• 文献检索
  • 文档翻译
  • 深度研究
  • 学术资讯
  • Suppr Zotero 插件Zotero 插件
  • 邀请有礼
  • 套餐&价格
  • 历史记录
应用&插件
Suppr Zotero 插件Zotero 插件浏览器插件Mac 客户端Windows 客户端微信小程序
定价
高级版会员购买积分包购买API积分包
服务
文献检索文档翻译深度研究API 文档MCP 服务
关于我们
关于 Suppr公司介绍联系我们用户协议隐私条款
关注我们

Suppr 超能文献

核心技术专利:CN118964589B侵权必究
粤ICP备2023148730 号-1Suppr @ 2026

文献检索

告别复杂PubMed语法,用中文像聊天一样搜索,搜遍4000万医学文献。AI智能推荐,让科研检索更轻松。

立即免费搜索

文件翻译

保留排版,准确专业,支持PDF/Word/PPT等文件格式,支持 12+语言互译。

免费翻译文档

深度研究

AI帮你快速写综述,25分钟生成高质量综述,智能提取关键信息,辅助科研写作。

立即免费体验

SLC25A22通过PTEN信号通路促进骨肉瘤细胞的增殖和转移。

SLC25A22 Promotes Proliferation and Metastasis of Osteosarcoma Cells via the PTEN Signaling Pathway.

作者信息

Chen Ming-Wei, Wu Xue-Jian

机构信息

1 Orthopedics department, The First Affiliated Hospital of Zhengzhou University, Zhengzhou, Henan province, China.

出版信息

Technol Cancer Res Treat. 2018 Jan 1;17:1533033818811143. doi: 10.1177/1533033818811143.

DOI:10.1177/1533033818811143
PMID:30482097
原文链接:https://pmc.ncbi.nlm.nih.gov/articles/PMC6259056/
Abstract

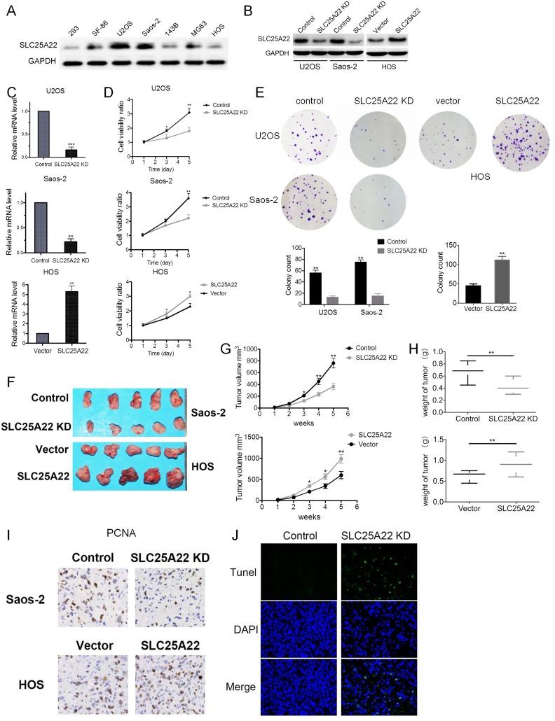
Osteosarcoma is a highly malignant bone tumor. However, due to the high complexity of the occurrence and metastasis of osteosarcoma, the exact mechanism promoting its development and progression remains to be elucidated. This study highlights the causal link between solute carrier family 25 member 22 (SLC25A22) and the development, progression, and metastasis of osteosarcoma. SLC25A22 is upregulated in human osteosarcoma and predicts a poor prognosis. The upregulation of SLC25A22 in osteosarcoma tissues was significantly associated with cell proliferation, invasion, and metastasis. Studies of functional gain (overexpression) and loss (knockdown) showed that SLC25A22 significantly increases the ability of osteosarcoma cells to proliferate, as well as invade and metastasize in vitro. At the same time, the expression of SLC25A22 promoted the progression of the cellcycle of osteosarcoma cell lines and inhibited the apoptosis of osteosarcoma cells. Analysis using a mouse xenograft model showed that xenografts of SLC25A22 stable overexpressing osteosarcoma cells had a significant increase in tumor volume and weight compared to the control group. Lung metastasis models in mice showed that expression of SLC25A22 promoted lung metastasis of osteosarcoma in vivo. Furthermore, SLC25A22 inhibited phosphatase and tensin homolog expression and increased phosphorylation of protein kinase b (Akt) and Focal Adhesion Kinase (FAK) in the phosphatase and tensin homolog signaling pathway. In summary, SLC25A22 is highly expressed in osteosarcoma, promoting osteosarcoma cell proliferation and invasion by inhibiting the phosphatase and tensin homolog signaling pathway.

