Suppr超能文献

与医疗人员交接班相关的认知错误和风险。

Cognitive Errors and Risks Associated with Provider Handoffs.

作者信息

Frye Kenneth L, Adewale Ademola, Martinez Martinez Carmen J, Mora Montero Clara

机构信息

Emergency Medicine, Florida Hospital, Orlando, USA.

出版信息

Cureus. 2018 Oct 12;10(10):e3442. doi: 10.7759/cureus.3442.

Abstract

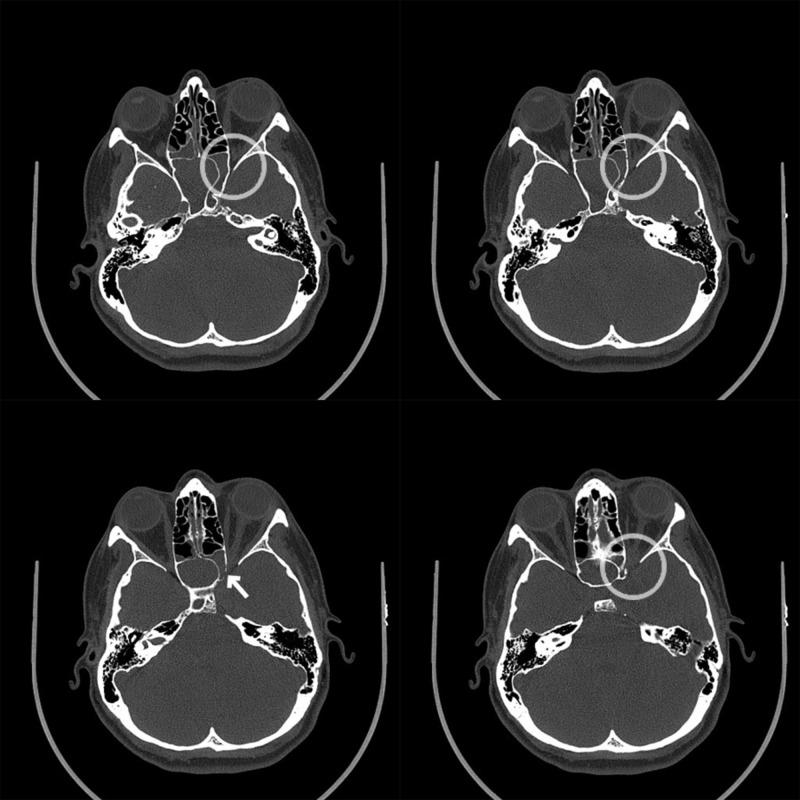
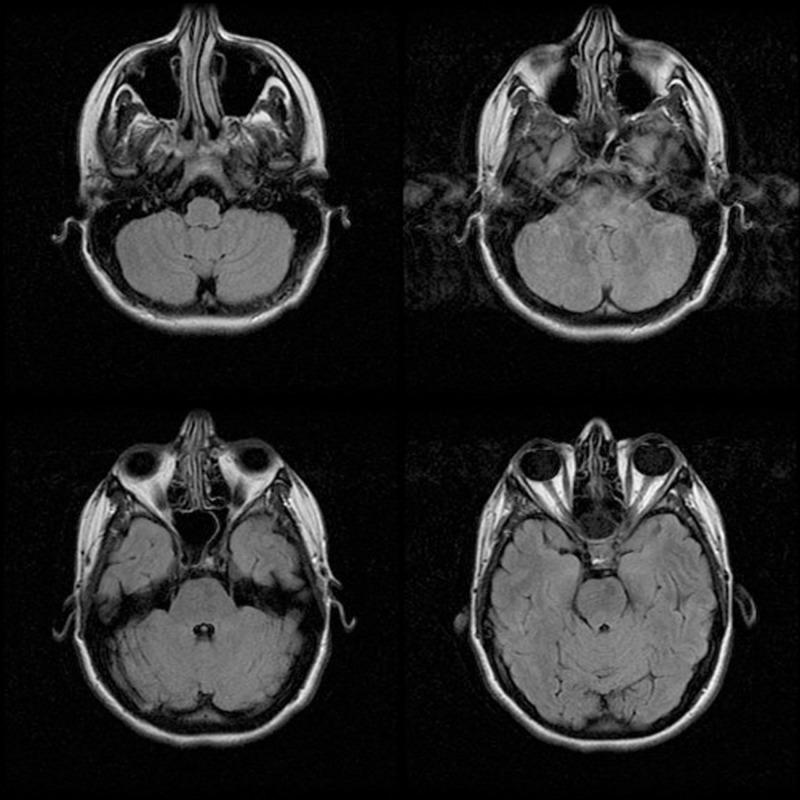
The emergency department is a challenging environment to practice medicine, primarily due to the pace and logistics of practicing emergency medicine. Cognitive errors and provider handoffs can lead to poor patient outcomes. By acknowledging and addressing cognitive errors, including premature closure, anchoring, and diagnosis momentum, we can potentially improve patient care. Additionally, by completing thorough, yet efficient sign-outs, as per The American College of Emergency Physicians' (ACEP) "Safer Sign Out Protocol," the chances of a poor outcome are further reduced. Below, a case of "migraine headache" is presented, highlighting cognitive errors and the risks associated with provider hand-offs in the emergency department.

摘要

急诊科是一个充满挑战的行医环境,主要是由于急诊医学的工作节奏和后勤保障。认知错误和医护人员交接班可能导致患者预后不良。通过认识并处理认知错误,包括过早下结论、锚定效应和诊断惯性,我们有可能改善患者护理。此外,按照美国急诊医师学会(ACEP)的“更安全的交接班协议”完成全面而高效的交班,可进一步降低不良后果的发生几率。以下展示了一个“偏头痛”病例,突出了急诊科的认知错误以及与医护人员交接班相关的风险。

https://cdn.ncbi.nlm.nih.gov/pmc/blobs/aee0/6294281/3faa41d93e79/cureus-0010-00000003442-i01.jpg

文献AI研究员

20分钟写一篇综述,助力文献阅读效率提升50倍。

立即体验

用中文搜PubMed

大模型驱动的PubMed中文搜索引擎

马上搜索

文档翻译

学术文献翻译模型,支持多种主流文档格式。

立即体验