Suppr超能文献

大脑后动脉丘脑穿通动脉梗死:一种具有多种临床表现的急性诊断挑战。

Artery of Percheron Infarct: An Acute Diagnostic Challenge with a Spectrum of Clinical Presentations.

作者信息

Khanni Javed L, Casale Joel A, Koek Adriana Y, Espinosa Del Pozo Patricio H, Espinosa Patricio S

机构信息

Clinical Biomedical Science, Florida Atlantic University Charles E. Schmidt College of Medicine, Boca Raton, USA.

Internal Medicine, Florida Atlantic University Charles E. Schmidt College of Medicine, Boca Raton, USA.

出版信息

Cureus. 2018 Sep 10;10(9):e3276. doi: 10.7759/cureus.3276.

Abstract

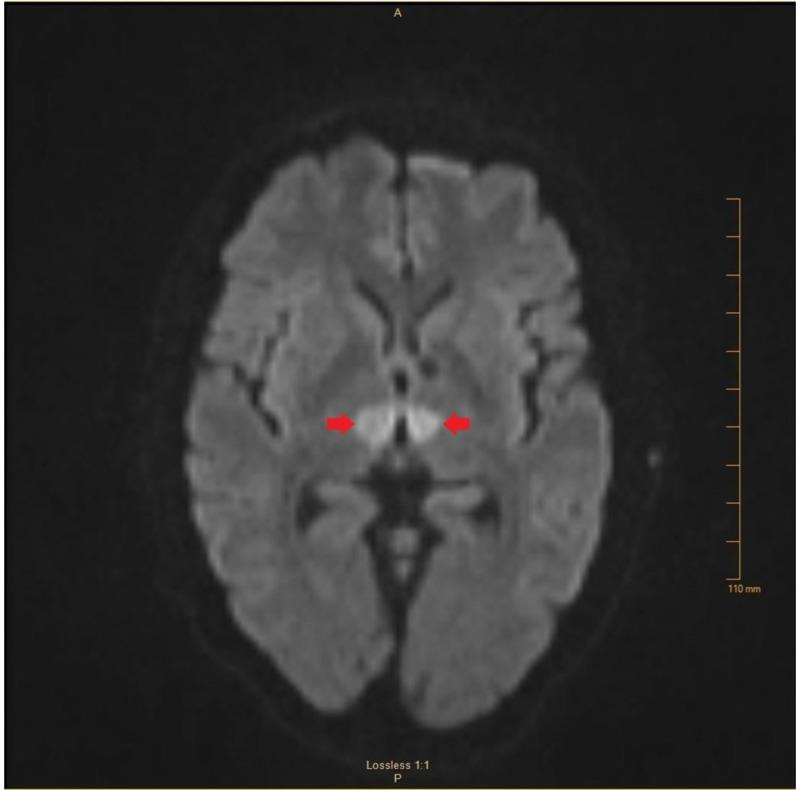
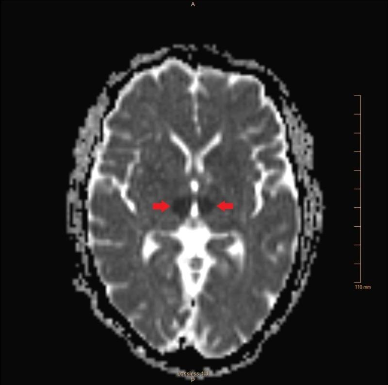
The artery of Percheron (AOP) is a variant of the paramedian thalamic vasculature that supplies blood to the medial aspect of the thalamus and the rostral midbrain. The presentation of an infarct in this territory varies widely and is often characterized by nonspecific neurological deficits, with altered mental status, decreased level of consciousness, and memory impairment being among the most common. AOP infarcts are often missed on initial computed tomography (CT) scan, and additional imaging is usually not done due to low suspicion for stroke in most cases. There have been an increasing number of reports of AOP infarction, illustrating the diversity of clinical presentations and the challenge this presents to clinicians in the acute setting. Lacking the classic signs of stroke, many of these patients experience a delay in recognition and treatment, with the majority of diagnoses occurring outside the tissue plasminogen activator (tPA) window. This case highlights the unusual presentation and diagnostic difficulty of a patient with an AOP infarct, and serves as a reminder to include thalamic pathology in patients presenting with vague neurological symptoms and no obvious signs of stroke.

摘要

佩谢隆动脉(AOP)是丘脑旁正中脉管系统的一种变异,为丘脑内侧和中脑前部供血。该区域梗死的表现差异很大,通常以非特异性神经功能缺损为特征,其中意识状态改变、意识水平下降和记忆障碍最为常见。AOP梗死在初次计算机断层扫描(CT)时常常漏诊,而且在大多数情况下,由于对中风的怀疑度低,通常不会进行进一步的影像学检查。关于AOP梗死的报道越来越多,这说明了临床表现的多样性以及在急性情况下给临床医生带来的挑战。由于缺乏中风的典型体征,许多此类患者在识别和治疗上出现延迟,大多数诊断发生在组织纤溶酶原激活剂(tPA)治疗窗之外。本病例突出了一名AOP梗死患者的不寻常表现和诊断困难,并提醒在出现模糊神经症状且无明显中风体征的患者中要考虑丘脑病变。

https://cdn.ncbi.nlm.nih.gov/pmc/blobs/5f3c/6235647/6e2983ab2cf7/cureus-0010-00000003276-i01.jpg

文献检索

告别复杂PubMed语法,用中文像聊天一样搜索,搜遍4000万医学文献。AI智能推荐,让科研检索更轻松。

立即免费搜索

文件翻译

保留排版,准确专业,支持PDF/Word/PPT等文件格式,支持 12+语言互译。

免费翻译文档

深度研究

AI帮你快速写综述,25分钟生成高质量综述,智能提取关键信息,辅助科研写作。

立即免费体验