Wilke Marko, Groeschel Samuel, Lorenzen Anna, Rona Sabine, Schuhmann Martin U, Ernemann Ulrike, Krägeloh-Mann Ingeborg
Department of Pediatric Neurology and Developmental Medicine Children's Hospital Tuebingen Germany.
Children's Hospital and Department of Neuroradiology Experimental Pediatric Neuroimaging Tuebingen Germany.
Ann Clin Transl Neurol. 2018 Sep 27;5(11):1434-1455. doi: 10.1002/acn3.658. eCollection 2018 Nov.
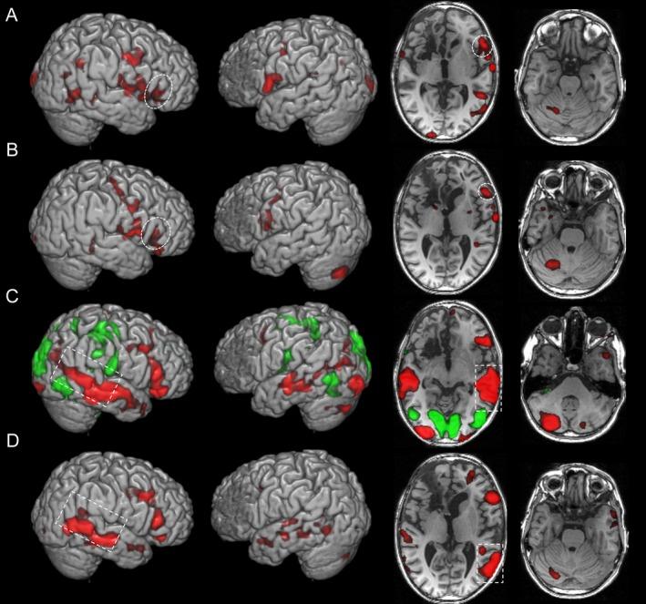
The application of both functional MRI and diffusion MR tractography prior to a neurosurgical operation is well established in adults, but less so in children, for several reasons. For this review, we have identified several aspects (task design, subject preparation, actual scanning session, data processing, interpretation of results, and decision-making) where pediatric peculiarities should be taken into account. Further, we not only systematically identify common issues, but also provide solutions, based on our experience as well as a review of the pertinent literature. The aim is to provide the clinician as well as the imaging scientist with information that helps to plan, conduct, and interpret such a clinically-indicated exam in a way that maximizes benefit for, and minimizes the burden on the individual child.
在成人中,神经外科手术前应用功能磁共振成像(fMRI)和磁共振扩散张量纤维束成像(DTI)已得到充分证实,但在儿童中应用较少,原因有几个。在本次综述中,我们确定了几个应考虑儿童特殊性的方面(任务设计、受试者准备、实际扫描过程、数据处理、结果解读和决策)。此外,我们不仅系统地识别常见问题,还根据我们的经验以及对相关文献的综述提供解决方案。目的是为临床医生和影像科学家提供信息,以帮助他们规划、进行和解读这种有临床指征的检查,从而最大程度地使个体儿童受益并减轻其负担。