Suppr超能文献

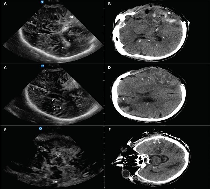
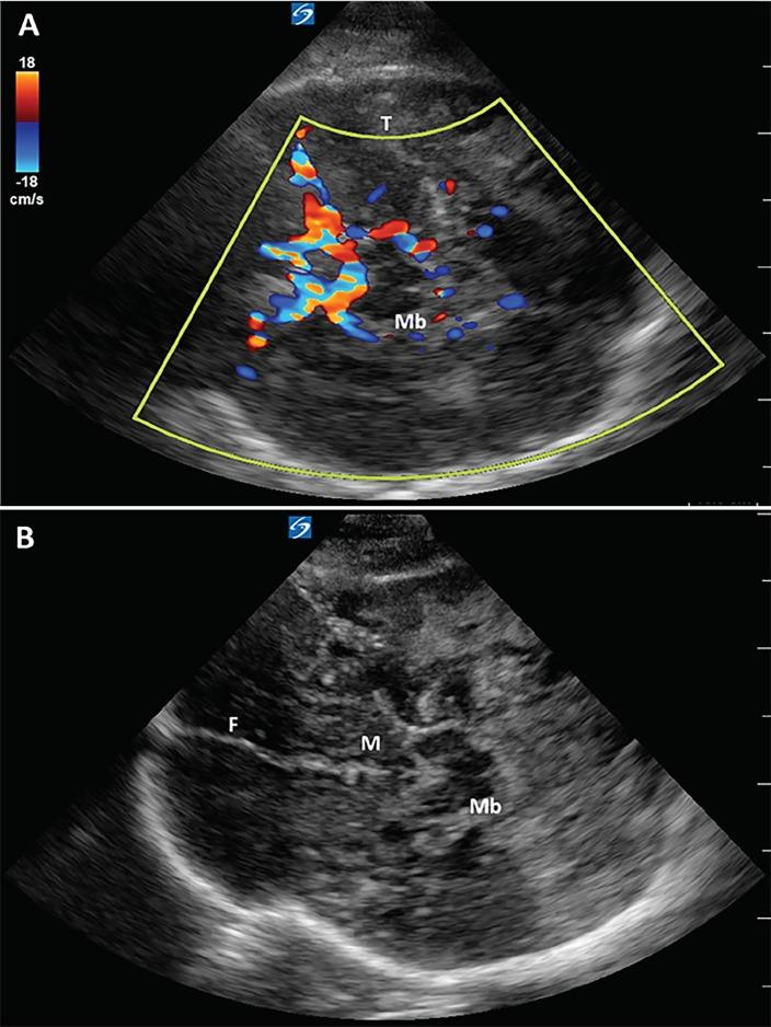
Point-of-care Cranial Ultrasound in a Hemicraniectomy Patient.

作者信息

Sarwal Aarti, Elder Natalie M

机构信息

Wake Forest School of Medicine, Department of Neurology, Winston-Salem, North Carolina.

Wake Forest School of Medicine, Department of Emergency Medicine, Winston-Salem, North Carolina.

出版信息

Clin Pract Cases Emerg Med. 2018 Sep 10;2(4):375-377. doi: 10.5811/cpcem.2018.7.39379. eCollection 2018 Nov.

Abstract
摘要
https://cdn.ncbi.nlm.nih.gov/pmc/blobs/4098/6230339/2822beaaf8a3/cpcem-02-375-g001.jpg

文献AI研究员

20分钟写一篇综述,助力文献阅读效率提升50倍。

立即体验

用中文搜PubMed

大模型驱动的PubMed中文搜索引擎

马上搜索

文档翻译

学术文献翻译模型,支持多种主流文档格式。

立即体验