• 文献检索
  • 文档翻译
  • 深度研究
  • 学术资讯
  • Suppr Zotero 插件Zotero 插件
  • 邀请有礼
  • 套餐&价格
  • 历史记录
应用&插件
Suppr Zotero 插件Zotero 插件浏览器插件Mac 客户端Windows 客户端微信小程序
定价
高级版会员购买积分包购买API积分包
服务
文献检索文档翻译深度研究API 文档MCP 服务
关于我们
关于 Suppr公司介绍联系我们用户协议隐私条款
关注我们

Suppr 超能文献

核心技术专利:CN118964589B侵权必究
粤ICP备2023148730 号-1Suppr @ 2026

文献检索

告别复杂PubMed语法,用中文像聊天一样搜索,搜遍4000万医学文献。AI智能推荐,让科研检索更轻松。

立即免费搜索

文件翻译

保留排版,准确专业,支持PDF/Word/PPT等文件格式,支持 12+语言互译。

免费翻译文档

深度研究

AI帮你快速写综述,25分钟生成高质量综述,智能提取关键信息,辅助科研写作。

立即免费体验

由胰蛋白酶原自动激活驱动的慢性胰腺炎临床前模型。

A preclinical model of chronic pancreatitis driven by trypsinogen autoactivation.

机构信息

Center for Exocrine Disorders, Department of Molecular and Cell Biology, Boston University Henry M. Goldman School of Dental Medicine, Boston, MA, 02118, USA.

出版信息

Nat Commun. 2018 Nov 28;9(1):5033. doi: 10.1038/s41467-018-07347-y.

DOI:10.1038/s41467-018-07347-y
PMID:30487519
原文链接:https://pmc.ncbi.nlm.nih.gov/articles/PMC6261995/
Abstract

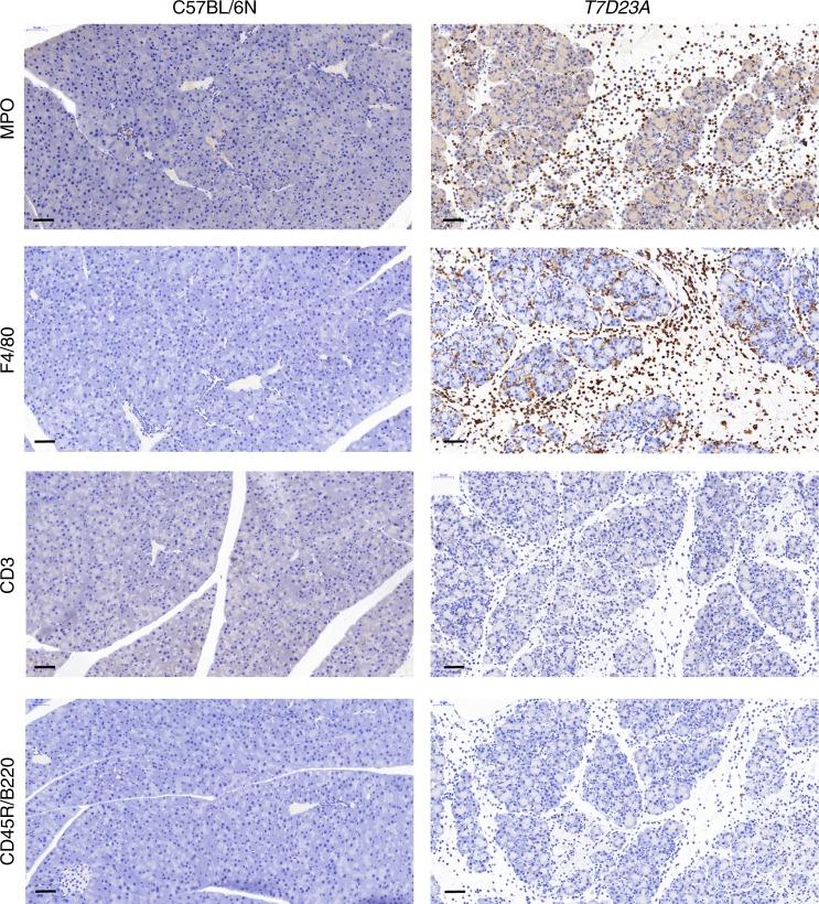
Inflammatory diseases of the pancreas have no specific therapy. Discovery of the genetic basis of chronic pancreatitis identified the digestive enzyme trypsin as a therapeutic target. Preclinical testing of trypsin inhibition has been hampered by the lack of animal models. Here we report the T7D23A knock-in mouse, which carries a heterozygous p.D23A mutation in mouse cationic trypsinogen (isoform T7). This trypsinogen mutant autoactivates to trypsin 50-fold faster than wild type. T7D23A mice develop spontaneous acute pancreatitis with edema, necrosis and serum amylase elevation at an early age followed by progressive atrophic chronic pancreatitis with acinar cell loss, fibrosis, dilated ducts and adipose replacement. Markedly elevated trypsin activity is apparent at first signs of pancreatitis and persists into later stages of the disease. This remarkable model provides in vivo proof of concept that trypsinogen autoactivation can drive onset and progression of chronic pancreatitis and therapy should be directed against intra-pancreatic trypsin.

