Suppr超能文献

雌激素通过调节 NLRP3 在小鼠中的活化改善过敏性气道炎症。

Estrogen ameliorates allergic airway inflammation by regulating activation of NLRP3 in mice.

机构信息

Department of Pulmonary, Anhui Geriatric Institute, The First Affiliated Hospital of Anhui Medical University, Jixi Road 218, Hefei, Anhui 230022, P.R. China.

Department of Cardiovascular, The Second Affiliated Hospital of Anhui Medical University, Furong Road 678, Hefei, Anhui 230601, P.R. China.

出版信息

Biosci Rep. 2019 Jan 8;39(1). doi: 10.1042/BSR20181117. Print 2019 Jan 31.

Abstract

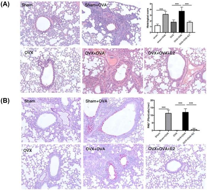
Estrogen has been suggested to play a protective role against airway inflammations, such as asthma. In these processes, the inflammasome nucleotide-binding oligomerization domain, leucine-rich repeat and pyrin domain containing 3 (NLRP3) partly accounts for the activation of pro-inflammatory factors. The aim of the present study was to investigate whether NLRP3 was involved in the protective effect of estrogen against allergic airway inflammation. An ovariectomy was performed on female C57BL/6 mice; some were sham-operated (sham). We then sensitized and challenged them with ovalbumin (OVA) to establish an airway inflammation model. Meanwhile, some mice were treated with 17β-estradiol (E2) for 28 days. The expression of NLRP3 inflammasome and its downstream products, caspase-1 and the pro-inflammatory cytokine interleukin (IL)-1β (IL-1β), increased concomitantly with OVA-challenged airway inflammation and decreased with the expression of estrogen receptor β (ERβ). In addition, treating ovariectomized (OVX) mice with E2 dramatically ameliorated airway inflammation via such mechanisms as leukocyte recruitment, mucus production, and secretion of pro-inflammatory cytokines other than IL-18 in bronchoalveolar lavage (BAL) fluid (BALF). Furthermore, E2 suppressed both the mRNA expression and protein expression of NLRP3, caspase-1, and IL-1β. In summary, our study showed that NLRP3 inflammasome activation and pro-inflammatory cytokine production markedly increased in OVA-induced airway inflammation, and E2 effectively abrogated such inflammation by regulating the activation of NLRP3.

摘要

雌激素被认为对气道炎症(如哮喘)具有保护作用。在这些过程中,炎症小体核苷酸结合寡聚结构域、富含亮氨酸重复和吡喃结构域包含 3(NLRP3)部分解释了促炎因子的激活。本研究旨在探讨 NLRP3 是否参与雌激素对变应性气道炎症的保护作用。雌性 C57BL/6 小鼠行卵巢切除术;一些进行假手术(假手术)。然后,我们用卵清蛋白(OVA)致敏和攻击它们,以建立气道炎症模型。同时,一些小鼠用 17β-雌二醇(E2)治疗 28 天。NLRP3 炎症小体及其下游产物 caspase-1 和促炎细胞因子白细胞介素(IL)-1β(IL-1β)的表达与 OVA 攻击气道炎症同时增加,并随雌激素受体β(ERβ)的表达而降低。此外,用 E2 治疗去卵巢(OVX)小鼠可通过白细胞募集、黏液产生以及支气管肺泡灌洗液(BAL)中除 IL-18 之外的促炎细胞因子的分泌等机制显著改善气道炎症(BAL)。此外,E2 抑制 NLRP3、caspase-1 和 IL-1β 的 mRNA 表达和蛋白表达。总之,我们的研究表明,NLRP3 炎症小体激活和促炎细胞因子产生在 OVA 诱导的气道炎症中明显增加,E2 通过调节 NLRP3 的激活有效阻断了这种炎症。

https://cdn.ncbi.nlm.nih.gov/pmc/blobs/d12d/6328879/02d08c9e7bb8/bsr-39-bsr20181117-g1.jpg

文献AI研究员

20分钟写一篇综述,助力文献阅读效率提升50倍。

立即体验

用中文搜PubMed

大模型驱动的PubMed中文搜索引擎

马上搜索

文档翻译

学术文献翻译模型,支持多种主流文档格式。

立即体验