Suppr超能文献

一名青少年中酷似蝶骨嵴脑膜瘤的巨大实性海绵状血管瘤:病例报告。

A giant solid cavernous hemangioma mimicking sphenoid wing meningioma in an adolescent: A case report.

作者信息

Lan Zhigang, Richard Seidu A, Li Jin, Xu Jianguo, You Chao

机构信息

Department of Neurosurgery, West China Hospital, Sichuan University, Chengdu, Sichuan PR China.

Department of Surgery, Volta Regional Hospital, Ghana, West Africa.

出版信息

Medicine (Baltimore). 2018 Nov;97(44):e13098. doi: 10.1097/MD.0000000000013098.

Abstract

RATIONALE

Central nervous system (CNS) solid cavernous hemangiomas are rare extra-axial anomalies that may sometimes resemble meningiomas. Due to their complex vascular nature, accurate preoperative diagnosis is important to avoid disastrous hemorrhage during operation. To the best of our knowledge this is the first case in an adolescent since all middle cranial fossa hemangioma cases reported in literature are adults in their 40s or 50s and all the pediatric cases are cystic.

PATIENT CONCERNS

We present a case of a 14-year-old girl with headache and dizziness for 3 months. She occasionally experienced nausea and vomiting but denied visual disturbances and loss of smell.

DIAGNOSES

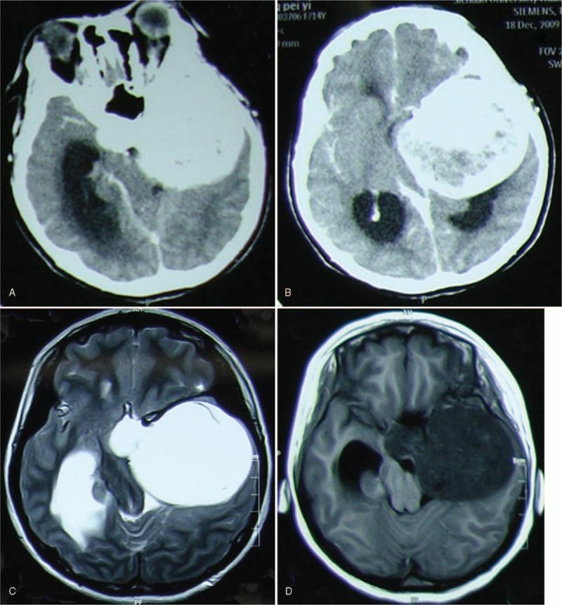
MRI revealed a lesion that extends to the greater wing of the sphenoid bone as well as the pituitary fossa. Our initial diagnosis was a sphenoid wing meningioma but interestingly, histopathology revealed solid cavernous hemangioma.

INTERVENTIONS

The residual tumor was completely removed with 2 sessions of Gamma Knife radiotherapy after surgery.

OUTCOMES

We were confronted with excessive bleeding during surgery so we attained subtotal resection. However, the patient recovered well with no recurrence of the tumor.

LESSONS

Our case shows that space occupying lesions involving the cavernous sinus and sphenoid ridged could be easily misdiagnosed as sphenoid wing meningiomas in children and adolescents and even adults therefore great care must be exercised when confronted with this kind of presentation.

摘要

理论依据

中枢神经系统(CNS)实性海绵状血管瘤是罕见的轴外异常,有时可能类似脑膜瘤。由于其复杂的血管性质,准确的术前诊断对于避免手术中灾难性出血很重要。据我们所知,这是青少年中的首例病例,因为文献报道的所有中颅窝血管瘤病例均为40多岁或50多岁的成年人,且所有儿科病例均为囊性。

患者情况

我们报告一例14岁女孩,头痛、头晕3个月。她偶尔感到恶心和呕吐,但否认有视觉障碍和嗅觉丧失。

诊断

磁共振成像(MRI)显示一个病变延伸至蝶骨大翼以及垂体窝。我们最初的诊断是蝶骨嵴脑膜瘤,但有趣的是,组织病理学显示为实性海绵状血管瘤。

干预措施

术后通过2次伽玛刀放射治疗将残留肿瘤完全切除。

结果

我们在手术中遇到大量出血,因此只能进行次全切除。然而,患者恢复良好,肿瘤未复发。

经验教训

我们的病例表明,累及海绵窦和蝶骨嵴的占位性病变在儿童、青少年甚至成年人中都很容易被误诊为蝶骨嵴脑膜瘤,因此面对此类表现时必须格外小心。

https://cdn.ncbi.nlm.nih.gov/pmc/blobs/ab53/6221700/25fac823195d/medi-97-e13098-g001.jpg

文献AI研究员

20分钟写一篇综述,助力文献阅读效率提升50倍。

立即体验

用中文搜PubMed

大模型驱动的PubMed中文搜索引擎

马上搜索

文档翻译

学术文献翻译模型,支持多种主流文档格式。

立即体验