Suppr超能文献

结直肠癌中的三级淋巴结构及其预后价值。

Tertiary Lymphoid Structures in Colorectal Cancers and Their Prognostic Value.

作者信息

Trajkovski Gjorgji, Ognjenovic Ljubomir, Karadzov Zoran, Jota Gjorgji, Hadzi-Manchev Dragan, Kostovski Ognen, Volcevski Goce, Trajkovska Vanja, Nikolova Dafina, Spasevska Liljana, Janevska Vesna, Janevski Vlado

机构信息

University Clinic of Abdominal Surgery, Faculty of Medicine, Ss. Cyril and Methodius University in Skopje, Skopje, Republic of Macedonia.

University Clinic of TOARILUC, Faculty of Medicine, Ss. Cyril and Methodius University in Skopje, Skopje, Republic of Macedonia.

出版信息

Open Access Maced J Med Sci. 2018 Oct 9;6(10):1824-1828. doi: 10.3889/oamjms.2018.341. eCollection 2018 Oct 25.

Abstract

BACKGROUND

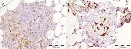
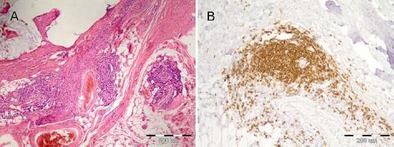
Tumor-infiltrating lymphocytes (TIL) in tumour stroma are considered to be involved in the elimination of malignant cells and prevention of metastasis formation. TIL consist of T lymphocytes including cytotoxic lymphocytes that are a constituent part of the effector mechanism of anti-tumour immunity and B lymphocytes that can form tertiary lymphoid structures (TLS). TLS has been described in several solid tumours and colorectal carcinoma (CRC), and the influence on the local and systemic anti-cancer response.

AIM

This study aimed to quantify the presence of TLS in CRC patients and to determine their role in tumour progression.

PATIENTS AND METHODS

The study included 103 patients with CRC who underwent surgery at the University Clinic of Digestive Surgery in Skopje, whose operative material was analysed at the Institute of Pathology, Medical Faculty in Skopje. The density of TLS was determined and correlated with the neoplasm status of local growth (T), positive lymph nodes, lymphatic invasion, and stage of the disease and tumour grade.

RESULTS

The density of TLS was significantly higher in patients with higher stage, lower T status, and negative lymph nodes, in patients with no lymphatic invasion and with better-differentiated tumours.

CONCLUSION

The density of TLS plays an important role in controlling the tumour growth, and it can be a parameter for neoplasm progression in CRC patients. The density of TLS influences the control of tumour progression.

摘要

背景

肿瘤基质中的肿瘤浸润淋巴细胞(TIL)被认为参与了恶性细胞的清除和转移形成的预防。TIL由T淋巴细胞组成,包括作为抗肿瘤免疫效应机制组成部分的细胞毒性淋巴细胞和可形成三级淋巴结构(TLS)的B淋巴细胞。TLS已在多种实体瘤和结直肠癌(CRC)中被描述,以及其对局部和全身抗癌反应的影响。

目的

本研究旨在量化CRC患者中TLS的存在情况,并确定其在肿瘤进展中的作用。

患者和方法

该研究纳入了103例在斯科普里大学消化外科诊所接受手术的CRC患者,其手术材料在斯科普里医学院病理研究所进行分析。测定TLS的密度,并将其与局部生长(T)的肿瘤状态、阳性淋巴结、淋巴侵犯、疾病分期和肿瘤分级相关联。

结果

在疾病分期较高、T状态较低、淋巴结阴性、无淋巴侵犯且肿瘤分化较好的患者中,TLS的密度显著更高。

结论

TLS的密度在控制肿瘤生长中起重要作用,并且它可以作为CRC患者肿瘤进展的一个参数。TLS的密度影响肿瘤进展的控制。

https://cdn.ncbi.nlm.nih.gov/pmc/blobs/a292/6236051/02117c964162/OAMJMS-6-1824-g001.jpg

文献AI研究员

20分钟写一篇综述,助力文献阅读效率提升50倍。

立即体验

用中文搜PubMed

大模型驱动的PubMed中文搜索引擎

马上搜索

文档翻译

学术文献翻译模型,支持多种主流文档格式。

立即体验