摘要

骨肉瘤是一种高度恶性的骨肿瘤。然而,由于骨肉瘤发生和转移的高度复杂性,其促进发展和进展的确切机制仍有待阐明。本研究强调了溶质载体家族25成员22(SLC25A22)与骨肉瘤的发生、发展和转移之间的因果关系。SLC25A22在人类骨肉瘤中上调,并预示预后不良。骨肉瘤组织中SLC25A22的上调与细胞增殖、侵袭和转移显著相关。功能获得(过表达)和缺失(敲低)研究表明,SLC25A22显著增加骨肉瘤细胞的增殖能力,以及在体外的侵袭和转移能力。同时,SLC25A22的表达促进了骨肉瘤细胞系细胞周期的进展,并抑制了骨肉瘤细胞的凋亡。使用小鼠异种移植模型分析表明,与对照组相比,SLC25A22稳定过表达的骨肉瘤细胞异种移植瘤的体积和重量显著增加。小鼠肺转移模型表明,SLC25A22的表达促进了骨肉瘤在体内的肺转移。此外,SLC25A22抑制磷酸酶和张力蛋白同源物的表达,并增加了磷酸酶和张力蛋白同源物信号通路中蛋白激酶b(Akt)和粘着斑激酶(FAK)的磷酸化。总之,SLC25A22在骨肉瘤中高表达,通过抑制磷酸酶和张力蛋白同源物信号通路促进骨肉瘤细胞增殖和侵袭。

https://cdn.ncbi.nlm.nih.gov/pmc/blobs/4ec8/6259056/cc9b75cb100c/10.1177_1533033818811143-fig4.jpg
https://cdn.ncbi.nlm.nih.gov/pmc/blobs/4ec8/6259056/b154148feaab/10.1177_1533033818811143-fig1.jpg
https://cdn.ncbi.nlm.nih.gov/pmc/blobs/4ec8/6259056/6e4f01d49971/10.1177_1533033818811143-fig2.jpg
https://cdn.ncbi.nlm.nih.gov/pmc/blobs/4ec8/6259056/c45a788146ca/10.1177_1533033818811143-fig3.jpg
https://cdn.ncbi.nlm.nih.gov/pmc/blobs/4ec8/6259056/cc9b75cb100c/10.1177_1533033818811143-fig4.jpg
https://cdn.ncbi.nlm.nih.gov/pmc/blobs/4ec8/6259056/b154148feaab/10.1177_1533033818811143-fig1.jpg
https://cdn.ncbi.nlm.nih.gov/pmc/blobs/4ec8/6259056/6e4f01d49971/10.1177_1533033818811143-fig2.jpg
https://cdn.ncbi.nlm.nih.gov/pmc/blobs/4ec8/6259056/c45a788146ca/10.1177_1533033818811143-fig3.jpg
https://cdn.ncbi.nlm.nih.gov/pmc/blobs/4ec8/6259056/cc9b75cb100c/10.1177_1533033818811143-fig4.jpg

