Suppr超能文献

巨大单侧胸腔积液伴起搏器相关的心后损伤综合征。

Large Unilateral Pleural Effusion with Pacemaker-associated Post-cardiac Injury Syndrome.

作者信息

Kumar Sundeep, Madanieh Abed, Patel Hiren, Srinivasa Murthy Ruthvik, Goyos Jose M, Milunski Mark R

机构信息

Internal Medicine, University of Central Florida College of Medicine, Orlando, USA.

Pulmonary and Critical Care, Orlando Veterans Affairs Medical Center, Orlando, USA.

出版信息

Cureus. 2018 Jul 8;10(7):e2946. doi: 10.7759/cureus.2946.

Abstract

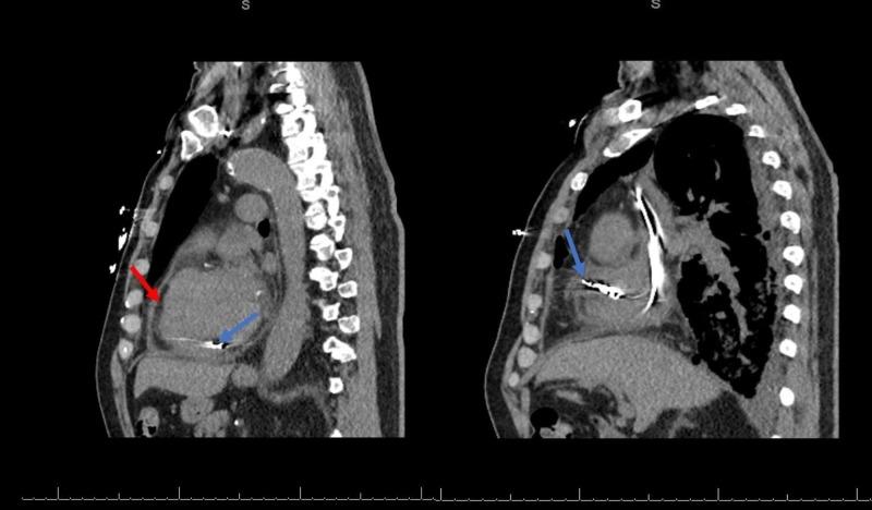
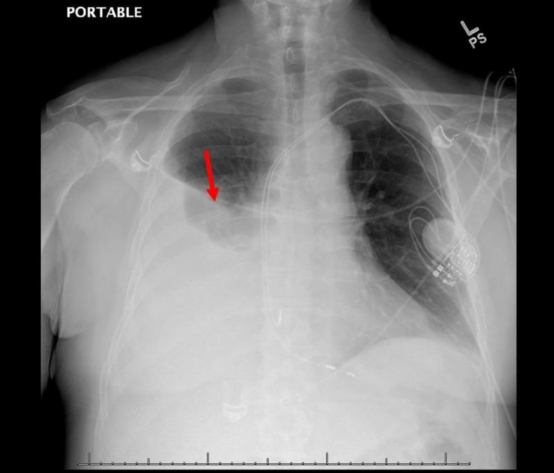
Post-cardiac injury syndrome (PCIS) as a delayed complication of permanent pacemaker implantation has rarely been reported in the literature. A 67-year-old man who recently underwent a dual chamber permanent pacemaker implantation came to the hospital for increasing dyspnea and chest discomfort. A diagnosis of pericarditis was made, and the patient was discharged on ibuprofen therapy. He presented to our facility a month later with worsening dyspnea and chest discomfort despite recommended therapy. A computerized tomography (CT) scan of the chest revealed a large right-sided pleural effusion, requiring chest tube placement and drainage. A pleural fluid analysis revealed exudative effusion with elevated pH. The pleural fluid analysis was negative for infectious etiology. A perforation of the atrial wall was considered given the proximity of the atrial pacer lead and overlying pericardial effusion. However, no conclusive evidence of cardiac chamber perforation was found on echocardiogram or CT scan. A pacemaker interrogation was normal. A repeat CT scan showed the resolution of pleural effusion, and the chest tube was discontinued. A possible explanation for the absence of predominant pericardial findings may be the previous use of non-steroidal anti-inflammatory therapy.

摘要

心脏损伤后综合征(PCIS)作为永久性起搏器植入的延迟并发症,在文献中鲜有报道。一名67岁男性近期接受了双腔永久性起搏器植入术,因呼吸困难加重和胸部不适前来医院就诊。诊断为心包炎,患者出院时接受布洛芬治疗。尽管接受了推荐治疗,但一个月后他因呼吸困难和胸部不适加重再次来到我们的机构。胸部计算机断层扫描(CT)显示右侧大量胸腔积液,需要放置胸管引流。胸腔积液分析显示为渗出性积液,pH值升高。胸腔积液分析未发现感染性病因。考虑到心房起搏器导线靠近且存在心包积液,怀疑心房壁穿孔。然而,超声心动图或CT扫描均未发现心腔穿孔的确切证据。起搏器程控检查正常。重复CT扫描显示胸腔积液消退,胸管拔除。心包主要表现不明显的一个可能解释是先前使用了非甾体抗炎治疗。

https://cdn.ncbi.nlm.nih.gov/pmc/blobs/447b/6207273/991e93f28a92/cureus-0010-00000002946-i01.jpg

文献AI研究员

20分钟写一篇综述,助力文献阅读效率提升50倍。

立即体验

用中文搜PubMed

大模型驱动的PubMed中文搜索引擎

马上搜索

文档翻译

学术文献翻译模型,支持多种主流文档格式。

立即体验