Suppr超能文献

新月体性肾炎兔模型中肾纤维化的分析

Analysis of renal fibrosis in a rabbit model of crescentic nephritis.

作者信息

Downer G, Phan S H, Wiggins R C

机构信息

Department of Internal Medicine, University of Michigan Medical School, Ann Arbor 48109-0602.

出版信息

J Clin Invest. 1988 Sep;82(3):998-1006. doi: 10.1172/JCI113710.

Abstract

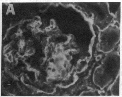
The pathogenesis of renal fibrosis in crescentic nephritis is incompletely understood. To improve our understanding of this process, crescentic nephritis was induced in New Zealand White rabbits by administration of guinea pig antiglomerular basement membrane IgG after sensitization with guinea pig IgG, and their kidneys were analyzed for the development of fibrosis. Collagen synthesis in renal cortical tissue was significantly elevated by day 3, peaked at days 7-15, and returned towards baseline by day 21. Collagen content of both glomeruli and cortex were increased starting on days 14-16, and remained constant in cortex thereafter. Light microscopic analysis was much less sensitive, revealing fibrosis only after day 21. Immunofluorescence revealed that type IV collagen was distributed primarily in the glomerulus, while types I and III were increased in the glomerulus and interstitium. Thus, in this model of crescentic nephritis, fibrosis, as assessed biochemically, developed early at time points when morphologic analysis failed to detect such a development. Hence early therapeutic intervention, before morphologic evidence of fibrosis is evident, may be more successful in arresting the progression of this disease before it reaches irreversible terminal stages.

摘要

新月体性肾炎肾纤维化的发病机制尚未完全明确。为增进对这一过程的了解,在用豚鼠免疫球蛋白G致敏后,给新西兰白兔注射豚鼠抗肾小球基底膜免疫球蛋白G以诱发新月体性肾炎,并对其肾脏进行纤维化发展情况分析。肾皮质组织中的胶原蛋白合成在第3天显著升高,在第7 - 15天达到峰值,并在第21天恢复至基线水平。肾小球和皮质的胶原蛋白含量从第14 - 16天开始增加,此后皮质中的含量保持稳定。光学显微镜分析的敏感性要低得多,仅在第21天后才显示出纤维化。免疫荧光显示,IV型胶原蛋白主要分布在肾小球中,而I型和III型在肾小球和间质中增加。因此,在这个新月体性肾炎模型中,通过生化评估发现,纤维化在形态学分析未能检测到这种发展的早期时间点就已出现。因此,在纤维化的形态学证据明显之前进行早期治疗干预,可能更成功地在疾病发展到不可逆的终末期之前阻止其进展。

https://cdn.ncbi.nlm.nih.gov/pmc/blobs/546c/303614/4ca4e1cc6b1f/jcinvest00081-0260-a.jpg

文献检索

告别复杂PubMed语法,用中文像聊天一样搜索,搜遍4000万医学文献。AI智能推荐,让科研检索更轻松。

立即免费搜索

文件翻译

保留排版,准确专业,支持PDF/Word/PPT等文件格式,支持 12+语言互译。

免费翻译文档

深度研究

AI帮你快速写综述,25分钟生成高质量综述,智能提取关键信息,辅助科研写作。

立即免费体验