Suppr超能文献

两例通过氟代脱氧葡萄糖正电子发射断层显像/X线计算机体层成像(FDG-PET/CT)检测出的头颈部鳞状细胞癌甲状腺转移病例

Two Cases of Thyroid Metastasis from Head and Neck Squamous Cell Carcinoma Detected by FDG-PET/CT.

作者信息

Aparici Carina Mari, Win Aung Zaw

机构信息

Department of Radiology, University of California San Francisco (UCSF), San Francisco, California, USA.

Department of Radiology, San Francisco VA Medical Center, San Francisco, California, USA.

出版信息

J Clin Imaging Sci. 2014 Nov 29;4:62. doi: 10.4103/2156-7514.145850. eCollection 2014.

Abstract

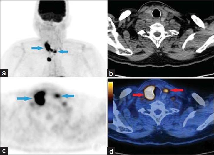
We present two cases of head and neck squamous cell carcinoma (SCC) metastasizing to the thyroid gland. This is the first report that shows (18) F-fluorodeoxyglucose-positron emission tomography/computed tomography (FDG-PET/CT) images of tonsillar and supraglottic SCCs invading the thyroid gland. Alcohol and tobacco use are the two most important risk factors for head and neck cancers, but recently human papilloma virus (HPV) infection has become a significant risk factor in the United States. FDG-PET/CT is very useful for SCC staging/restaging and follow-up.

摘要

我们报告了两例头颈部鳞状细胞癌(SCC)转移至甲状腺的病例。这是首份展示扁桃体和声门上SCC侵犯甲状腺的(18)F-氟脱氧葡萄糖正电子发射断层扫描/计算机断层扫描(FDG-PET/CT)图像的报告。饮酒和吸烟是头颈部癌症的两个最重要风险因素,但最近人乳头瘤病毒(HPV)感染在美国已成为一个重要风险因素。FDG-PET/CT对SCC分期/再分期及随访非常有用。

https://cdn.ncbi.nlm.nih.gov/pmc/blobs/9516/4278091/1e246ca59ca6/JCIS-4-62-g002.jpg

文献AI研究员

20分钟写一篇综述,助力文献阅读效率提升50倍。

立即体验

用中文搜PubMed

大模型驱动的PubMed中文搜索引擎

马上搜索

文档翻译

学术文献翻译模型,支持多种主流文档格式。

立即体验