相似文献

1
SLC25A22 Promotes Proliferation and Metastasis of Osteosarcoma Cells via the PTEN Signaling Pathway.SLC25A22通过PTEN信号通路促进骨肉瘤细胞的增殖和转移。
Technol Cancer Res Treat. 2018 Jan 1;17:1533033818811143. doi: 10.1177/1533033818811143.
2
MicroRNA-1908 is upregulated in human osteosarcoma and regulates cell proliferation and migration by repressing PTEN expression.微小RNA-1908在人类骨肉瘤中上调,并通过抑制PTEN表达来调节细胞增殖和迁移。
Oncol Rep. 2015 Nov;34(5):2706-14. doi: 10.3892/or.2015.4242. Epub 2015 Sep 1.
3
SLC25A22 Promotes Proliferation and Survival of Colorectal Cancer Cells With KRAS Mutations and Xenograft Tumor Progression in Mice via Intracellular Synthesis of Aspartate.SLC25A22 通过在细胞内合成天冬氨酸促进具有 KRAS 突变的结直肠癌细胞的增殖和存活,并促进小鼠异种移植肿瘤的进展。
Gastroenterology. 2016 Nov;151(5):945-960.e6. doi: 10.1053/j.gastro.2016.07.011. Epub 2016 Jul 21.
4
MicroRNA-92a promotes epithelial-mesenchymal transition through activation of PTEN/PI3K/AKT signaling pathway in non-small cell lung cancer metastasis.微小 RNA-92a 通过激活 PTEN/PI3K/AKT 信号通路促进非小细胞肺癌转移中的上皮-间充质转化。
Int J Oncol. 2017 Jul;51(1):235-244. doi: 10.3892/ijo.2017.3999. Epub 2017 May 16.
5
HIF‑1α‑induced upregulation of lncRNA UCA1 promotes cell growth in osteosarcoma by inactivating the PTEN/AKT signaling pathway.低氧诱导因子 1α 诱导的长链非编码 RNA UCA1 通过失活 PTEN/AKT 信号通路促进骨肉瘤细胞生长。
Oncol Rep. 2018 Mar;39(3):1072-1080. doi: 10.3892/or.2018.6182. Epub 2018 Jan 3.
6
MicroRNA-196a overexpression promotes cell proliferation and inhibits cell apoptosis through PTEN/Akt/FOXO1 pathway.微小RNA-196a过表达通过PTEN/Akt/FOXO1通路促进细胞增殖并抑制细胞凋亡。
Int J Clin Exp Pathol. 2015 Mar 1;8(3):2461-72. eCollection 2015.
7
HER4 promotes the growth and metastasis of osteosarcoma via the PI3K/AKT pathway.HER4 通过 PI3K/AKT 通路促进骨肉瘤的生长和转移。
Acta Biochim Biophys Sin (Shanghai). 2020 Apr 20;52(4):345-362. doi: 10.1093/abbs/gmaa004.
8
miR-92a promotes tumor growth of osteosarcoma by targeting PTEN/AKT signaling pathway.微小RNA-92a通过靶向磷脂酰肌醇-3-激酶的磷酸酶和张力蛋白同源物/蛋白激酶B信号通路促进骨肉瘤的肿瘤生长。
Oncol Rep. 2017 Apr;37(4):2513-2521. doi: 10.3892/or.2017.5484. Epub 2017 Mar 2.
9
Honokiol suppresses proliferation and induces apoptosis via regulation of the miR‑21/PTEN/PI3K/AKT signaling pathway in human osteosarcoma cells.和厚朴酚通过调节 miR-21/PTEN/PI3K/AKT 信号通路抑制人骨肉瘤细胞增殖并诱导其凋亡。
Int J Mol Med. 2018 Apr;41(4):1845-1854. doi: 10.3892/ijmm.2018.3433. Epub 2018 Jan 29.
10
SIX1 reduces the expression of PTEN via activating PI3K/AKT signal to promote cell proliferation and tumorigenesis in osteosarcoma.SIX1 通过激活 PI3K/AKT 信号降低 PTEN 的表达,从而促进骨肉瘤细胞增殖和肿瘤发生。
Biomed Pharmacother. 2018 Sep;105:10-17. doi: 10.1016/j.biopha.2018.04.028. Epub 2018 May 26.

引用本文的文献

1
Building a Therapeutic Bridge Between Dogs and Humans: A Review of Potential Cross-Species Osteosarcoma Biomarkers.搭建犬类与人类之间的治疗桥梁:潜在跨物种骨肉瘤生物标志物综述
Int J Mol Sci. 2025 May 28;26(11):5152. doi: 10.3390/ijms26115152.
2
The Role of Mitochondrial Solute Carriers SLC25 in Cancer Metabolic Reprogramming: Current Insights and Future Perspectives.线粒体溶质载体SLC25在癌症代谢重编程中的作用:当前见解与未来展望
Int J Mol Sci. 2024 Dec 26;26(1):92. doi: 10.3390/ijms26010092.
3
Identification of Some Glutamic Acid Derivatives with Biological Potential by Computational Methods.

