Department of Microbiology, Graduate School of Medicine, Kyoto University, Kyoto, Japan.
Department of Life Science Dentistry, The Nippon Dental University, Tokyo, Japan.
Front Cell Infect Microbiol. 2018 Nov 14;8:403. doi: 10.3389/fcimb.2018.00403. eCollection 2018.
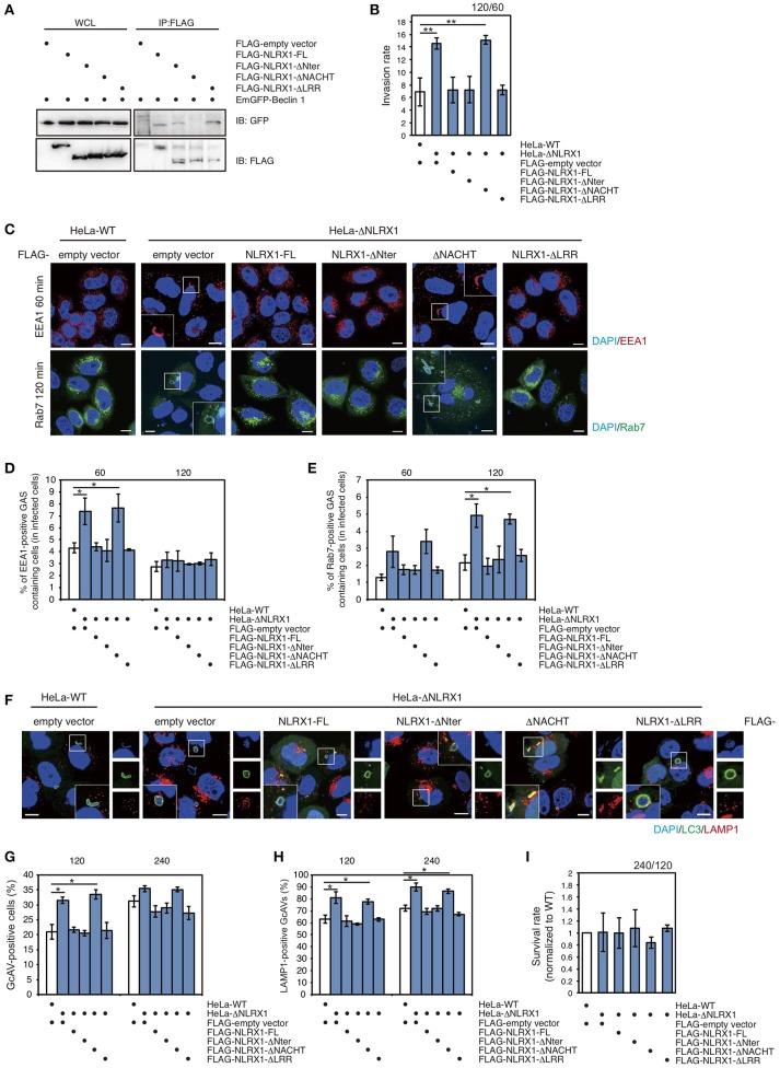
Group A (GAS) can invade epithelial cells; however, these bacteria are targeted and eventually destroyed by autophagy. Members of the Nod-like receptor (NLR) family are thought to be critical for the autophagic response to invasive bacteria. However, the intracellular sensors within host cells that are responsible for bacterial invasion and the induction of autophagy are largely unknown. Thus, our aim was to examine the role of one such NLR, namely NLRX1, in invasion and autophagy during GAS infection. We found that GAS invasion was markedly increased in NLRX1 knockout cells. This led to the potentiation of autophagic processes such as autophagosome and autolysosome formation. NLRX1 was found to interact with Beclin 1 and UVRAG, members of Beclin1 complex, and knockout of these proteins inhibited invasion and autophagy upon GAS infection. Especially, NLRX1 interacted with Beclin 1 via its NACHT domain and this interaction was responsible for the NLRX1-mediated inhibition of invasion and autophagic processes including autophagosome and autolysosome formation during GAS infection. These findings demonstrate that NLRX1 functions as a negative regulator to inactivate the Beclin 1-UVRAG complex, which regulates invasion and autophagy during GAS infection. Thus, our study expands our knowledge of the role of NLRX1 during bacterial invasion and autophagy and could lead to further investigations to understand pathogen-host cell interactions, facilitating novel targeted therapeutics.
A 组链球菌(GAS)能够侵入上皮细胞;然而,这些细菌会被自噬靶向并最终被破坏。Nod 样受体(NLR)家族的成员被认为对入侵细菌的自噬反应至关重要。然而,宿主细胞内负责细菌入侵和诱导自噬的内源性传感器在很大程度上尚不清楚。因此,我们的目的是研究 NLRX1 等 NLR 家族成员在 GAS 感染期间的入侵和自噬中的作用。我们发现,NLRX1 敲除细胞中 GAS 的入侵明显增加。这导致自噬过程如自噬体和自溶酶体的形成增强。发现 NLRX1 与 Beclin1 和 UVRAG 相互作用,Beclin1 复合物的成员,这些蛋白质的敲除抑制了 GAS 感染后的入侵和自噬。特别是,NLRX1 通过其 NACHT 结构域与 Beclin1 相互作用,这种相互作用负责 NLRX1 介导的 GAS 感染期间的入侵和自噬过程(包括自噬体和自溶酶体的形成)的抑制。这些发现表明,NLRX1 作为一种负调控因子,可使 Beclin1-UVRAG 复合物失活,从而调节 GAS 感染期间的入侵和自噬。因此,我们的研究扩展了我们对 NLRX1 在细菌入侵和自噬过程中的作用的认识,并可能导致进一步的研究,以了解病原体-宿主细胞相互作用,促进新的靶向治疗。