Suppr超能文献

可能是新诊断溃疡性结肠炎患者的一个起始因素:一项初步研究。

may be an initiating factor in newly diagnosed ulcerative colitis patients: A pilot study.

作者信息

Mansour Loai, El-Kalla Ferial, Kobtan Abdelrahman, Abd-Elsalam Sherief, Yousef Mohamed, Soliman Samah, Ali Lobna Abo, Elkhalawany Walaa, Amer Ibrahim, Harras Heba, Hagras Maha M, Elhendawy Mohamed

机构信息

Tropical Medicine and Infectious Diseases Department, Faculty of Medicine, Tanta University, Tanta 35127, Egypt.

Hepatology and Gastroenterology Department, Faculty of Medicine, Kafr El-Sheikh University, Kafr El-Sheikh 33511, Egypt.

出版信息

World J Clin Cases. 2018 Nov 6;6(13):641-649. doi: 10.12998/wjcc.v6.i13.641.

Abstract

AIM

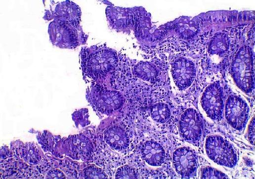
To directly visualize () by the highly sensitive and specific technique of immunohistochemical staining in colonic tissue from patients newly diagnosed with ulcerative colitis (UC).

METHODS

Colonoscopic biopsies from thirty patients with newly diagnosed UC and thirty controls were stained with Giemsa stain and immunohistochemical stain for detection of in the colonic tissue. Results were confirmed by testing Ag in the stool then infected patients were randomized to receive either anti treatment or placebo.

RESULTS

Twelve/30 (40%) of the UC patients were positive for by Giemsa, and 17/30 (56.6%) by immunohistochemistry stain. Among the control group 4/30 (13.3%) and 6/30 (20 %) were positive for by Giemsa and immunohistochemistry staining respectively. was significantly higher in UC than in controls ( = 0.04 and 0.007). All Giemsa positive patients and controls were positive by immunohistochemical stain. Four cases of the control group positive for also showed microscopic features consistent with early UC.

CONCLUSION

can be detected in colonic mucosa of patients with UC and patients with histological superficial ulcerations and mild infiltration consistent with early UC. There seems to be an association between UC and presence of in the colonic tissue. Whether this is a causal relationship or not remains to be discovered.

摘要

目的

通过高灵敏度和特异性的免疫组织化学染色技术,直接观察新诊断为溃疡性结肠炎(UC)患者结肠组织中的()。

方法

对30例新诊断为UC的患者和30例对照者的结肠镜活检组织进行吉姆萨染色和免疫组织化学染色,以检测结肠组织中的()。通过检测粪便中的()抗原对结果进行确认,然后将感染患者随机分为接受抗()治疗组或安慰剂组。

结果

吉姆萨染色显示30例UC患者中有12例(40%)()呈阳性,免疫组织化学染色显示17例(56.6%)呈阳性。对照组中,吉姆萨染色和免疫组织化学染色分别有4例(13.3%)和6例(20%)()呈阳性。UC患者中()阳性率显著高于对照组(分别为P = 0.04和0.007)。所有吉姆萨染色阳性的患者和对照者免疫组织化学染色均为阳性。对照组中4例()阳性的病例也显示出与早期UC一致的微观特征。

结论

在UC患者的结肠黏膜中可检测到(),在组织学表现为浅表溃疡和轻度浸润且与早期UC一致的患者中也可检测到。UC与结肠组织中()的存在之间似乎存在关联。这是否为因果关系仍有待发现。

https://cdn.ncbi.nlm.nih.gov/pmc/blobs/740d/6232561/7c2a1d7fa96e/WJCC-6-641-g001.jpg

文献AI研究员

20分钟写一篇综述,助力文献阅读效率提升50倍。

立即体验

用中文搜PubMed

大模型驱动的PubMed中文搜索引擎

马上搜索

文档翻译

学术文献翻译模型,支持多种主流文档格式。

立即体验