Suppr超能文献

影像学在舌鳞状细胞癌临床隐匿性孤立性甲状腺内转移中的作用:一组罕见病例

Role of Imaging in Clinically Occult Isolated Intrathyroidal Metastasis from Squamous Cell Carcinoma of Tongue: An Unusual Case Series.

作者信息

Shah Diva, Shah Digish, Kanhere Subhada, Sanghavi Kintan, Patel Kaustubh

机构信息

Department of Radio-Diagnosis, HCG Cancer Centre, Ahmedabad, Gujarat, India.

Department of Nuclear Medicine, HCG Cancer Centre, Ahmedabad, Gujarat, India.

出版信息

Indian J Nucl Med. 2018 Oct-Dec;33(4):326-330. doi: 10.4103/ijnm.IJNM_106_18.

Abstract

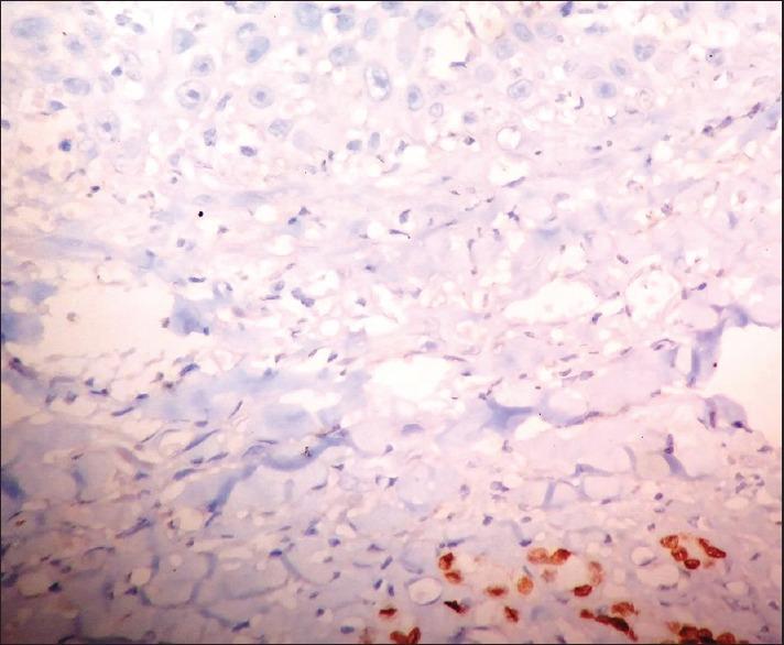
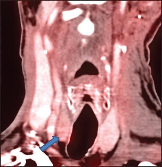
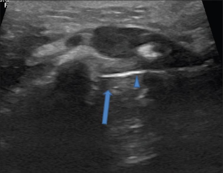
Metastasis to the thyroid gland is rare; furthermore, intrathyroid metastasis from head and neck squamous cell carcinoma (SCC) is very unusual, with only nine previously documented cases four from intrathyroid metastasis from nasopharyngeal carcinoma, two from oral cavity, one each from oropharynx, larynx, and parotid. The reported case series are unique in nature and illustrates the role of fluorodeoxyglucose positron emission tomography-computed tomography (PET-CT) and ultrasound-guided biopsy in diagnosing clinically occult isolated intrathyroidal metastasis, which helps in the best management for an isolated intrathyroid metastases. This study details the cases of three patients who were diagnosed with intrathyroidal metastasis from SCC of the tongue by PET-CT, followed by USG-guided biopsy, who were treated with either surgery and or chemotherapy. Although intrathyroidal metastasis is an uncommon occurrence and signifies poor prognosis, early detection of an isolated intrathyroidal metastasis on imaging in an appropriately selected patients, radical surgery, and/or chemotherapy improve local control and quality of patient's life.

摘要

甲状腺转移瘤较为罕见;此外,头颈部鳞状细胞癌(SCC)发生甲状腺内转移的情况非常少见,此前仅有9例记录在案的病例——4例来自鼻咽癌的甲状腺内转移,2例来自口腔,1例分别来自口咽、喉和腮腺。所报道的病例系列具有独特性,说明了氟脱氧葡萄糖正电子发射断层扫描-计算机断层扫描(PET-CT)和超声引导下活检在诊断临床隐匿性孤立性甲状腺内转移瘤中的作用,这有助于对孤立性甲状腺内转移瘤进行最佳管理。本研究详细介绍了3例经PET-CT诊断为舌部SCC甲状腺内转移、随后接受超声引导下活检、并接受手术和/或化疗的患者病例。虽然甲状腺内转移并不常见且预示预后不良,但在适当选择的患者中通过影像学早期发现孤立性甲状腺内转移瘤、进行根治性手术和/或化疗可改善局部控制并提高患者生活质量。

https://cdn.ncbi.nlm.nih.gov/pmc/blobs/cbbd/6194773/a197a256a269/IJNM-33-326-g001.jpg

文献AI研究员

20分钟写一篇综述,助力文献阅读效率提升50倍。

立即体验

用中文搜PubMed

大模型驱动的PubMed中文搜索引擎

马上搜索

文档翻译

学术文献翻译模型,支持多种主流文档格式。

立即体验