Suppr超能文献

毛蕊异黄酮诱导的活性氧促进人宫颈癌 DNA 链断裂和细胞凋亡。

Reactive oxygen species induced by icaritin promote DNA strand breaks and apoptosis in human cervical cancer cells.

机构信息

Department of Pathogenobiology, The Key Laboratory of Zoonosis, Chinese Ministry of Education, College of Basic Medicine, Jilin University, Changchun, Jilin 130021, P.R. China.

School of Life Sciences, Jilin University, Changchun, Jilin 130012, P.R. China.

出版信息

Oncol Rep. 2019 Feb;41(2):765-778. doi: 10.3892/or.2018.6864. Epub 2018 Nov 12.

Abstract

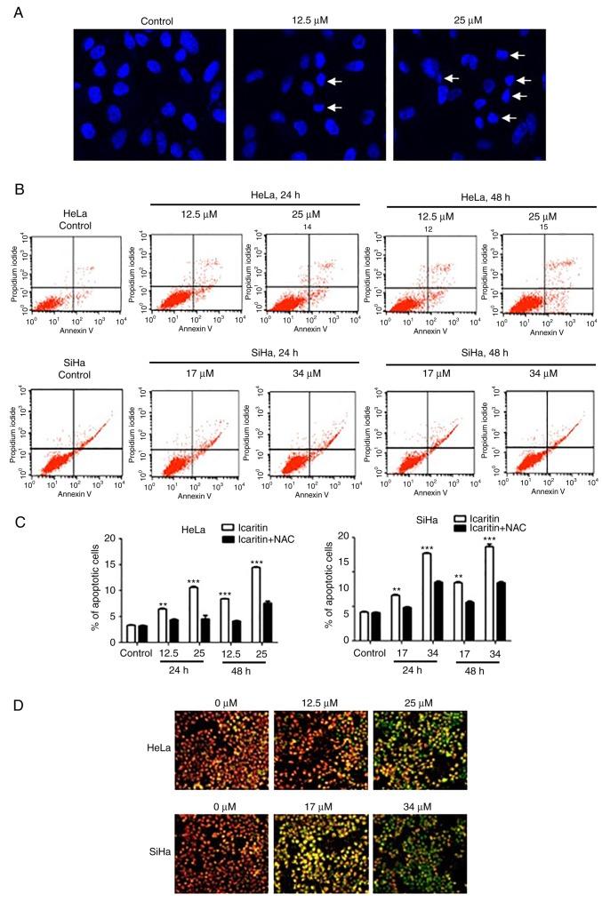
Increased production of reactive oxygen species (ROS) is a distinct feature of various types of cancer. ROS drive tumor progression and render cancer cells vulnerable to additional oxidative insult. The various natural herb compounds have been shown to induce additional production of ROS in cancer cells, although the physiological implications of ROS under these conditions are not fully determined. In the present study, icaritin, a natural compound derived from the medicinal plants Epimedium, was demonstrated to potently suppresses the proliferation of human HeLa and SiHa cervical cancer cells, without similar affects on non-cancerous CCD‑1095Sk fibroblasts and 293 cells, as measured by MTT and colony formation assays. Icaritin treatment caused a rapid increase in ROS in HeLa and SiHa cells, which was followed by a prominent increase in the number of DNA strand breaks. Consequently, the levels of the pro‑apoptotic protein Bax and activated caspase 3 and 9 enzymes were increased, while the levels of the anti‑apoptotic proteins Bcl‑2 and XIAP were downregulated. These protein expression changes were accompanied by marked induction of apoptosis in icaritin‑treated cancer cells. The results suggested that the icaritin‑induced ROS overload promoted cancer cell death via induction of extensive oxidative DNA damage, which subsequently resulted in large numbers of DNA strand breaks and the activation of the intrinsic apoptotic pathway.

摘要

活性氧(ROS)的产生增加是各种类型癌症的一个显著特征。ROS 促进肿瘤进展,并使癌细胞容易受到额外的氧化损伤。已经表明,各种天然草药化合物可诱导癌细胞中 ROS 的额外产生,尽管在这些条件下 ROS 的生理意义尚未完全确定。在本研究中,淫羊藿素,一种源自药用植物淫羊藿的天然化合物,被证明可强力抑制人宫颈癌 HeLa 和 SiHa 细胞的增殖,而对非癌细胞 CCD-1095Sk 成纤维细胞和 293 细胞没有类似的影响,这可通过 MTT 和集落形成测定来衡量。淫羊藿素处理导致 HeLa 和 SiHa 细胞中的 ROS 迅速增加,随后 DNA 链断裂的数量明显增加。结果,促凋亡蛋白 Bax 和活化的 caspase-3 和 9 酶的水平升高,而抗凋亡蛋白 Bcl-2 和 XIAP 的水平下调。这些蛋白表达变化伴随着凋亡小体诱导,表明淫羊藿素诱导的 ROS 过载通过诱导广泛的氧化 DNA 损伤促进癌细胞死亡,进而导致大量 DNA 链断裂和内在凋亡途径的激活。

https://cdn.ncbi.nlm.nih.gov/pmc/blobs/ae86/6312933/7675bb222acf/OR-41-02-0765-g00.jpg

文献AI研究员

20分钟写一篇综述,助力文献阅读效率提升50倍。

立即体验

用中文搜PubMed

大模型驱动的PubMed中文搜索引擎

马上搜索

文档翻译

学术文献翻译模型,支持多种主流文档格式。

立即体验