The Francis Crick Institute, London, United Kingdom.
MRC National Institute for Medical Research, London, United Kingdom.
Elife. 2018 Nov 2;7:e39800. doi: 10.7554/eLife.39800.
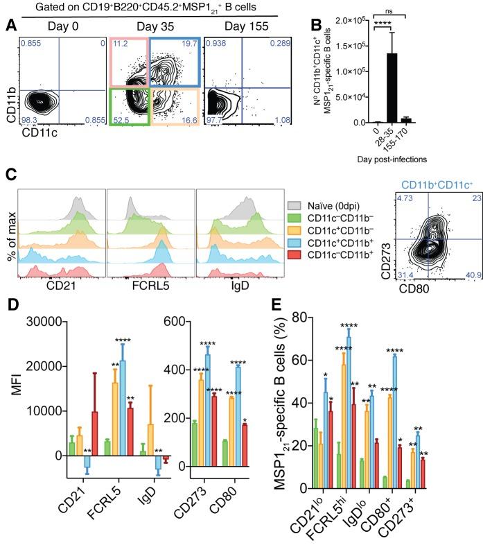
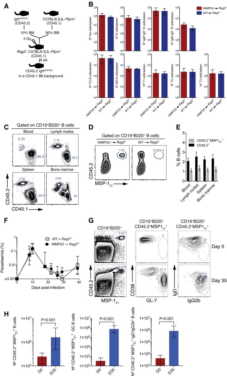
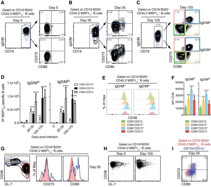
A subset of atypical memory B cells accumulates in malaria and several infections, autoimmune disorders and aging in both humans and mice. It has been suggested these cells are exhausted long-lived memory B cells, and their accumulation may contribute to poor acquisition of long-lasting immunity to certain chronic infections, such as malaria and HIV. Here, we generated an immunoglobulin heavy chain knock-in mouse with a BCR that recognizes MSP1 of the rodent malaria parasite, . In combination with a mosquito-initiated infection, we show that -specific atypical memory B cells are short-lived and disappear upon natural resolution of chronic infection. These cells show features of activation, proliferation, DNA replication, and plasmablasts. Our data demonstrate that -specific atypical memory B cells are not a subset of long-lived memory B cells, but rather short-lived activated cells, and part of a physiologic ongoing B-cell response.
一组非典型记忆 B 细胞在疟疾和几种感染、自身免疫性疾病以及人类和小鼠的衰老中积累。有人提出,这些细胞是耗尽的长寿记忆 B 细胞,它们的积累可能导致对某些慢性感染(如疟疾和 HIV)的持久免疫力获得不良。在这里,我们生成了一种带有识别啮齿动物疟原虫 MSP1 的 BCR 的免疫球蛋白重链敲入小鼠。结合蚊子引发的感染,我们表明针对的非典型记忆 B 细胞是短命的,并且在慢性感染自然缓解时消失。这些细胞表现出激活、增殖、DNA 复制和浆母细胞的特征。我们的数据表明,针对的非典型记忆 B 细胞不是长寿记忆 B 细胞的一个子集,而是短命的激活细胞,是生理上持续的 B 细胞反应的一部分。