Suppr超能文献

外化角蛋白8:结直肠癌细胞微环境与细胞内信号传导界面的一个靶点

Externalized Keratin 8: A Target at the Interface of Microenvironment and Intracellular Signaling in Colorectal Cancer Cells.

作者信息

Albaret Marie Alexandra, Vermot-Desroches Claudine, Paré Arnaud, Roca-Martinez Jean-Xavier, Malet Lucie, Esseily Jad, Gerossier Laetitia, Brière Johan, Pion Nathalie, Marcel Virginie, Catez Frédéric, De Souza Geneviève, Vuillermoz Boris, Doerflinger Franck, Lavocat Emilie, Subiger Olivier, Rousset Carine, Bresson Corinne, Mandon Elodie, Jawhari Anass, Falson Pierre, Jasmin Mélissa, Coute Yohann, Mertani Hichem-Claude, Saintigny Pierre, Diaz Jean-Jacques

机构信息

Univ Lyon, Université Claude Bernard Lyon 1, INSERM U1052, CNRS UMR5286, Centre Léon Bérard, Cancer Research Center of Lyon, 69008 Lyon, France.

Department of Translational Research and Innovation, Centre Léon Bérard, 69373 Lyon, France.

出版信息

Cancers (Basel). 2018 Nov 16;10(11):452. doi: 10.3390/cancers10110452.

Abstract

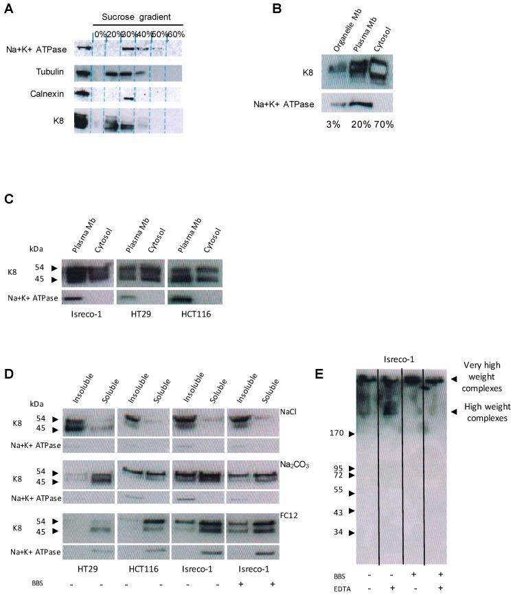
Accumulating evidence supports the remarkable presence at the membrane surface of cancer cells of proteins, which are normally expressed in the intracellular compartment. Although these proteins, referred to as externalized proteins, represent a highly promising source of accessible and druggable targets for cancer therapy, the mechanisms via which they impact cancer biology remain largely unexplored. The aim of this study was to expose an externalized form of cytokeratin 8 (eK8) as a key player of colorectal tumorigenesis and characterize its mode of action. To achieve this, we generated a unique antagonist monoclonal antibody (D-A10 MAb) targeting an eight-amino-acid-long domain of eK8, which enabled us to ascertain the pro-tumoral activity of eK8 in both -mutant and wild-type colorectal cancers (CRC). We showed that this pro-tumoral activity involves a bidirectional eK8-dependent control of caspase-mediated apoptosis in vivo and of the plasminogen-induced invasion process in cellulo. Furthermore, we demonstrated that eK8 is anchored at the plasma membrane supporting this dual function. We, therefore, identified eK8 as an innovative therapeutic target in CRC and provided a unique MAb targeting eK8 that displays anti-neoplastic activities that could be useful to treat CRC, including those harboring mutations.

摘要

越来越多的证据表明,癌细胞膜表面存在通常在细胞内区室表达的蛋白质。尽管这些蛋白质被称为外化蛋白,是癌症治疗中极具潜力的可及且可成药靶点来源,但它们影响癌症生物学的机制仍 largely 未被探索。本研究的目的是揭示细胞角蛋白 8 的外化形式(eK8)作为结直肠癌发生的关键参与者,并表征其作用模式。为实现这一目标,我们生成了一种独特的拮抗单克隆抗体(D - A10 MAb),靶向 eK8 的一个八氨基酸长的结构域,这使我们能够确定 eK8 在 - 突变型和野生型结直肠癌(CRC)中的促肿瘤活性。我们表明,这种促肿瘤活性涉及体内 caspase 介导的凋亡以及体外纤溶酶原诱导的侵袭过程的双向 eK8 依赖性控制。此外,我们证明 eK8 锚定在质膜上支持这种双重功能。因此,我们将 eK8 鉴定为 CRC 中的一个创新治疗靶点,并提供了一种靶向 eK8 的独特 MAb,其显示出可用于治疗 CRC 的抗肿瘤活性,包括那些携带 突变的 CRC。

https://cdn.ncbi.nlm.nih.gov/pmc/blobs/711b/6266717/90471419bf50/cancers-10-00452-g001.jpg

文献检索

告别复杂PubMed语法,用中文像聊天一样搜索,搜遍4000万医学文献。AI智能推荐,让科研检索更轻松。

立即免费搜索

文件翻译

保留排版,准确专业,支持PDF/Word/PPT等文件格式,支持 12+语言互译。

免费翻译文档

深度研究

AI帮你快速写综述,25分钟生成高质量综述,智能提取关键信息,辅助科研写作。

立即免费体验