Suppr超能文献

通过床旁颅脑超声检测脑出血的可行性评估探索性研究。

Exploratory study to assess feasibility of intracerebral hemorrhage detection by point of care cranial ultrasound.

作者信息

Sarwal Aarti, Patel Yash, D'Agostino Ralph, Brown Patrick, Wolfe Stacey Q, Bushnell Cheryl, Glass Casey, Duncan Pamela

机构信息

Neurology, Wake Forest School of Medicine, Winston-Salem, USA.

Wake Forest School of Medicine, Winston-Salem, USA.

出版信息

Ultrasound J. 2022 Oct 17;14(1):40. doi: 10.1186/s13089-022-00289-z.

Abstract

BACKGROUND

Limited studies have evaluated the use of ultrasound for detection of intracerebral hemorrhage (ICH) using diagnostic ultrasound Transcranial Doppler machines in adults. The feasibility of ICH detection using Point of care Ultrasound (POCUS) machines has not been explored. We evaluated the feasibility of using cranial POCUS B mode imaging performed using intensive care unit (ICU) POCUS device for ICH detection with a secondary goal of mapping optimal imaging technique and brain topography likely to affect sensitivity and specificity of ICH detection with POCUS.

MATERIALS AND METHODS

After obtaining IRB approval, a blinded investigator performed cranial ultrasound (Fujifilm, Sonosite Xporte, transcranial and abdominal presets) through temporal windows on 11 patients with intracerebral pathology within 72 h of last CT/MRI (computed tomography scan/magnetic resonance imaging) brain after being admitted to a neurocritical care unit in Aug 2020 and Nov 2020-Mar 2021. Images were then compared to patient's CT/MRI to inform topography. Inferential statistics were reported.

RESULTS

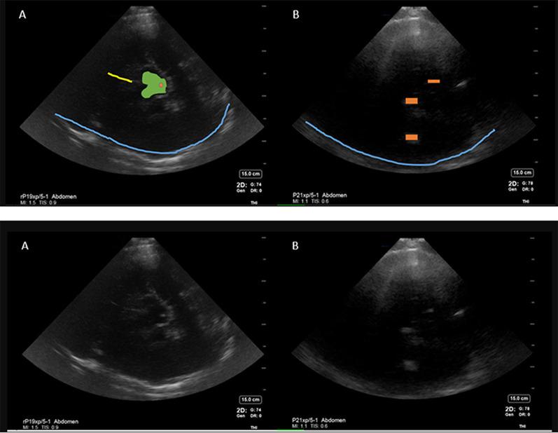
Mean age was 57 (28-77 years) and 6/11 were female. Six patients were diagnosed with ICH, 3 with ischemic stroke, 1 subarachnoid hemorrhage, and 1 brain tumor. The sensitivity and specificity of point of care diagnosis of ICH compared to CT/MRI brain was 100% and 50%, respectively. Mean time between ultrasound scan and CT/MRI was 13.3 h (21 min-39 h). Falx cerebri, choroid calcification and midbrain-related artifacts were the most reproducible hyperechoic signals. Abdominal preset on high gain yielded less artifact than Transcranial Doppler preset for cranial B mode imaging. False positive ICH diagnosis was attributed to intracerebral tumor and midbrain-related artifact.

CONCLUSIONS

Our exploratory analysis yielded preliminary data on use of point of care cranial ultrasound for ICH diagnosis to inform imaging techniques, cranial topography on B mode and sample size estimation for future studies to evaluate sensitivity and specificity of cranial POCUS in adult patients. This pilot study is limited by small sample size and over representation of ICH in the study. Cranial POCUS is feasible using POCUS machines and may have potential as a screening tool if validated in adequately powered studies.

摘要

背景

在成人中,使用诊断性超声经颅多普勒机器检测脑出血(ICH)的研究有限。使用床旁超声(POCUS)机器检测ICH的可行性尚未得到探索。我们评估了使用重症监护病房(ICU)POCUS设备进行头颅POCUS B模式成像检测ICH的可行性,其次要目标是确定可能影响POCUS检测ICH敏感性和特异性的最佳成像技术和脑地形图。

材料与方法

在获得机构审查委员会(IRB)批准后,一名盲法研究者于2020年8月和2020年11月至2021年3月对11例入住神经重症监护病房且在最后一次头颅CT/MRI(计算机断层扫描/磁共振成像)后72小时内患有颅内病变的患者,通过颞窗进行头颅超声检查(富士胶片,索诺声Xporte,经颅和腹部预设)。然后将图像与患者的CT/MRI进行比较以确定脑地形图。报告了推断性统计数据。

结果

平均年龄为57岁(28 - 77岁),11例中有6例为女性。6例患者被诊断为ICH,3例为缺血性卒中,1例为蛛网膜下腔出血,1例为脑肿瘤。与头颅CT/MRI相比,POCUS诊断ICH的敏感性和特异性分别为100%和50%。超声扫描与CT/MRI之间的平均时间为13.3小时(21分钟 - 39小时)。大脑镰、脉络丛钙化和中脑相关伪像是最可重复的高回声信号。对于头颅B模式成像,腹部预设在高增益时产生的伪像比经颅多普勒预设少。ICH诊断的假阳性归因于脑肿瘤和中脑相关伪像。

结论

我们的探索性分析得出了关于使用床旁头颅超声诊断ICH的初步数据,可为成像技术、B模式下脑地形图以及未来评估成人患者头颅POCUS敏感性和特异性研究的样本量估计提供参考。这项初步研究受样本量小以及研究中ICH比例过高的限制。使用POCUS机器进行头颅POCUS是可行的,如果在足够大样本量的研究中得到验证,可能具有作为筛查工具的潜力。

https://cdn.ncbi.nlm.nih.gov/pmc/blobs/1c33/9576831/706eba4bef4a/13089_2022_289_Fig1_HTML.jpg

文献AI研究员

20分钟写一篇综述,助力文献阅读效率提升50倍。

立即体验

用中文搜PubMed

大模型驱动的PubMed中文搜索引擎

马上搜索

文档翻译

学术文献翻译模型,支持多种主流文档格式。

立即体验