摘要

胰腺的炎症性疾病尚无特定疗法。慢性胰腺炎的遗传基础的发现确定了消化酶胰蛋白酶是一个治疗靶点。由于缺乏动物模型,胰蛋白酶抑制的临床前测试受到了阻碍。在这里,我们报告了 T7D23A 敲入小鼠,其携带阳离子胰蛋白酶原(同工型 T7)中的杂合 p.D23A 突变。这种胰蛋白酶原突变体比野生型自动激活为胰蛋白酶的速度快 50 倍。T7D23A 小鼠在早期就会自发发生急性胰腺炎,伴有水肿、坏死和血清淀粉酶升高,随后会进展为进行性萎缩性慢性胰腺炎,伴有腺泡细胞丢失、纤维化、扩张的导管和脂肪替代。在胰腺炎的最初迹象时就明显出现显著升高的胰蛋白酶活性,并持续存在于疾病的后期阶段。这个显著的模型提供了体内概念验证,即胰蛋白酶原自动激活可以驱动慢性胰腺炎的发生和进展,并且治疗应该针对胰腺内的胰蛋白酶。

https://cdn.ncbi.nlm.nih.gov/pmc/blobs/5915/6261995/e38fec967b4e/41467_2018_7347_Fig5_HTML.jpg
https://cdn.ncbi.nlm.nih.gov/pmc/blobs/5915/6261995/f63b870d0132/41467_2018_7347_Fig1_HTML.jpg
https://cdn.ncbi.nlm.nih.gov/pmc/blobs/5915/6261995/fc8e9210d674/41467_2018_7347_Fig2_HTML.jpg
https://cdn.ncbi.nlm.nih.gov/pmc/blobs/5915/6261995/3feb47a27899/41467_2018_7347_Fig3_HTML.jpg
https://cdn.ncbi.nlm.nih.gov/pmc/blobs/5915/6261995/3c5eb85117c3/41467_2018_7347_Fig4_HTML.jpg
https://cdn.ncbi.nlm.nih.gov/pmc/blobs/5915/6261995/e38fec967b4e/41467_2018_7347_Fig5_HTML.jpg
https://cdn.ncbi.nlm.nih.gov/pmc/blobs/5915/6261995/f63b870d0132/41467_2018_7347_Fig1_HTML.jpg
https://cdn.ncbi.nlm.nih.gov/pmc/blobs/5915/6261995/fc8e9210d674/41467_2018_7347_Fig2_HTML.jpg
https://cdn.ncbi.nlm.nih.gov/pmc/blobs/5915/6261995/3feb47a27899/41467_2018_7347_Fig3_HTML.jpg
https://cdn.ncbi.nlm.nih.gov/pmc/blobs/5915/6261995/3c5eb85117c3/41467_2018_7347_Fig4_HTML.jpg
https://cdn.ncbi.nlm.nih.gov/pmc/blobs/5915/6261995/e38fec967b4e/41467_2018_7347_Fig5_HTML.jpg