本文引用的文献

1
Increased survival of patients aged 0-29 years with osteosarcoma: A period analysis, 1984-2013.0-29 岁骨肉瘤患者生存率的提高:1984-2013 年的时间分析。
Cancer Med. 2018 Aug;7(8):3652-3661. doi: 10.1002/cam4.1659. Epub 2018 Jul 10.
2
HIF‑1α‑induced upregulation of lncRNA UCA1 promotes cell growth in osteosarcoma by inactivating the PTEN/AKT signaling pathway.低氧诱导因子 1α 诱导的长链非编码 RNA UCA1 通过失活 PTEN/AKT 信号通路促进骨肉瘤细胞生长。
Oncol Rep. 2018 Mar;39(3):1072-1080. doi: 10.3892/or.2018.6182. Epub 2018 Jan 3.
3
LC-MS-based metabolomics revealed SLC25A22 as an essential regulator of aspartate-derived amino acids and polyamines in -mutant colorectal cancer.
通过计算方法鉴定具有生物潜力的一些谷氨酸衍生物。
Molecules. 2023 May 16;28(10):4123. doi: 10.3390/molecules28104123.
4
SLC25A22 as a Key Mitochondrial Transporter Against Ferroptosis by Producing Glutathione and Monounsaturated Fatty Acids.SLC25A22 作为一种关键的线粒体转运蛋白,通过产生谷胱甘肽和单不饱和脂肪酸来抵抗铁死亡。
Antioxid Redox Signal. 2023 Jul;39(1-3):166-185. doi: 10.1089/ars.2022.0203. Epub 2023 May 4.
5
Role of Mitochondrial Transporters on Metabolic Rewiring of Pancreatic Adenocarcinoma: A Comprehensive Review.线粒体转运体在胰腺腺癌代谢重编程中的作用:综述
Cancers (Basel). 2023 Jan 8;15(2):411. doi: 10.3390/cancers15020411.
6
Identification of a Solute Carrier Family-Based Signature for Predicting Overall Survival in Osteosarcoma.基于溶质载体家族特征预测骨肉瘤总生存期的研究
Front Genet. 2022 Apr 19;13:849789. doi: 10.3389/fgene.2022.849789. eCollection 2022.
7
Liensinine Inhibits Osteosarcoma Growth by ROS-Mediated Suppression of the JAK2/STAT3 Signaling Pathway.莲心碱通过 ROS 介导的抑制 JAK2/STAT3 信号通路抑制骨肉瘤生长。
Oxid Med Cell Longev. 2022 Jan 25;2022:8245614. doi: 10.1155/2022/8245614. eCollection 2022.
8
Glutamine-Derived Aspartate Biosynthesis in Cancer Cells: Role of Mitochondrial Transporters and New Therapeutic Perspectives.癌细胞中谷氨酰胺衍生天冬氨酸的生物合成:线粒体转运体的作用及新的治疗前景
Cancers (Basel). 2022 Jan 4;14(1):245. doi: 10.3390/cancers14010245.
9
Osteosarcoma and Metastasis.骨肉瘤与转移
Front Oncol. 2021 Dec 10;11:780264. doi: 10.3389/fonc.2021.780264. eCollection 2021.
10
Biomarkers predicting the response to chemotherapy and the prognosis in patients with esophageal squamous cell carcinoma.预测食管鳞癌患者对化疗反应和预后的生物标志物。
Gen Thorac Cardiovasc Surg. 2021 Mar;69(3):525-533. doi: 10.1007/s11748-021-01586-5. Epub 2021 Jan 15.
基于液相色谱-质谱联用的代谢组学研究表明,SLC25A22是突变型结直肠癌中天冬氨酸衍生氨基酸和多胺的关键调节因子。
Oncotarget. 2017 Sep 20;8(60):101333-101344. doi: 10.18632/oncotarget.21093. eCollection 2017 Nov 24.
4
Expression of NF-κB and PTEN in osteosarcoma and its clinical significance.NF-κB和PTEN在骨肉瘤中的表达及其临床意义。
Oncol Lett. 2017 Dec;14(6):6744-6748. doi: 10.3892/ol.2017.6972. Epub 2017 Sep 15.
5
Metabolism in cancer metastasis: bioenergetics, biosynthesis, and beyond.癌症转移中的代谢:生物能量学、生物合成及其他。
Wiley Interdiscip Rev Syst Biol Med. 2018 Mar;10(2). doi: 10.1002/wsbm.1406. Epub 2017 Oct 9.
6
EIF3D promotes gallbladder cancer development by stabilizing GRK2 kinase and activating PI3K-AKT signaling pathway.EIF3D通过稳定GRK2激酶并激活PI3K-AKT信号通路促进胆囊癌发展。
Cell Death Dis. 2017 Jun 8;8(6):e2868. doi: 10.1038/cddis.2017.263.
7
Dihydroartemisinin inhibits TCTP-dependent metastasis in gallbladder cancer.双氢青蒿素抑制胆囊癌中TCTP依赖的转移。
J Exp Clin Cancer Res. 2017 May 15;36(1):68. doi: 10.1186/s13046-017-0531-3.
8
Cancer, Oxidative Stress, and Metastasis.癌症、氧化应激与转移
Cold Spring Harb Symp Quant Biol. 2016;81:163-175. doi: 10.1101/sqb.2016.81.030791. Epub 2017 Jan 12.
9
AgeStandardized Incidence Rates and Survival of Osteosarcoma in Northern Thailand.泰国北部骨肉瘤的年龄标准化发病率和生存率
Asian Pac J Cancer Prev. 2016;17(7):3455-8.
10
SLC25A22 Promotes Proliferation and Survival of Colorectal Cancer Cells With KRAS Mutations and Xenograft Tumor Progression in Mice via Intracellular Synthesis of Aspartate.SLC25A22 通过在细胞内合成天冬氨酸促进具有 KRAS 突变的结直肠癌细胞的增殖和存活,并促进小鼠异种移植肿瘤的进展。
Gastroenterology. 2016 Nov;151(5):945-960.e6. doi: 10.1053/j.gastro.2016.07.011. Epub 2016 Jul 21.