Suppr超能文献

丛林猫的体内寄生虫及其病理损伤

Endoparasites of Jungle Cats () and Their Pathologic Lesions.

作者信息

Tabaripour Seyed Reza, Youssefi Mohammad Reza, Hosseini Seyed Mohammad

机构信息

Dept. of Cellular and Molecular, Babol Branch, Islamic Azad University, Babol, Iran.

Dept. of Veterinary Parasitology, Babol Branch, Islamic Azad University, Babol, Iran.

出版信息

Iran J Parasitol. 2018 Jul-Sep;13(3):480-485.

Abstract

BACKGROUND

The jungle cats () are native to Asia, and found in Iran. Although north of Iran has a wide distribution of jungle cats, there is not any data about prevalence of parasitic infections in the population of these cats.

METHODS

From 2012 to 2015, seven specimens of the wild jungle cat () from north of Iran, Mazandaran Province, northern Iran were collected and examined for their endoparasites and pathological lesions which were caused by the parasites.

RESULTS

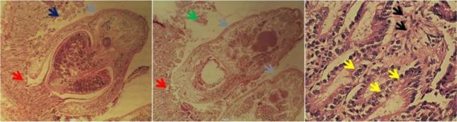
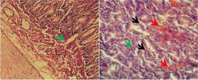
Parasitological evaluations showed several species of endoparasites in the small intestine of cats including nematode (), trematode (), and cestode (). All of the examined jungle cats were infected to parasitic infections. From the total number of 7 jungle cats was found in 6 cats, in 1 cat, and was recovered from 3 cats. Histopathological samples displayed necrosis, vacuolar degeneration, atrophy, destruction of tissue, hyperemia, and infiltration of inflammatory cells in the intestine tissue.

CONCLUSION

This study for the first reported , and and their pathologic effects in the small intestine of jungle cat.

摘要

背景

丛林猫原产于亚洲,在伊朗也有发现。尽管伊朗北部丛林猫分布广泛,但尚无关于这些猫群中寄生虫感染流行情况的数据。

方法

2012年至2015年,从伊朗北部马赞德兰省收集了7只野生丛林猫样本,检查其体内寄生虫及由寄生虫引起的病理损伤。

结果

寄生虫学评估显示,猫的小肠中有几种体内寄生虫,包括线虫、吸虫和绦虫。所有检查的丛林猫都感染了寄生虫。在总共7只丛林猫中,6只发现有线虫,1只发现有吸虫,3只发现有绦虫。组织病理学样本显示肠道组织出现坏死、空泡变性、萎缩、组织破坏、充血和炎症细胞浸润。

结论

本研究首次报告了丛林猫小肠中的线虫、吸虫和绦虫及其病理影响。

https://cdn.ncbi.nlm.nih.gov/pmc/blobs/a7fe/6243172/b82e29104715/IJPA-13-480-g001.jpg

文献检索

告别复杂PubMed语法,用中文像聊天一样搜索,搜遍4000万医学文献。AI智能推荐,让科研检索更轻松。

立即免费搜索

文件翻译

保留排版,准确专业,支持PDF/Word/PPT等文件格式,支持 12+语言互译。

免费翻译文档

深度研究

AI帮你快速写综述,25分钟生成高质量综述,智能提取关键信息,辅助科研写作。

立即免费体验