相似文献

1
A preclinical model of chronic pancreatitis driven by trypsinogen autoactivation.由胰蛋白酶原自动激活驱动的慢性胰腺炎临床前模型。
Nat Commun. 2018 Nov 28;9(1):5033. doi: 10.1038/s41467-018-07347-y.
2
Mutation That Promotes Activation of Trypsinogen Increases Severity of Secretagogue-Induced Pancreatitis in Mice.促进胰蛋白酶原激活的突变可增加小鼠促分泌素诱导的胰腺炎的严重程度。
Gastroenterology. 2020 Mar;158(4):1083-1094. doi: 10.1053/j.gastro.2019.11.020. Epub 2019 Nov 18.
3
Elevated intracellular trypsin exacerbates acute pancreatitis and chronic pancreatitis in mice.细胞内胰蛋白酶升高可加重小鼠急性胰腺炎和慢性胰腺炎。
Am J Physiol Gastrointest Liver Physiol. 2019 Jun 1;316(6):G816-G825. doi: 10.1152/ajpgi.00004.2019. Epub 2019 Apr 3.
4
Evolutionary expansion of polyaspartate motif in the activation peptide of mouse cationic trypsinogen limits autoactivation and protects against pancreatitis.多聚天冬氨酸基序在鼠阳离子胰蛋白酶原激活肽中的进化扩展限制了自身激活并防止胰腺炎。
Am J Physiol Gastrointest Liver Physiol. 2021 Dec 1;321(6):G719-G734. doi: 10.1152/ajpgi.00265.2021. Epub 2021 Oct 13.
5
Heterozygous Spink1 Deficiency Promotes Trypsin-dependent Chronic Pancreatitis in Mice.杂合性 Spink1 缺乏促进小鼠胰蛋白酶依赖性慢性胰腺炎。
Cell Mol Gastroenterol Hepatol. 2024;18(3):101361. doi: 10.1016/j.jcmgh.2024.05.009. Epub 2024 May 18.
6
Interaction between trypsinogen isoforms in genetically determined pancreatitis: mutation E79K in cationic trypsin (PRSS1) causes increased transactivation of anionic trypsinogen (PRSS2).遗传性胰腺炎中胰蛋白酶原同工型之间的相互作用:阳离子胰蛋白酶(PRSS1)中的E79K突变导致阴离子胰蛋白酶原(PRSS2)的反式激活增加。
Hum Mutat. 2004 Jan;23(1):22-31. doi: 10.1002/humu.10285.
7
Pathogenic cellular role of the p.L104P human cationic trypsinogen variant in chronic pancreatitis.p.L104P 人阳离子胰蛋白酶原变体在慢性胰腺炎中的致病细胞作用
Am J Physiol Gastrointest Liver Physiol. 2016 Apr 1;310(7):G477-86. doi: 10.1152/ajpgi.00444.2015. Epub 2016 Jan 28.
8
A mouse model of hereditary pancreatitis generated by transgenic expression of R122H trypsinogen.通过R122H胰蛋白酶原的转基因表达产生的遗传性胰腺炎小鼠模型。
Gastroenterology. 2006 Dec;131(6):1844-55. doi: 10.1053/j.gastro.2006.09.049. Epub 2006 Oct 1.
9
Preclinical testing of dabigatran in trypsin-dependent pancreatitis.在胰蛋白酶依赖性胰腺炎中对达比加群的临床前测试。
JCI Insight. 2022 Nov 8;7(21):e161145. doi: 10.1172/jci.insight.161145.
10
Increased activation of hereditary pancreatitis-associated human cationic trypsinogen mutants in presence of chymotrypsin C.糜蛋白酶 C 存在时,遗传性胰腺炎相关人阳离子胰蛋白酶原突变体的激活增加。
J Biol Chem. 2012 Jun 8;287(24):20701-10. doi: 10.1074/jbc.M112.360065. Epub 2012 Apr 26.

引用本文的文献

1
From Genes to Environment: Elucidating Pancreatic Carcinogenesis Through Genetically Engineered and Risk Factor-Integrated Mouse Models.从基因到环境:通过基因工程和风险因素整合小鼠模型阐明胰腺癌发生机制
Cancers (Basel). 2025 May 15;17(10):1676. doi: 10.3390/cancers17101676.
2
Strain-specific differences in cerulein-induced acute and recurrent acute murine pancreatitis.蛙皮素诱导的急性和复发性急性小鼠胰腺炎中的品系特异性差异。
Sci Rep. 2025 May 8;15(1):16030. doi: 10.1038/s41598-025-98914-z.
3
Overexpression of Tn antigen induces chronic pancreatitis in mice.

