Suppr超能文献

髓系白血病和淋巴瘤同时双谱系恶性肿瘤的分析与治疗:两例病例报告及文献综述

Analyses and treatment of simultaneous bi-lineage malignancies of myeloid leukemia and lymphoma: Two case reports and a literature review.

作者信息

Fu Xiaorui, Shang Yufeng, Zhang Lei, Li Ling, Li Xin, Wang Xinhua, Sun Zhenchang, Zhang Mingzhi

机构信息

Department of Oncology, The First Affiliated Hospital of Zhengzhou University, Zhengzhou, Henan 450002, P.R. China.

Lymphoma Diagnosis and Treatment Center, Zhengzhou, Henan 450002, P.R. China.

出版信息

Oncol Lett. 2018 Nov;16(5):6624-6632. doi: 10.3892/ol.2018.9447. Epub 2018 Sep 18.

Abstract

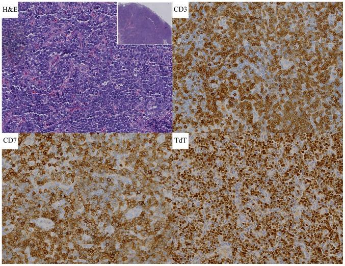
The present study reports two cases of concurrently diagnosed T-lymphoblastic lymphoma (T-LBL) and chronic myeloid leukemia (CML). The literature review revealed that myeloid leukemia may appear secondary to Hodgkin lymphoma or non-Hodgkin lymphoma. However, simultaneous bi-lineage hematologic malignancies are rarely seen and the prognosis is worse than single lineage lymphoma or myeloid leukemia. There were no standard therapies. All simultaneous bi-lineage malignancies of myeloid leukemia and lymphoma reported in Pubmed were combined with the present two cases, to analyses its pathogenesis, features and treatment. It was concluded that the prognosis of bi-lineage hematologic malignancies was poor, however allogeneic hematopoietic stem cell transplantation could improve survival (P=0.033).

摘要

本研究报告了两例同时诊断为T淋巴细胞母细胞淋巴瘤(T-LBL)和慢性粒细胞白血病(CML)的病例。文献回顾显示,髓系白血病可能继发于霍奇金淋巴瘤或非霍奇金淋巴瘤。然而,同时发生的双谱系血液系统恶性肿瘤很少见,且预后比单谱系淋巴瘤或髓系白血病更差。目前尚无标准治疗方法。将PubMed报道的所有髓系白血病与淋巴瘤同时发生的双谱系恶性肿瘤病例与本两例病例相结合,分析其发病机制、特征及治疗方法。得出的结论是,双谱系血液系统恶性肿瘤预后较差,而异基因造血干细胞移植可提高生存率(P=0.033)。

https://cdn.ncbi.nlm.nih.gov/pmc/blobs/9001/6202486/4687e7646b7e/ol-16-05-6624-g00.jpg

文献检索

告别复杂PubMed语法,用中文像聊天一样搜索,搜遍4000万医学文献。AI智能推荐,让科研检索更轻松。

立即免费搜索

文件翻译

保留排版,准确专业,支持PDF/Word/PPT等文件格式,支持 12+语言互译。

免费翻译文档

深度研究

AI帮你快速写综述,25分钟生成高质量综述,智能提取关键信息,辅助科研写作。

立即免费体验