-10. doi: 10.1001/jama.2016.0287.
8
Cyclosporine A Suppressed Glucose Oxidase Induced P53 Mitochondrial Translocation and Hepatic Cell Apoptosis through Blocking Mitochondrial Permeability Transition.环孢素A通过阻断线粒体通透性转换抑制葡萄糖氧化酶诱导的P53线粒体转位和肝细胞凋亡。
Int J Biol Sci. 2016 Jan 1;12(2):198-209. doi: 10.7150/ijbs.13716. eCollection 2016.
9
Postconditioning with cyclosporine a reduces early renal dysfunction by inhibiting mitochondrial permeability transition.用环孢素A进行后处理通过抑制线粒体通透性转换来减轻早期肾功能障碍。
Transplantation. 2015 Apr;99(4):717-23. doi: 10.1097/TP.0000000000000530.
10
The mitochondrial permeability transition: a current perspective on its identity and role in ischaemia/reperfusion injury.线粒体通透性转换:对其在缺血/再灌注损伤中的身份和作用的最新观点。
J Mol Cell Cardiol. 2015 Jan;78:129-41. doi: 10.1016/j.yjmcc.2014.08.018. Epub 2014 Aug 30.