本文引用的文献

1
Human mutation causes digestive enzyme misfolding and chronic pancreatitis in mice.人类基因突变导致小鼠消化酶错误折叠和慢性胰腺炎。
Gut. 2019 Feb;68(2):301-312. doi: 10.1136/gutjnl-2018-315994. Epub 2018 Jul 25.
2
Partial and complete SPINK1 deficiency cause distinct pancreatic phenotypes.SPINK1部分缺乏和完全缺乏会导致不同的胰腺表型。
Hum Mutat. 2017 Dec;38(12):1619. doi: 10.1002/humu.23352.
3
Genetic Risk in Chronic Pancreatitis: The Trypsin-Dependent Pathway.慢性胰腺炎中的遗传风险:胰蛋白酶依赖途径。
Tn抗原的过表达会诱发小鼠慢性胰腺炎。
Sci Rep. 2025 Apr 2;15(1):11306. doi: 10.1038/s41598-025-96060-0.
4
Biochemical analyses of cystatin-C dimers and cathepsin-B reveals a trypsin-driven feedback mechanism in acute pancreatitis.胱抑素-C二聚体和组织蛋白酶-B的生化分析揭示了急性胰腺炎中一种胰蛋白酶驱动的反馈机制。
Nat Commun. 2025 Feb 17;16(1):1702. doi: 10.1038/s41467-025-56875-x.
5
Trypsin in pancreatitis: The culprit, a mediator, or epiphenomenon?胰腺炎中的胰蛋白酶:是罪魁祸首,还是中介,亦或是一种偶然现象?
World J Gastroenterol. 2024 Nov 7;30(41):4417-4438. doi: 10.3748/wjg.v30.i41.4417.
6
Examination of duodenal and colonic microbiome changes in mouse models of acute and chronic pancreatitis.检测急性和慢性胰腺炎小鼠模型中十二指肠和结肠微生物组的变化。
Sci Rep. 2024 Oct 21;14(1):24754. doi: 10.1038/s41598-024-75564-1.
7
Deletion of the WD40 domain of ATG16L1 exacerbates acute pancreatitis, abolishes LAP-like non-canonical autophagy and slows trypsin degradation.删除自噬相关基因16样蛋白1(ATG16L1)的WD40结构域会加重急性胰腺炎,消除类似LC3相关吞噬作用(LAP)的非经典自噬并减缓胰蛋白酶降解。
Autophagy. 2025 Jan;21(1):210-222. doi: 10.1080/15548627.2024.2392478. Epub 2024 Aug 31.
8
Hspb1 protects against severe acute pancreatitis by attenuating apoptosis and ferroptosis via interacting with Anxa2 to restore the antioxidative activity of Prdx1.热休克蛋白家族成员 B1(Hspb1)通过与膜联蛋白 A2(Anxa2)相互作用,恢复过氧化物酶 1(Prdx1)的抗氧化活性,从而抑制细胞凋亡和铁死亡,以此来减轻重症急性胰腺炎。
Int J Biol Sci. 2024 Feb 25;20(5):1707-1728. doi: 10.7150/ijbs.84494. eCollection 2024.
9
Improving the prognosis of pancreatic cancer: insights from epidemiology, genomic alterations, and therapeutic challenges.改善胰腺癌的预后:来自流行病学、基因组改变及治疗挑战的见解
Front Med. 2023 Dec;17(6):1135-1169. doi: 10.1007/s11684-023-1050-6. Epub 2023 Dec 27.
10
Krüppel-like Factor 5 Plays an Important Role in the Pathogenesis of Chronic Pancreatitis.Krüppel样因子5在慢性胰腺炎发病机制中起重要作用。
Cancers (Basel). 2023 Nov 15;15(22):5427. doi: 10.3390/cancers15225427.
Dig Dis Sci. 2017 Jul;62(7):1692-1701. doi: 10.1007/s10620-017-4601-3. Epub 2017 May 23.
4
Chronic pancreatitis: An international draft consensus proposal for a new mechanistic definition.慢性胰腺炎:关于新机制定义的国际共识草案提案
Pancreatology. 2016 Mar-Apr;16(2):218-24. doi: 10.1016/j.pan.2016.02.001. Epub 2016 Feb 16.
5
Expression of human cationic trypsinogen (PRSS1) in murine acinar cells promotes pancreatitis and apoptotic cell death.人阳离子胰蛋白酶原(PRSS1)在小鼠腺泡细胞中的表达会引发胰腺炎和凋亡性细胞死亡。
Cell Death Dis. 2014 Apr 10;5(4):e1165. doi: 10.1038/cddis.2014.120.
6
The histopathology of PRSS1 hereditary pancreatitis.PRSS1 遗传性胰腺炎的组织病理学。
Am J Surg Pathol. 2014 Mar;38(3):346-53. doi: 10.1097/PAS.0000000000000164.
7
Autoactivation of mouse trypsinogens is regulated by chymotrypsin C via cleavage of the autolysis loop.鼠胰蛋白酶原的自动激活受糜蛋白酶 C 通过切割自溶环进行调节。
J Biol Chem. 2013 Aug 16;288(33):24049-62. doi: 10.1074/jbc.M113.478800. Epub 2013 Jun 27.
8
The epidemiology of pancreatitis and pancreatic cancer.胰腺炎和胰腺癌的流行病学。
Gastroenterology. 2013 Jun;144(6):1252-61. doi: 10.1053/j.gastro.2013.01.068.
9
Robust autoactivation, chymotrypsin C independence and diminished secretion define a subset of hereditary pancreatitis-associated cationic trypsinogen mutants.强自动激活、胰凝乳蛋白酶 C 独立性和分泌减少定义了一组遗传性胰腺炎相关阳离子胰蛋白酶原突变体。
FEBS J. 2013 Jun;280(12):2888-99. doi: 10.1111/febs.12292. Epub 2013 May 16.
10
Cerulein-induced chronic pancreatitis does not require intra-acinar activation of trypsinogen in mice.雨蛙肽诱导的慢性胰腺炎在小鼠中不需要胰酶原的腺泡内激活。
Gastroenterology. 2013 May;144(5):1076-1085.e2. doi: 10.1053/j.gastro.2013.01.041. Epub 2013 Jan 24.